Product Info Summary
| SKU: | A03357-3 |
|---|---|
| Size: | 100 μg/vial |
| Reactive Species: | Human |
| Host: | Rabbit |
| Application: | ELISA, IF, IHC, ICC, WB |
Customers Who Bought This Also Bought
Product info
Product Name
Anti-MNT Antibody Picoband®
SKU/Catalog Number
A03357-3
Size
100 μg/vial
Form
Lyophilized
Description
Boster Bio Anti-MNT Antibody Picoband® catalog # A03357-3. Tested in ELISA, IF, IHC, ICC, WB applications. This antibody reacts with Human. The brand Picoband indicates this is a premium antibody that guarantees superior quality, high affinity, and strong signals with minimal background in Western blot applications. Only our best-performing antibodies are designated as Picoband, ensuring unmatched performance.
Storage & Handling
Store at -20˚C for one year from date of receipt. After reconstitution, at 4˚C for one month. It can also be aliquotted and stored frozen at -20˚C for six months. Avoid repeated freeze-thaw cycles.
Cite This Product
Anti-MNT Antibody Picoband® (Boster Biological Technology, Pleasanton CA, USA, Catalog # A03357-3)
Host
Rabbit
Contents
Each vial contains 4mg Trehalose, 0.9mg NaCl, 0.2mg Na2HPO4, 0.05mg NaN3.
Clonality
Polyclonal
Isotype
Rabbit IgG
Immunogen
E.coli-derived human MNT recombinant protein (Position: H381-N564).
Cross-reactivity
No cross-reactivity with other proteins.
Reactive Species
A03357-3 is reactive to MNT in Human
Observed Molecular Weight
62 kDa
Calculated molecular weight
62.3 kDa
Background of MNT
MNT (Max's Next Tango) is a Max-binding protein that is encoded by the MNT gene. It is mapped to 17p13.3. The Myc/Max/Mad network comprises a group of transcription factors that co-interact to regulate gene-specific transcriptional activation or repression. This gene encodes a protein member of the Myc/Max/Mad network. This protein has a basic-Helix-Loop-Helix-zipper domain (bHLHzip) with which it binds the canonical DNA sequence CANNTG, known as the E box, following heterodimerization with Max proteins. This protein is likely a transcriptional repressor and an antagonist of Myc-dependent transcriptional activation and cell growth. This protein represses transcription by binding to DNA binding proteins at its N-terminal Sin3-interaction domain.
Antibody Validation
Boster validates all antibodies on WB, IHC, ICC, Immunofluorescence, and ELISA with known positive control and negative samples to ensure specificity and high affinity, including thorough antibody incubations.
Application & Images
Applications
A03357-3 is guaranteed for ELISA, IF, IHC, ICC, WB Boster Guarantee
Assay Dilutions Recommendation
The recommendations below provide a starting point for assay optimization. The actual working concentration varies and should be decided by the user.
Western blot, 0.25-0.5μg/ml, Human
Immunohistochemistry (Paraffin-embedded Section), 0.5-1μg/ml, Human
Immunocytochemistry/Immunofluorescence, 2μg/ml, Human
ELISA, 0.1-0.5μg/ml, -
Positive Control
WB: human Hela whole cell, human Raji whole cell, human A549 whole cell, human HEK293 whole cell, human K562 whole cell, human PC-3 whole cell, human Caco-2 whole cell
IHC: human liver cancer tissue, human liver cancer tissue
ICC/IF: A549 cell
FCM: A431 cell
Validation Images & Assay Conditions
Click image to see more details
Western blot analysis of MNT using anti-MNT antibody (A03357-3).
Electrophoresis was performed on a 5-20% SDS-PAGE gel at 70V (Stacking gel) / 90V (Resolving gel) for 2-3 hours. The sample well of each lane was loaded with 50ug of sample under reducing conditions.
Lane 1: human Hela whole cell lysates,
Lane 2: human Raji whole cell lysates,
Lane 3: human A549 whole cell lysates,
Lane 4: human HEK293 whole cell lysates,
Lane 5: human K562 whole cell lysates,
Lane 6: human PC-3 whole cell lysates,
Lane 7: human Caco-2 whole cell lysates.
After Electrophoresis, proteins were transferred to a Nitrocellulose membrane at 150mA for 50-90 minutes. Blocked the membrane with 5% Non-fat Milk/ TBS for 1.5 hour at RT. The membrane was incubated with rabbit anti-MNT antigen affinity purified polyclonal antibody (Catalog # A03357-3) at 0.5 μg/mL overnight at 4°C, then washed with TBS-0.1%Tween 3 times with 5 minutes each and probed with a goat anti-rabbit IgG-HRP secondary antibody at a dilution of 1:5000 for 1.5 hour at RT. The signal is developed using an Enhanced Chemiluminescent detection (ECL) kit (Catalog # EK1002) with Tanon 5200 system. A specific band was detected for MNT at approximately 62KD. The expected band size for MNT is at 62KD.
Click image to see more details
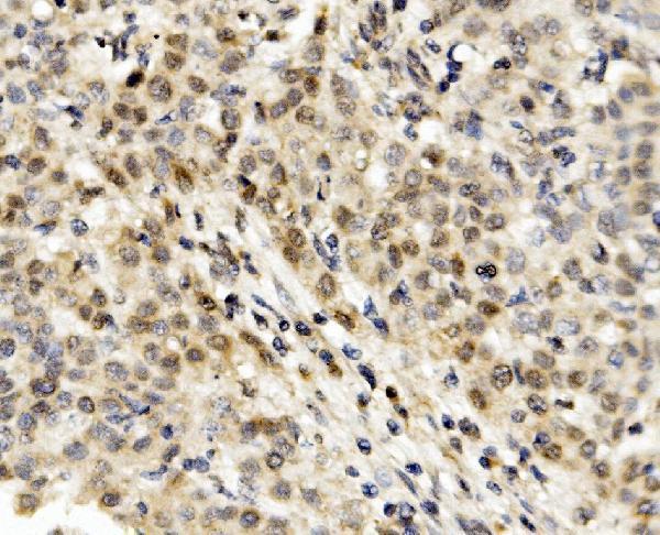
IHC analysis of MNT using anti-MNT antibody (A03357-3).
MNT was detected in paraffin-embedded section of human liver cancer tissue. Heat mediated antigen retrieval was performed in EDTA buffer (pH8.0, epitope retrieval solution). The tissue section was blocked with 10% goat serum. The tissue section was then incubated with 1μg/ml rabbit anti-MNT Antibody (A03357-3) overnight at 4°C. Biotinylated goat anti-rabbit IgG was used as secondary antibody and incubated for 30 minutes at 37°C. The tissue section was developed using Strepavidin-Biotin-Complex (SABC) (Catalog # SA1022) with DAB as the chromogen.
Click image to see more details
IHC analysis of MNT using anti-MNT antibody (A03357-3).
MNT was detected in paraffin-embedded section of human liver cancer tissue. Heat mediated antigen retrieval was performed in EDTA buffer (pH8.0, epitope retrieval solution). The tissue section was blocked with 10% goat serum. The tissue section was then incubated with 1μg/ml rabbit anti-MNT Antibody (A03357-3) overnight at 4°C. Biotinylated goat anti-rabbit IgG was used as secondary antibody and incubated for 30 minutes at 37°C. The tissue section was developed using Strepavidin-Biotin-Complex (SABC) (Catalog # SA1022) with DAB as the chromogen.
Click image to see more details
IF analysis of MNT using anti-MNT antibody (A03357-3).
MNT was detected in immunocytochemical section of A549 cells. Enzyme antigen retrieval was performed using IHC enzyme antigen retrieval reagent (AR0022) for 15 mins. The cells were blocked with 10% goat serum. And then incubated with 2μg/mL rabbit anti-MNT Antibody (A03357-3) overnight at 4°C. DyLight®488 Conjugated Goat Anti-Rabbit IgG (BA1127) was used as secondary antibody at 1:100 dilution and incubated for 30 minutes at 37°C. The section was counterstained with DAPI. Visualize using a fluorescence microscope and filter sets appropriate for the label used.
Click image to see more details
Flow Cytometry analysis of A431 cells using anti-MNT antibody (A03357-3).
Overlay histogram showing A431 cells stained with A03357-3 (Blue line).The cells were blocked with 10% normal goat serum. And then incubated with rabbit anti-MNT Antibody (A03357-3, 1μg/1x106 cells) for 30 min at 20°C. DyLight®488 conjugated goat anti-rabbit IgG (BA1127, 5-10μg/1x106 cells) was used as secondary antibody for 30 minutes at 20°C. Isotype control antibody (Green line) was rabbit IgG (1μg/1x106) used under the same conditions. Unlabelled sample (Red line) was also used as a control.
Specific Publications For Anti-MNT Antibody Picoband® (A03357-3)
Loading publications
Recommended Resources
Here are featured tools and databases that you might find useful.
- Boster's Pathways Library
- Protein Databases
- Bioscience Research Protocol Resources
- Data Processing & Analysis Software
- Photo Editing Software
- Scientific Literature Resources
- Research Paper Management Tools
- Molecular Biology Software
- Primer Design Tools
- Bioinformatics Tools
- Phylogenetic Tree Analysis
Customer Reviews
Have you used Anti-MNT Antibody Picoband®?
Share your experimental results or join a short interview to earn up to $1,000 in product credits or other rewards.
0 Reviews For Anti-MNT Antibody Picoband®
Customer Q&As
Have a question?
Find answers in Q&As, reviews.
Can't find your answer?
Submit your question


