Product Info Summary
| SKU: | A01077 |
|---|---|
| Size: | 100ul |
| Reactive Species: | Human, Mouse |
| Host: | Rabbit |
| Application: | IHC, WB |
Customers Who Bought This Also Bought
Product info
Product Name
Anti-NR1D1 Antibody
SKU/Catalog Number
A01077
Size
100ul
Form
Liquid
Description
Boster Bio Anti-NR1D1 Antibody catalog # A01077. Tested in WB,IHC applications. This antibody reacts with Human,Mouse.
Storage & Handling
Store at -20°C for one year. For short term storage and frequent use, store at 4°C for up to one month. Avoid repeated freeze-thaw cycles.
Cite This Product
Anti-NR1D1 Antibody (Boster Biological Technology, Pleasanton CA, USA, Catalog # A01077)
Host
Rabbit
Contents
Rabbit IgG, 1mg/ml in PBS with 0.02% sodium azide, 50% glycerol, pH7.2
Clonality
Polyclonal
Isotype
IgG
Immunogen
Recombinant protein
Cross-reactivity
No cross reactivity with other proteins.
Reactive Species
A01077 is reactive to NR1D1 in Human, Mouse
Calculated molecular weight
66.8 kDa
Antibody Validation
Boster validates all antibodies on WB, IHC, ICC, Immunofluorescence, and ELISA with known positive control and negative samples to ensure specificity and high affinity, including thorough antibody incubations.
Application & Images
Applications
A01077 is guaranteed for IHC, WB Boster Guarantee
Assay Dilutions Recommendation
The recommendations below provide a starting point for assay optimization. The actual working concentration varies and should be decided by the user.
WB: 1:500-1:1,000
IHC: 1:100
Validation Images & Assay Conditions
Click image to see more details
Western blot analysis of NR1D1 on HepG2 and SiHa cell lysates using anti-NR1D1 antibody at 1/500 dilution.
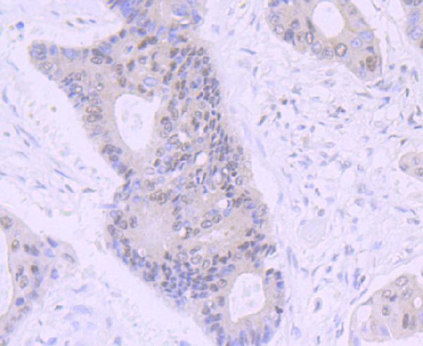
Click image to see more details
Immunohistochemical analysis of paraffin-embedded human colon cancer tissue using anti-NR1D1 antibody. Counter stained with hematoxylin.
Specific Publications For Anti-NR1D1 Antibody (A01077)
Loading publications
Recommended Resources
Here are featured tools and databases that you might find useful.
- Boster's Pathways Library
- Protein Databases
- Bioscience Research Protocol Resources
- Data Processing & Analysis Software
- Photo Editing Software
- Scientific Literature Resources
- Research Paper Management Tools
- Molecular Biology Software
- Primer Design Tools
- Bioinformatics Tools
- Phylogenetic Tree Analysis
Customer Reviews
Have you used Anti-NR1D1 Antibody?
Share your experimental results or join a short interview to earn up to $1,000 in product credits or other rewards.
0 Reviews For Anti-NR1D1 Antibody
Customer Q&As
Have a question?
Find answers in Q&As, reviews.
Can't find your answer?
Submit your question

