Product Info Summary
| SKU: | P00078 |
|---|---|
| Size: | 100 μl |
| Reactive Species: | Human, Mouse, Rat |
| Host: | Rabbit |
| Application: | Flow Cytometry, IP, IF, IHC, ICC, WB |
Customers Who Bought This Also Bought
Product info
Product Name
Anti-Phospho-Nrf2 (S40) NFE2L2 Rabbit Monoclonal Antibody
SKU/Catalog Number
P00078
BM4842 is an alternative SKU for this antibody, used in previous lots.
Size
100 μl
Form
Liquid
Description
Boster Bio Anti-Phospho-Nrf2 (S40) NFE2L2 Rabbit Monoclonal Antibody catalog # P00078. Tested in WB, IHC, ICC/IF, IP, Flow Cytometry applications. This antibody reacts with Human, Mouse, Rat.
Storage & Handling
Store at -20°C for one year. For short term storage and frequent use, store at 4°C for up to one month. Avoid repeated freeze-thaw cycles.
Cite This Product
Anti-Phospho-Nrf2 (S40) NFE2L2 Rabbit Monoclonal Antibody (Boster Biological Technology, Pleasanton CA, USA, Catalog # P00078)
Host
Rabbit
Contents
Rabbit IgG in stabilizing components, phosphate buffered saline, pH 7.4, 150mM NaCl, 0.02% sodium azide and 50% glycerol.
*This antibody is supplied in a stabilized formulation.
Compatibility with conjugation reactions depends on the chemistry of the conjugation method used.
For conjugation methods that are not compatible with the stabilizing components present in this formulation, a carrier-free antibody format is required.
Clonality
Monoclonal
Clone Number
IFH-14
Isotype
Rabbit IgG
Immunogen
A synthesized peptide derived from human Phospho-Nrf2 (S40)
Reactive Species
P00078 is reactive to NFE2L2 in Human, Mouse, Rat
Observed Molecular Weight
100 kDa
Calculated molecular weight
67.8 kDa
Antibody Validation
Boster validates all antibodies on WB, IHC, ICC, Immunofluorescence, and ELISA with known positive control and negative samples to ensure specificity and high affinity, including thorough antibody incubations.
Application & Images
Applications
P00078 is guaranteed for Flow Cytometry, IP, IF, IHC, ICC, WB Boster Guarantee
Assay Dilutions Recommendation
The recommendations below provide a starting point for assay optimization. The actual working concentration varies and should be decided by the user.
WB 1:500-2000
IHC 1:50-200
ICC/IF 1:50-200
IP 1:20
FC 1:20
Positive Control
WB: human HepG2 whole cell, human Hela whole cell, human SiHa whole cell, human RT4 whole cell
IHC: human colorectal adenocarcinoma tissue, mouse kidney tissue, rat kidney tissue
Validation Images & Assay Conditions
Click image to see more details
Western blot analysis of Nrf2 using anti-Nrf2 antibody (P00078).
Electrophoresis was performed on a 5-20% SDS-PAGE gel at 70V (Stacking gel) / 90V (Resolving gel) for 2-3 hours. The sample well of each lane was loaded with 30 ug of sample under reducing conditions.
Lane 1: human HepG2 whole cell lysates,
Lane 2: human Hela whole cell lysates,
Lane 3: human SiHa whole cell lysates,
Lane 4: human RT4 whole cell lysates.
After electrophoresis, proteins were transferred to a nitrocellulose membrane at 150 mA for 50-90 minutes. Blocked the membrane with 5% non-fat milk/TBS for 1.5 hour at RT. The membrane was incubated with rabbit anti-Nrf2 antigen affinity purified monoclonal antibody (Catalog # P00078) at 1:1000 overnight at 4°C, then washed with TBS-0.1%Tween 3 times with 5 minutes each and probed with a goat anti-rabbit IgG-HRP secondary antibody at a dilution of 1:500 for 1.5 hour at RT. The signal is developed using an Enhanced Chemiluminescent detection (ECL) kit (Catalog # EK1002) with Tanon 5200 system. A specific band was detected for Nrf2 at approximately 100 kDa. The expected band size for Nrf2 is at 68 kDa.
Click image to see more details
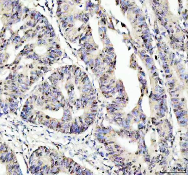
IHC analysis of Nrf2 using anti-Nrf2 antibody (P00078).
Nrf2 was detected in a paraffin-embedded section of human colorectal adenocarcinoma tissue. Heat mediated antigen retrieval was performed in EDTA buffer (pH 8.0, epitope retrieval solution). The tissue section was blocked with 10% goat serum. The tissue section was then incubated with 1:50 rabbit anti-Nrf2 Antibody (P00078) overnight at 4°C. Peroxidase Conjugated Goat Anti-rabbit IgG was used as secondary antibody and incubated for 30 minutes at 37°C. The tissue section was developed using HRP Conjugated Rabbit IgG Super Vision Assay Kit (Catalog # SV0002) with DAB as the chromogen.
Click image to see more details
IHC analysis of Nrf2 using anti-Nrf2 antibody (P00078).
Nrf2 was detected in a paraffin-embedded section of mouse kidney tissue. Heat mediated antigen retrieval was performed in EDTA buffer (pH 8.0, epitope retrieval solution). The tissue section was blocked with 10% goat serum. The tissue section was then incubated with 1:50 rabbit anti-Nrf2 Antibody (P00078) overnight at 4°C. Peroxidase Conjugated Goat Anti-rabbit IgG was used as secondary antibody and incubated for 30 minutes at 37°C. The tissue section was developed using HRP Conjugated Rabbit IgG Super Vision Assay Kit (Catalog # SV0002) with DAB as the chromogen.
Click image to see more details
IHC analysis of Nrf2 using anti-Nrf2 antibody (P00078).
Nrf2 was detected in a paraffin-embedded section of rat kidney tissue. Heat mediated antigen retrieval was performed in EDTA buffer (pH 8.0, epitope retrieval solution). The tissue section was blocked with 10% goat serum. The tissue section was then incubated with 1:50 rabbit anti-Nrf2 Antibody (P00078) overnight at 4°C. Peroxidase Conjugated Goat Anti-rabbit IgG was used as secondary antibody and incubated for 30 minutes at 37°C. The tissue section was developed using HRP Conjugated Rabbit IgG Super Vision Assay Kit (Catalog # SV0002) with DAB as the chromogen.
Click image to see more details
Immunofluorescent analysis of HepG2 cells, using Phospho-Nrf2 (S40) Antibody.
Click image to see more details
Immunofluorescent analysis using the Antibody at 1:50 dilution.
Click image to see more details
Immunofluorescent analysis using the Antibody at 1:150 dilution.
Click image to see more details
Immunofluorescent analysis using the Antibody at 1:500 dilution.
Specific Publications For Anti-Phospho-Nrf2 (S40) NFE2L2 Rabbit Monoclonal Antibody (P00078)
Loading publications
Recommended Resources
Here are featured tools and databases that you might find useful.
- Boster's Pathways Library
- Protein Databases
- Bioscience Research Protocol Resources
- Data Processing & Analysis Software
- Photo Editing Software
- Scientific Literature Resources
- Research Paper Management Tools
- Molecular Biology Software
- Primer Design Tools
- Bioinformatics Tools
- Phylogenetic Tree Analysis
Customer Reviews
Have you used Anti-Phospho-Nrf2 (S40) NFE2L2 Rabbit Monoclonal Antibody?
Share your experimental results or join a short interview to earn up to $1,000 in product credits or other rewards.
0 Reviews For Anti-Phospho-Nrf2 (S40) NFE2L2 Rabbit Monoclonal Antibody
Customer Q&As
Have a question?
Find answers in Q&As, reviews.
Can't find your answer?
Submit your question
3 Customer Q&As for Anti-Phospho-Nrf2 (S40) NFE2L2 Rabbit Monoclonal Antibody
Question
Will P00078 work on Western Blot of Bovine tissue lysates sample?
Verified customer
Asked: 2019-10-12
Answer
No, we don't have an anti-pNRF2 antibody that has been validated with Bovine samples.
Boster Scientific Support
Answered: 2019-10-16
Question
Has P00078 been tested on mouse tissues?
Verified customer
Asked: 2019-09-10
Answer
The Anti-Phospho-Nrf2 (S40) NFE2L2 Rabbit Monoclonal Antibody (P00078) is not recommended to be used on mouse samples.
Boster Scientific Support
Answered: 2019-09-11
Question
We are currently using anti-Phospho-Nrf2 (S40) Rabbit Monoclonal antibody P00078 for human tissue, and we are content with the IF results. The species of reactivity given in the datasheet says human. Is it likely that the antibody can work on zebrafish tissues as well?
M. Miller
Verified customer
Asked: 2017-04-04
Answer
The anti-Phospho-Nrf2 (S40) Rabbit Monoclonal antibody (P00078) has not been tested for cross reactivity specifically with zebrafish tissues, but there is a good chance of cross reactivity. We have an innovator award program that if you test this antibody and show it works in zebrafish you can get your next antibody for free. Please contact me if I can help you with anything.
Boster Scientific Support
Answered: 2017-04-04


