Product Info Summary
| SKU: | P01087-1 |
|---|---|
| Size: | 100 μl |
| Reactive Species: | Human, Mouse |
| Host: | Rabbit |
| Application: | IHC, WB |
Customers Who Bought This Also Bought
Product info
Product Name
Anti-Phospho-Stat5 (Y694) STAT5A Rabbit Monoclonal Antibody
SKU/Catalog Number
P01087-1
BM4408 is an alternative SKU for this antibody, used in previous lots.
Size
100 μl
Form
Liquid
Description
Boster Bio Anti-Phospho-Stat5 (Y694) STAT5A Rabbit Monoclonal Antibody catalog # P01087-1. Tested in WB, IHC applications. This antibody reacts with Human, Mouse.
Storage & Handling
Store at -20°C for one year. For short term storage and frequent use, store at 4°C for up to one month. Avoid repeated freeze-thaw cycles.
Cite This Product
Anti-Phospho-Stat5 (Y694) STAT5A Rabbit Monoclonal Antibody (Boster Biological Technology, Pleasanton CA, USA, Catalog # P01087-1)
Host
Rabbit
Contents
Rabbit IgG in stabilizing components, phosphate buffered saline, pH 7.4, 150mM NaCl, 0.02% sodium azide and 50% glycerol.
*This antibody is supplied in a stabilized formulation.
Compatibility with conjugation reactions depends on the chemistry of the conjugation method used.
For conjugation methods that are not compatible with the stabilizing components present in this formulation, a carrier-free antibody format is required.
Clonality
Monoclonal
Clone Number
EDD-19
Isotype
Rabbit IgG
Immunogen
A synthesized peptide derived from human Phospho-Stat5 (Y694)
Reactive Species
P01087-1 is reactive to STAT5A in Human, Mouse
Observed Molecular Weight
95 kDa
Calculated molecular weight
90.6 kDa
Antibody Validation
Boster validates all antibodies on WB, IHC, ICC, Immunofluorescence, and ELISA with known positive control and negative samples to ensure specificity and high affinity, including thorough antibody incubations.
Application & Images
Applications
P01087-1 is guaranteed for IHC, WB Boster Guarantee
Assay Dilutions Recommendation
The recommendations below provide a starting point for assay optimization. The actual working concentration varies and should be decided by the user.
WB 1:500-2000
IHC 1:50-200
Positive Control
IHC: human thyroid tissue
Validation Images & Assay Conditions
Click image to see more details
Western blot analysis of STAT5A using anti-STAT5A antibody (P01087-1).
Electrophoresis was performed on a 5-20% SDS-PAGE gel at 70V (Stacking gel) / 90V (Resolving gel) for 2-3 hours. The sample well of each lane was loaded with 30 ug of sample under reducing conditions.
Lane 1: human K562 whole cell lysates.
After electrophoresis, proteins were transferred to a nitrocellulose membrane at 150 mA for 50-90 minutes. Blocked the membrane with 5% non-fat milk/TBS for 1.5 hour at RT. The membrane was incubated with rabbit anti-STAT5A antigen affinity purified monoclonal antibody (Catalog # P01087-1) at 1:500 overnight at 4°C, then washed with TBS-0.1%Tween 3 times with 5 minutes each and probed with a goat anti-rabbit IgG-HRP secondary antibody at a dilution of 1:5000 for 1.5 hour at RT. The signal is developed using an Enhanced Chemiluminescent detection (ECL) kit (Catalog # EK1002) with Tanon 5200 system. A specific band was detected for STAT5A at approximately 95 kDa. The expected band size for STAT5A is at 91 kDa.
Click image to see more details
All lanes use the Antibody at 1:1K dilution for 1 hour at room temperature.
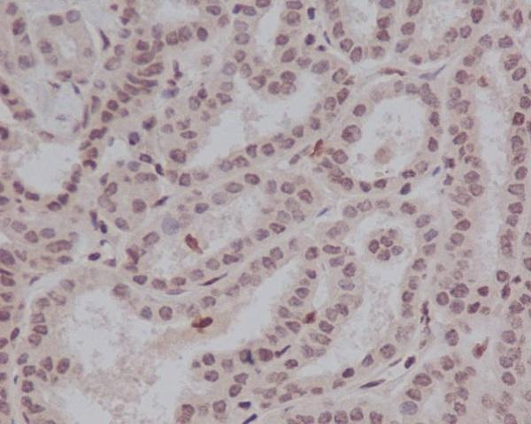
Click image to see more details
Immunohistochemical analysis of paraffin-embedded human thyroid, using Phospho-Stat5 (Y694) Antibody.
Specific Publications For Anti-Phospho-Stat5 (Y694) STAT5A Rabbit Monoclonal Antibody (P01087-1)
Loading publications
Recommended Resources
Here are featured tools and databases that you might find useful.
- Boster's Pathways Library
- Protein Databases
- Bioscience Research Protocol Resources
- Data Processing & Analysis Software
- Photo Editing Software
- Scientific Literature Resources
- Research Paper Management Tools
- Molecular Biology Software
- Primer Design Tools
- Bioinformatics Tools
- Phylogenetic Tree Analysis
Customer Reviews
Have you used Anti-Phospho-Stat5 (Y694) STAT5A Rabbit Monoclonal Antibody?
Share your experimental results or join a short interview to earn up to $1,000 in product credits or other rewards.
0 Reviews For Anti-Phospho-Stat5 (Y694) STAT5A Rabbit Monoclonal Antibody
Customer Q&As
Have a question?
Find answers in Q&As, reviews.
Can't find your answer?
Submit your question


