Product Info Summary
| SKU: | A10474 |
|---|---|
| Size: | 100ul |
| Reactive Species: | Human, Mouse, Rat |
| Host: | Rabbit |
| Application: | ELISA, IF, IHC, ICC |
Customers Who Bought This Also Bought
Product info
Product Name
Anti-PPP1R11/Tctex5 Antibody
SKU/Catalog Number
A10474
Size
100ul
Form
Liquid
Description
Boster Bio Anti-PPP1R11/Tctex5 Antibody (Catalog# A10474). Tested in IHC, ICC, IF, ELISA applications. This antibody reacts with Human, Mouse, Rat.
Storage & Handling
Store at -20°C for one year. For short-term storage and frequent use, store at 4°C for up to one month. Avoid repeated freeze-thaw cycles.
Cite This Product
Anti-PPP1R11/Tctex5 Antibody (Boster Biological Technology, Pleasanton CA, USA, Catalog # A10474)
Host
Rabbit
Contents
PBS containing 50% glycerol, 0.5% stabilizing protein and 0.02% sodium azide.
This antibody is supplied in a stabilized formulation.
Compatibility with conjugation reactions depends on the chemistry of the conjugation method used.
For conjugation methods that are not compatible with the stabilizing components present in this formulation, a carrier-free antibody format is required.
Clonality
Polyclonal
Isotype
Rabbit IgG
Immunogen
A peptide derived from human PPP1R11. Immunogen sequence location: 71 - 120
Reactive Species
A10474 is reactive to PPP1R11 in Human, Mouse, Rat
Observed Molecular Weight
72 kDa
Calculated molecular weight
14.0 kDa
Antibody Validation
Boster validates all antibodies on WB, IHC, ICC, Immunofluorescence, and ELISA with known positive control and negative samples to ensure specificity and high affinity, including thorough antibody incubations.
Application & Images
Applications
A10474 is guaranteed for ELISA, IF, IHC, ICC Boster Guarantee
Assay Dilutions Recommendation
The recommendations below provide a starting point for assay optimization. The actual working concentration varies and should be decided by the user.
IHC 1:100 - 1:300.
ELISA: 1:40000.
ICC/IF 1:50-200
Validation Images & Assay Conditions
Click image to see more details
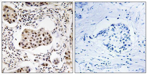
Immunohistochemistry analysis of paraffin-embedded human breast carcinoma tissue, using PPP1R11 Antibody. The picture on the right is blocked with the synthesized peptide.
Specific Publications For Anti-PPP1R11/Tctex5 Antibody (A10474)
Loading publications
Recommended Resources
Here are featured tools and databases that you might find useful.
- Boster's Pathways Library
- Protein Databases
- Bioscience Research Protocol Resources
- Data Processing & Analysis Software
- Photo Editing Software
- Scientific Literature Resources
- Research Paper Management Tools
- Molecular Biology Software
- Primer Design Tools
- Bioinformatics Tools
- Phylogenetic Tree Analysis
Customer Reviews
Have you used Anti-PPP1R11/Tctex5 Antibody?
Share your experimental results or join a short interview to earn up to $1,000 in product credits or other rewards.
0 Reviews For Anti-PPP1R11/Tctex5 Antibody
Customer Q&As
Have a question?
Find answers in Q&As, reviews.
Can't find your answer?
Submit your question
5 Customer Q&As for Anti-PPP1R11/Tctex5 Antibody
Question
We are currently using anti-PPP1R11/Tctex5 antibody A10474 for rat tissue, and we are well pleased with the IHC results. The species of reactivity given in the datasheet says human, mouse, rat. Is it likely that the antibody can work on canine tissues as well?
Verified Customer
Verified customer
Asked: 2019-08-20
Answer
The anti-PPP1R11/Tctex5 antibody (A10474) has not been validated for cross reactivity specifically with canine tissues, but there is a good chance of cross reactivity. We have an innovator award program that if you test this antibody and show it works in canine you can get your next antibody for free. Please contact me if I can help you with anything.
Boster Scientific Support
Answered: 2019-08-20
Question
Do you have a BSA free version of anti-PPP1R11/Tctex5 antibody A10474 available?
Verified Customer
Verified customer
Asked: 2019-06-26
Answer
I appreciate your recent telephone inquiry. I can confirm that some lots of this anti-PPP1R11/Tctex5 antibody A10474 are BSA free. For now, these lots are available and we can make a BSA free formula for you free of charge. It will take 3 extra days to prepare. If you require this antibody BSA free again in future, please do not hesitate to contact me and I will be pleased to check which lots we have in stock that are BSA free.
Boster Scientific Support
Answered: 2019-06-26
Question
Can you help my question with product A10474, anti-PPP1R11/Tctex5 antibody. I was wondering if it would be possible to conjugate this antibody with biotin. I would need it to be without BSA or sodium azide. I am planning on using a buffer exchange of sodium azide with PBS only. Would there be problems for me to conjugate the antibody and store it in -20 degrees in small aliquots?
Verified Customer
Verified customer
Asked: 2019-05-31
Answer
We do not advise storing this antibody with PBS buffer only in -20 degrees. If you want to store it in -20 degrees it is best to add some cryoprotectant like glycerol. If you want carrier free A10474 anti-PPP1R11/Tctex5 antibody, we can provide it to you in a special formula with trehalose and/or glycerol. These molecules will not interfere with conjugation chemistry and provide a good level of protection for the antibody from degradation. Please be sure to specify this in your purchase order.
Boster Scientific Support
Answered: 2019-05-31
Question
I was wanting to use your anti-PPP1R11/Tctex5 antibody for IHC for rat cervix carcinoma on frozen tissues, but I want to know if it has been tested for this particular application. Has this antibody been tested and is this antibody a good choice for rat cervix carcinoma identification?
T. Zhao
Verified customer
Asked: 2014-06-24
Answer
You can see on the product datasheet, A10474 anti-PPP1R11/Tctex5 antibody has been tested for IHC on human, mouse, rat tissues. We have an innovator award program that if you test this antibody and show it works in rat cervix carcinoma in IHC-frozen, you can get your next antibody for free.
Boster Scientific Support
Answered: 2014-06-24
Question
Is this A10474 anti-PPP1R11/Tctex5 antibody reactive to the isotypes of PPP1R11?
R. Anderson
Verified customer
Asked: 2013-04-05
Answer
The immunogen of A10474 anti-PPP1R11/Tctex5 antibody is A peptide derived from human PPP1R11. Immunogen sequence location: 71 - 120. Could you tell me which isotype you are interested in so I can help see if the immunogen is part of this isotype?
Boster Scientific Support
Answered: 2013-04-05

