Product Info Summary
| SKU: | A06891-1 |
|---|---|
| Size: | 100 μg/vial |
| Reactive Species: | Human, Mouse, Rat |
| Host: | Rabbit |
| Application: | ELISA, Flow Cytometry, WB |
Customers Who Bought This Also Bought
Product info
Product Name
Anti-Psmb1 Antibody Picoband®
SKU/Catalog Number
A06891-1
Size
100 μg/vial
Form
Lyophilized
Description
Boster Bio Anti-Psmb1 Antibody Picoband® catalog # A06891-1. Tested in ELISA, Flow Cytometry, WB applications. This antibody reacts with Human, Mouse, Rat. The brand Picoband indicates this is a premium antibody that guarantees superior quality, high affinity, and strong signals with minimal background in Western blot applications. Only our best-performing antibodies are designated as Picoband, ensuring unmatched performance.
Storage & Handling
Store at -20˚C for one year from date of receipt. After reconstitution, at 4˚C for one month. It can also be aliquotted and stored frozen at -20˚C for six months. Avoid repeated freeze-thaw cycles.
Cite This Product
Anti-Psmb1 Antibody Picoband® (Boster Biological Technology, Pleasanton CA, USA, Catalog # A06891-1)
Host
Rabbit
Contents
Each vial contains 4mg Trehalose, 0.9mg NaCl, 0.2mg Na2HPO4.
Clonality
Polyclonal
Isotype
Rabbit IgG
Immunogen
E.coli-derived mouse Psmb1 recombinant protein (Position: S21-D240).
Cross-reactivity
No cross-reactivity with other proteins.
Reactive Species
A06891-1 is reactive to Psmb1 in Human, Mouse, Rat
Observed Molecular Weight
26 kDa
Calculated molecular weight
26.4 kDa
Background of Psmb1
Proteasome subunit beta type-1 also known as 20S proteasome subunit beta-6 (based on systematic nomenclature) is a protein that in humans is encoded by the PSMB1 gene. The proteasome is a multicatalytic proteinase complex with a highly ordered ring-shaped 20S core structure. The core structure is composed of 4 rings of 28 non-identical subunits; 2 rings are composed of 7 alpha subunits and 2 rings are composed of 7 beta subunits. Proteasomes are distributed throughout eukaryotic cells at a high concentration and cleave peptides in an ATP/ubiquitin-dependent process in a non-lysosomal pathway. An essential function of a modified proteasome, the immunoproteasome, is the processing of class I MHC peptides. This gene encodes a member of the proteasome B-type family, also known as the T1B family, that is a 20S core beta subunit. This gene is tightly linked to the TBP (TATA-binding protein) gene in human and in mouse, and is transcribed in the opposite orientation in both species.
Antibody Validation
Boster validates all antibodies on WB, IHC, ICC, Immunofluorescence, and ELISA with known positive control and negative samples to ensure specificity and high affinity, including thorough antibody incubations.
Application & Images
Applications
A06891-1 is guaranteed for ELISA, Flow Cytometry, WB Boster Guarantee
Assay Dilutions Recommendation
The recommendations below provide a starting point for assay optimization. The actual working concentration varies and should be decided by the user.
Western blot, 0.25-0.5μg/ml, Human, Mouse, Rat
Flow Cytometry (Fixed), 1-3μg/1x106 cells, Mouse
ELISA, 0.1-0.5μg/ml, -
Positive Control
WB: human HepG2 whole cell, human MCF-7 whole cell, rat liver tissue, mouse liver tissue, rat stomach tissue, rat kidney tissue, rat testis tissue, rat C6 whole cell, mouse kidney tissue, mouse NIH/3T3 whole cell
FCM: RAW2647 cell
Validation Images & Assay Conditions
Click image to see more details
Western blot analysis of Psmb1 using anti-Psmb1 antibody (A06891-1).
Electrophoresis was performed on a 5-20% SDS-PAGE gel at 70V (Stacking gel) / 90V (Resolving gel) for 2-3 hours. The sample well of each lane was loaded with 30 ug of sample under reducing conditions.
Lane 1: rat stomach tissue lysates,
Lane 2: rat kidney tissue lysates,
Lane 3: rat testis tissue lysates,
Lane 4: rat C6 whole cell lysates,
Lane 5: mouse kidney tissue lysates,
Lane 6: mouse NIH/3T3 whole cell lysates.
After electrophoresis, proteins were transferred to a nitrocellulose membrane at 150 mA for 50-90 minutes. Blocked the membrane with 5% non-fat milk/TBS for 1.5 hour at RT. The membrane was incubated with rabbit anti-Psmb1 antigen affinity purified polyclonal antibody (Catalog # A06891-1) at 0.5 μg/mL overnight at 4°C, then washed with TBS-0.1%Tween 3 times with 5 minutes each and probed with a goat anti-rabbit IgG-HRP secondary antibody at a dilution of 1:5000 for 1.5 hour at RT. The signal is developed using an Enhanced Chemiluminescent detection (ECL) kit (Catalog # EK1002) with Tanon 5200 system. A specific band was detected for Psmb1 at approximately 26 kDa. The expected band size for Psmb1 is at 26 kDa.
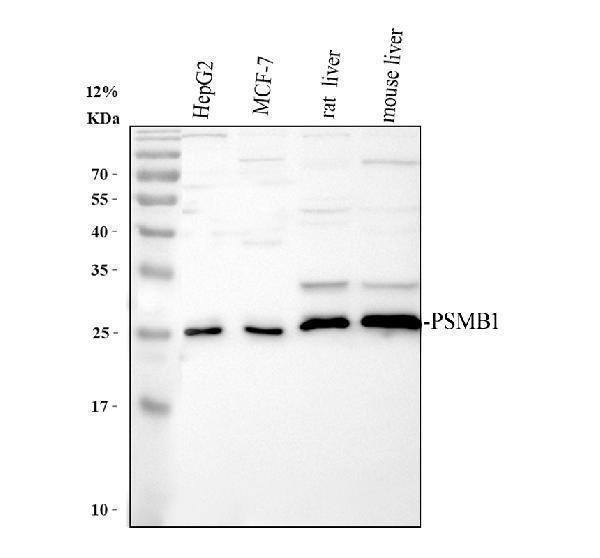
Click image to see more details
Western blot analysis of Psmb1 using anti-Psmb1 antibody (A06891-1).
Electrophoresis was performed on a 12% SDS-PAGE gel at 80V (Stacking gel) / 120V (Resolving gel) for 2-3 hours. The sample well of each lane was loaded with 30 ug of sample under reducing conditions.
Lane 1: human HepG2 whole cell lysates,
Lane 2: human MCF-7 whole cell lysates,
Lane 3: rat liver tissue lysates,
Lane 4: mouse liver tissue lysates.
After electrophoresis, proteins were transferred to a nitrocellulose membrane at 150 mA for 50-90 minutes. Blocked the membrane with 5% non-fat milk/TBS for 1.5 hour at RT. The membrane was incubated with rabbit anti-Psmb1 antigen affinity purified polyclonal antibody (Catalog # A06891-1) at 0.5 μg/mL overnight at 4°C, then washed with TBS-0.1%Tween 3 times with 5 minutes each and probed with a goat anti-rabbit IgG-HRP secondary antibody at a dilution of 1:5000 for 1.5 hour at RT. The signal is developed using an ECL Plus Western Blotting Substrate (Catalog # AR1196-200) with Tanon 5200 system. A specific band was detected for Psmb1 at approximately 26 kDa. The expected band size for Psmb1 is at 26 kDa.
Click image to see more details
Flow Cytometry analysis of RAW264.7 cells using anti-Psmb1 antibody (A06891-1).
Overlay histogram showing RAW264.7 cells stained with A06891-1 (Blue line). To facilitate intracellular staining, cells were fixed with 4% paraformaldehyde and permeabilized with permeabilization buffer. The cells were blocked with 10% normal goat serum. And then incubated with rabbit anti-Psmb1 Antibody (A06891-1, 1 μg/1x106 cells) for 30 min at 20°C. DyLight®488 conjugated goat anti-rabbit IgG (BA1127, 5-10 μg/1x106 cells) was used as secondary antibody for 30 minutes at 20°C. Isotype control antibody (Green line) was rabbit IgG (1 μg/1x106) used under the same conditions. Unlabelled sample without incubation with primary antibody and secondary antibody (Red line) was used as a blank control.
Specific Publications For Anti-Psmb1 Antibody Picoband® (A06891-1)
Loading publications
Recommended Resources
Here are featured tools and databases that you might find useful.
- Boster's Pathways Library
- Protein Databases
- Bioscience Research Protocol Resources
- Data Processing & Analysis Software
- Photo Editing Software
- Scientific Literature Resources
- Research Paper Management Tools
- Molecular Biology Software
- Primer Design Tools
- Bioinformatics Tools
- Phylogenetic Tree Analysis
Customer Reviews
Have you used Anti-Psmb1 Antibody Picoband®?
Share your experimental results or join a short interview to earn up to $1,000 in product credits or other rewards.
0 Reviews For Anti-Psmb1 Antibody Picoband®
Customer Q&As
Have a question?
Find answers in Q&As, reviews.
Can't find your answer?
Submit your question


