Product Info Summary
| SKU: | A09318 |
|---|---|
| Size: | 100μl |
| Reactive Species: | Human, Mouse |
| Host: | Rabbit |
| Application: | ELISA, IF, IHC, WB |
Customers Who Bought This Also Bought
Product info
Product Name
Anti-Rab11-FIP4 Antibody
SKU/Catalog Number
A09318
Size
100μl
Form
Liquid
Description
Boster Bio Anti-Rab11-FIP4 Antibody catalog # A09318. Tested in WB, IHC, IF, ELISA applications. This antibody reacts with Human, Mouse.
Storage & Handling
Store at -20°C for one year. For short term storage and frequent use, store at 4°C for up to one month. Avoid repeated freeze-thaw cycles.
Cite This Product
Anti-Rab11-FIP4 Antibody (Boster Biological Technology, Pleasanton CA, USA, Catalog # A09318)
Host
Rabbit
Contents
Liquid in PBS containing 50% glycerol, 0.5% stabilizing protein and 0.02% sodium azide.
This antibody is supplied in a stabilized formulation.
Compatibility with conjugation reactions depends on the chemistry of the conjugation method used.
For conjugation methods that are not compatible with the stabilizing components present in this formulation, a carrier-free antibody format is required.
Clonality
Polyclonal
Isotype
IgG
Immunogen
The antiserum was produced against synthesized peptide derived from human RAB11FIP4. AA range:452-501
Cross-reactivity
No cross reactivity with other proteins.
Reactive Species
A09318 is reactive to RAB11FIP4 in Human, Mouse
Observed Molecular Weight
39 kDa
Calculated molecular weight
71.9 kDa
Antibody Validation
Boster validates all antibodies on WB, IHC, ICC, Immunofluorescence, and ELISA with known positive control and negative samples to ensure specificity and high affinity, including thorough antibody incubations.
Application & Images
Applications
A09318 is guaranteed for ELISA, IF, IHC, WB Boster Guarantee
Assay Dilutions Recommendation
The recommendations below provide a starting point for assay optimization. The actual working concentration varies and should be decided by the user.
WB 1:500-1:2000
IHC 1:100-1:300
ELISA 1:40000
IF 1:50-200
Validation Images & Assay Conditions
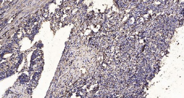
Click image to see more details
Immunohistochemical analysis of paraffin-embedded human Gastric adenocarcinoma. 1, Antibody was diluted at 1:200 (4° overnight). 2, Tris-EDTA,pH9.0 was used for antigen retrieval. 3,Secondary antibody was diluted at 1:200 (room temperature, 45min).
Click image to see more details
Western Blot analysis of various cells using Rab11-FIP4 Polyclonal Antibody
Click image to see more details
Western blot analysis of lysates from 293, COLO, HUVEC, HepG2, and HT-29 cells, using RAB11FIP4 Antibody. The lane on the right is blocked with the synthesized peptide.
Specific Publications For Anti-Rab11-FIP4 Antibody (A09318)
Loading publications
Recommended Resources
Here are featured tools and databases that you might find useful.
- Boster's Pathways Library
- Protein Databases
- Bioscience Research Protocol Resources
- Data Processing & Analysis Software
- Photo Editing Software
- Scientific Literature Resources
- Research Paper Management Tools
- Molecular Biology Software
- Primer Design Tools
- Bioinformatics Tools
- Phylogenetic Tree Analysis
Customer Reviews
Have you used Anti-Rab11-FIP4 Antibody?
Share your experimental results or join a short interview to earn up to $1,000 in product credits or other rewards.
0 Reviews For Anti-Rab11-FIP4 Antibody
Customer Q&As
Have a question?
Find answers in Q&As, reviews.
Can't find your answer?
Submit your question
5 Customer Q&As for Anti-Rab11-FIP4 Antibody
Question
We are currently using anti-Rab11-FIP4 antibody A09318 for mouse tissue, and we are content with the WB results. The species of reactivity given in the datasheet says human, mouse. Is it true that the antibody can work on canine tissues as well?
Verified Customer
Verified customer
Asked: 2019-11-14
Answer
The anti-Rab11-FIP4 antibody (A09318) has not been validated for cross reactivity specifically with canine tissues, but there is a good chance of cross reactivity. We have an innovator award program that if you test this antibody and show it works in canine you can get your next antibody for free. Please contact me if I can help you with anything.
Boster Scientific Support
Answered: 2019-11-14
Question
Is this A09318 anti-Rab11-FIP4 antibody reactive to the isotypes of RAB11FIP4?
Verified Customer
Verified customer
Asked: 2019-08-23
Answer
The immunogen of A09318 anti-Rab11-FIP4 antibody is Synthesized peptide derived from the Internal region of human Rab11-FIP4. at AA rangle: 430-510. Could you tell me which isotype you are interested in so I can help see if the immunogen is part of this isotype?
Boster Scientific Support
Answered: 2019-08-23
Question
I have attached the WB image, lot number and protocol we used for erythroleukemia using anti-Rab11-FIP4 antibody A09318. Please let me know if you require anything else.
Verified Customer
Verified customer
Asked: 2018-10-09
Answer
Thank you very much for the data. Our lab team are working to resolve this as quickly as possible, and we appreciate your patience and understanding! You have provided everything we needed. Please let me know if there is anything you need in the meantime.
Boster Scientific Support
Answered: 2018-10-09
Question
Does anti-Rab11-FIP4 antibody A09318 work for WB with erythroleukemia?
Verified Customer
Verified customer
Asked: 2017-09-18
Answer
According to the expression profile of erythroleukemia, RAB11FIP4 is highly expressed in erythroleukemia. So, it is likely that anti-Rab11-FIP4 antibody A09318 will work for WB with erythroleukemia.
Boster Scientific Support
Answered: 2017-09-18
Question
Is there a BSA free version of anti-Rab11-FIP4 antibody A09318 available?
Verified Customer
Verified customer
Asked: 2017-07-27
Answer
Thank you for your recent telephone inquiry. I can confirm that some lots of this anti-Rab11-FIP4 antibody A09318 are BSA free. For now, these lots are available and we can make a BSA free formula for you free of charge. It will take 3 extra days to prepare. If you require this antibody BSA free again in future, please do not hesitate to contact me and I will be pleased to check which lots we have in stock that are BSA free.
Boster Scientific Support
Answered: 2017-07-27

