Product Info Summary
| SKU: | A00524-1 |
|---|---|
| Size: | 80 µl |
| Reactive Species: | Human, Mouse |
| Host: | Rabbit |
| Application: | IF, IHC-P, WB |
Customers Who Bought This Also Bought
Product info
Product Name
Anti-RBX1 Antibody (C-term)
SKU/Catalog Number
A00524-1
Size
80 µl
Form
Liquid
Description
Boster Bio Anti-RBX1 Antibody (C-term) (Catalog # A00524-1). Tested in WB, IHC-P, IF application(s). This antibody reacts with Human, Mouse.
Storage & Handling
Maintain refrigerated at 2-8°C for up to 2 weeks. For long-term storage, store at -20°C in small aliquots to prevent freeze-thaw cycles.
Cite This Product
Anti-RBX1 Antibody (C-term) (Boster Biological Technology, Pleasanton CA, USA, Catalog # A00524-1)
Host
Rabbit
Contents
Purified polyclonal antibody supplied in PBS with 0.09% (W/V) sodium azide.
Clonality
Polyclonal
Isotype
Rabbit IgG
Immunogen
This RBX1 antibody is generated from a rabbit immunized with a KLH conjugated synthetic peptide between 74-108 amino acids from the C-terminal region of human RBX1.
Cross-reactivity
No cross reactivity with other proteins.
Reactive Species
A00524-1 is reactive to RBX1 in Human, Mouse
Calculated molecular weight
12.3 kDa
Background of RBX1
E3 ubiquitin ligase component of multiple cullin-RING- based E3 ubiquitin-protein ligase complexes which mediate the ubiquitination and subsequent proteasomal degradation of target proteins, including proteins involved in cell cycle progression, signal transduction, transcription and transcription-coupled nucleotide excision repair. The functional specificity of the E3 ubiquitin-protein ligase complexes depends on the variable substrate recognition components. As a component of the CSA complex promotes the ubiquitination of ERCC6 resulting in proteasomal degradation. Through the RING-type zinc finger, seems to recruit the E2 ubiquitination enzyme, like CDC34, to the complex and brings it into close proximity to the substrate. Probably also stimulates CDC34 autoubiquitination. May be required for histone H3 and histone H4 ubiquitination in response to ultraviolet and for subsequent DNA repair. Promotes the neddylation of CUL1, CUL2, CUL4 and CUL4 via its interaction with UBE2M. Involved in the ubiquitination of KEAP1, ENC1 and KLHL41. In concert with ATF2 and CUL3, promotes degradation of KAT5 thereby attenuating its ability to acetylate and activate ATM.
Antibody Validation
Boster validates all antibodies on WB, IHC, ICC, Immunofluorescence, and ELISA with known positive control and negative samples to ensure specificity and high affinity, including thorough antibody incubations.
Application & Images
Applications
A00524-1 is guaranteed for IF, IHC-P, WB Boster Guarantee
Assay Dilutions Recommendation
The recommendations below provide a starting point for assay optimization. The actual working concentration varies and should be decided by the user.
IF: 1:25
WB: 1:1000
IHC-P: 1:25
Validation Images & Assay Conditions
Click image to see more details
Fluorescent image of HeLa cells stained with RBX1 Antibody (C-term). A00524-1 was diluted at 1:25 dilution. An Alexa Fluor 488-conjugated goat anti-rabbit lgG at 1:400 dilution was used as the secondary antibody (green). Cytoplasmic actin was counterstained with Alexa Fluor® 555 conjugated with Phalloidin (red).
Click image to see more details
All lanes : Anti-RBX1 Antibody (C-term) at 1:1000 dilution
Lane 1: HepG2 whole cell lysate
Lane 2: 293 whole cell lysate
Lysates/proteins at 20 µg per lane.
Secondary
Goat Anti-Rabbit IgG, (H+L), Peroxidase conjugated at 1/10000 dilution.
Predicted band size : 12 kDa
Blocking/Dilution buffer: 5% NFDM/TBST.
Click image to see more details
Western blot analysis of lysates from Hela, MCF-7 cell line (from left to right), using RBX1 Antibody (C-term) (Cat. #A00524-1). A00524-1 was diluted at 1:1000 at each lane. A goat anti-rabbit IgG H&L (HRP) at 1:5000 dilution was used as the secondary antibody. Lysates at 35ug per lane.
Click image to see more details
All lanes : Anti-Mouse) Rbx1 Antibody (C-term) at 1:1000 dilution
Lane 1: 293 whole cell lysate
Lane 2: Hela whole cell lysate
Lane 3: HT-1080 whole cell lysate
Lane 4: Jurkat whole cell lysate
Lane 5: NIH/3T3 whole cell lysate
Lysates/proteins at 20 µg per lane.
Secondary
Goat Anti-Rabbit IgG, (H+L), Peroxidase conjugated at 1/10000 dilution.
Predicted band size : 12 kDa
Blocking/Dilution buffer: 5% NFDM/TBST.
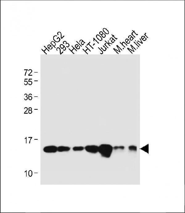
Click image to see more details
All lanes : Anti-Mouse) Rbx1 Antibody (C-term) at 1:1000 dilution
Lane 1: HepG2 whole cell lysate
Lane 2: 293 whole cell lysate
Lane 3: Hela whole cell lysate
Lane 4: HT-1080 whole cell lysate
Lane 5: Jurkat whole cell lysate
Lane 6: Mouse heart lysate
Lane 7: Mouse liver whole cell lysate
Lysates/proteins at 20 µg per lane.
Secondary
Goat Anti-Rabbit IgG, (H+L), Peroxidase conjugated at 1/10000 dilution.
Predicted band size : 12 kDa
Blocking/Dilution buffer: 5% NFDM/TBST.
Click image to see more details
Immunohistochemical analysis of paraffin-embedded M. testis section using RBX1 Antibody (C-term) (Cat#A00524-1). A00524-1 was diluted at 1:100 dilution. A peroxidase-conjugated goat anti-rabbit IgG at 1:400 dilution was used as the secondary antibody, followed by DAB staining.
Click image to see more details
Immunohistochemical analysis of paraffin-embedded H. colon section using RBX1 Antibody (C-term)
(Cat#A00524-1). A00524-1 was diluted at 1:100 dilution. A peroxidase-conjugated goat anti-rabbit IgG at 1:400 dilution was used as the secondary antibody, followed by DAB staining.
Specific Publications For Anti-RBX1 Antibody (C-term) (A00524-1)
Loading publications
Recommended Resources
Here are featured tools and databases that you might find useful.
- Boster's Pathways Library
- Protein Databases
- Bioscience Research Protocol Resources
- Data Processing & Analysis Software
- Photo Editing Software
- Scientific Literature Resources
- Research Paper Management Tools
- Molecular Biology Software
- Primer Design Tools
- Bioinformatics Tools
- Phylogenetic Tree Analysis
Customer Reviews
Have you used Anti-RBX1 Antibody (C-term)?
Share your experimental results or join a short interview to earn up to $1,000 in product credits or other rewards.
0 Reviews For Anti-RBX1 Antibody (C-term)
Customer Q&As
Have a question?
Find answers in Q&As, reviews.
Can't find your answer?
Submit your question

