Product Info Summary
| SKU: | A03315-3 |
|---|---|
| Size: | 100 μg/vial |
| Reactive Species: | Human, Mouse, Rat |
| Host: | Rabbit |
| Application: | ELISA, Flow Cytometry, IF, IHC, ICC, WB |
Customers Who Bought This Also Bought
Product info
Product Name
Anti-REA/PHB2 Antibody Picoband®
SKU/Catalog Number
A03315-3
Size
100 μg/vial
Form
Lyophilized
Description
Boster Bio Anti-REA/PHB2 Antibody Picoband® catalog # A03315-3. Tested in ELISA, Flow Cytometry, IF, IHC, ICC, WB applications. This antibody reacts with Human, Mouse, Rat. The brand Picoband indicates this is a premium antibody that guarantees superior quality, high affinity, and strong signals with minimal background in Western blot applications. Only our best-performing antibodies are designated as Picoband, ensuring unmatched performance.
Storage & Handling
Store at -20˚C for one year from date of receipt. After reconstitution, at 4˚C for one month. It can also be aliquotted and stored frozen at -20˚C for six months. Avoid repeated freeze-thaw cycles.
Cite This Product
Anti-REA/PHB2 Antibody Picoband® (Boster Biological Technology, Pleasanton CA, USA, Catalog # A03315-3)
Host
Rabbit
Contents
Each vial contains 4mg Trehalose, 0.9mg NaCl, 0.2mg Na2HPO4, 0.01mg NaN3.
Clonality
Polyclonal
Isotype
Rabbit IgG
Immunogen
E.coli-derived human REA/PHB2 recombinant protein (Position: M1-K299).
Cross-reactivity
No cross-reactivity with other proteins.
Reactive Species
A03315-3 is reactive to PHB2 in Human, Mouse, Rat
Observed Molecular Weight
33 kDa
Calculated molecular weight
33.3 kDa
Background of PHB2
PHB2 (Prohibitin 2), also called Repressor of Estrogen Receptor Activity (REA), is a protein that in humans is encoded by the PHB2 gene. The International Radiation Hybrid Mapping Consortium mapped the PHB2 gene to chromosome 12. Montano et al. (1999) showed that REA enhanced the potency of a dominant-negative ER-alpha mutant and antiestrogens as suppressors of ER-alpha activity in Chinese hamster ovary cells. When coexpressed with wildtype ER-alpha or ER-beta (ESR2), REA suppressed activation of a reporter gene in a dose-dependent manner. REA had no effect on reporter activity in the absence of liganded ER, and it had no effect on the transcriptional activities of other hormone receptors. Mutation analysis showed that an N-terminal domain and a central domain of REA were required for its repressor activity.
Antibody Validation
Boster validates all antibodies on WB, IHC, ICC, Immunofluorescence, and ELISA with known positive control and negative samples to ensure specificity and high affinity, including thorough antibody incubations.
Application & Images
Applications
A03315-3 is guaranteed for ELISA, Flow Cytometry, IF, IHC, ICC, WB Boster Guarantee
Assay Dilutions Recommendation
The recommendations below provide a starting point for assay optimization. The actual working concentration varies and should be decided by the user.
Western blot, 0.1-0.25μg/ml, Human, Mouse, Rat
Immunohistochemistry (Paraffin-embedded Section), 1-2μg/ml, Human, Mouse, Rat
Immunocytochemistry/Immunofluorescence, 5μg/ml, Human
Flow Cytometry (Fixed), 1-3μg/1x106 cells, Human
ELISA, 0.1-0.5μg/ml, -
Positive Control
WB: human Hela whole cell, human Jurkat whole cell, human HEK293 whole cell, human K562 whole cell, human HT1080 whole cell, human SW620 whole cell, human U87 whole cell, human A549 whole cell, rat brain tissue, rat heart tissue, rat liver tissue, rat PC-12 whole cell, mouse brain tissue, mouse heart tissue, mouse liver tissue, mouse NIH/3T3 whole cell, mouse RAW2647 whole cell
IHC: human mammary cancer tissue, human rectal cancer tissue, mouse intestine tissue, rat intestine tissue
ICC/IF: A431 cell
FCM: HL-60 cell
Validation Images & Assay Conditions
Click image to see more details
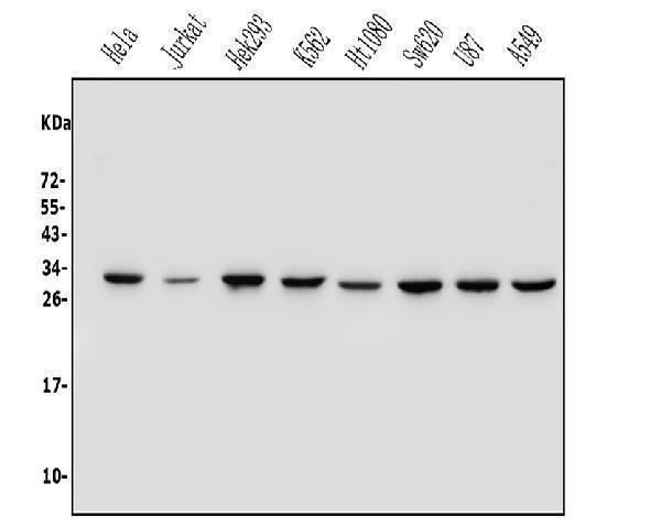
Western blot analysis of REA/PHB2 using anti-REA/PHB2 antibody (A03315-3).
Electrophoresis was performed on a 5-20% SDS-PAGE gel at 70V (Stacking gel) / 90V (Resolving gel) for 2-3 hours. The sample well of each lane was loaded with 50ug of sample under reducing conditions.
Lane 1: human Hela whole cell lysates,
Lane 2: human Jurkat whole cell lysates,
Lane 3: human HEK293 whole cell lysates,
Lane 4: human K562 whole cell lysates,
Lane 5: human HT1080 whole cell lysates,
Lane 6: human SW620 whole cell lysates,
Lane 7: human U87 whole cell lysates,
Lane 8: human A549 whole cell lysates.
After Electrophoresis, proteins were transferred to a Nitrocellulose membrane at 150mA for 50-90 minutes. Blocked the membrane with 5% Non-fat Milk/ TBS for 1.5 hour at RT. The membrane was incubated with rabbit anti-REA/PHB2 antigen affinity purified polyclonal antibody (Catalog # A03315-3) at 0.25 μg/mL overnight at 4°C, then washed with TBS-0.1%Tween 3 times with 5 minutes each and probed with a goat anti-rabbit IgG-HRP secondary antibody at a dilution of 1:10000 for 1.5 hour at RT. The signal is developed using an Enhanced Chemiluminescent detection (ECL) kit (Catalog # EK1002) with Tanon 5200 system. A specific band was detected for REA/PHB2 at approximately 33KD. The expected band size for REA/PHB2 is at 33KD.
Click image to see more details
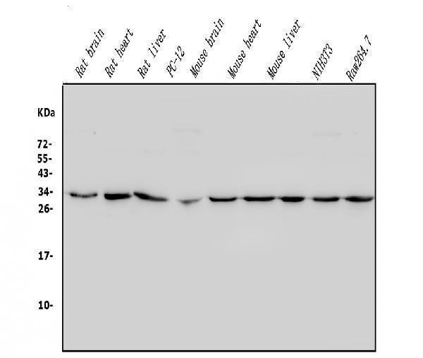
Western blot analysis of REA/PHB2 using anti-REA/PHB2 antibody (A03315-3).
Electrophoresis was performed on a 5-20% SDS-PAGE gel at 70V (Stacking gel) / 90V (Resolving gel) for 2-3 hours. The sample well of each lane was loaded with 50ug of sample under reducing conditions.
Lane 1: rat brain tissue lysates,
Lane 2: rat heart tissue lysates,
Lane 3: rat liver tissue lysates,
Lane 4: rat PC-12 whole cell lysates,
Lane 5: mouse brain tissue lysates,
Lane 6: mouse heart tissue lysates,
Lane 7: mouse liver tissue lysates,
Lane 8: mouse NIH/3T3 whole cell lysates,
Lane 9: mouse RAW264.7 whole cell lysates.
After Electrophoresis, proteins were transferred to a Nitrocellulose membrane at 150mA for 50-90 minutes. Blocked the membrane with 5% Non-fat Milk/ TBS for 1.5 hour at RT. The membrane was incubated with rabbit anti-REA/PHB2 antigen affinity purified polyclonal antibody (Catalog # A03315-3) at 0.25 μg/mL overnight at 4°C, then washed with TBS-0.1%Tween 3 times with 5 minutes each and probed with a goat anti-rabbit IgG-HRP secondary antibody at a dilution of 1:10000 for 1.5 hour at RT. The signal is developed using an Enhanced Chemiluminescent detection (ECL) kit (Catalog # EK1002) with Tanon 5200 system. A specific band was detected for REA/PHB2 at approximately 33KD. The expected band size for REA/PHB2 is at 33KD.
Click image to see more details
IHC analysis of REA/PHB2 using anti REA/PHB2 antibody (A03315-3).
REA/PHB2 was detected in paraffin-embedded section of human mammary cancer tissue. Heat mediated antigen retrieval was performed in EDTA buffer (pH8.0, epitope retrieval solution). The tissue section was blocked with 10% goat serum. The tissue section was then incubated with 2μg/ml rabbit anti-REA/PHB2 Antibody (A03315-3) overnight at 4°C. Biotinylated goat anti-rabbit IgG was used as secondary antibody and incubated for 30 minutes at 37°C. The tissue section was developed using Strepavidin-Biotin-Complex (SABC) (Catalog # SA1022) with DAB as the chromogen.
Click image to see more details
IHC analysis of REA/PHB2 using anti REA/PHB2 antibody (A03315-3).
REA/PHB2 was detected in paraffin-embedded section of human rectal cancer tissue. Heat mediated antigen retrieval was performed in EDTA buffer (pH8.0, epitope retrieval solution). The tissue section was blocked with 10% goat serum. The tissue section was then incubated with 2μg/ml rabbit anti-REA/PHB2 Antibody (A03315-3) overnight at 4°C. Biotinylated goat anti-rabbit IgG was used as secondary antibody and incubated for 30 minutes at 37°C. The tissue section was developed using Strepavidin-Biotin-Complex (SABC) (Catalog # SA1022) with DAB as the chromogen.
Click image to see more details
IHC analysis of REA/PHB2 using anti REA/PHB2 antibody (A03315-3).
REA/PHB2 was detected in paraffin-embedded section of mouse intestine tissue. Heat mediated antigen retrieval was performed in EDTA buffer (pH8.0, epitope retrieval solution). The tissue section was blocked with 10% goat serum. The tissue section was then incubated with 2μg/ml rabbit anti-REA/PHB2 Antibody (A03315-3) overnight at 4°C. Biotinylated goat anti-rabbit IgG was used as secondary antibody and incubated for 30 minutes at 37°C. The tissue section was developed using Strepavidin-Biotin-Complex (SABC) (Catalog # SA1022) with DAB as the chromogen.
Click image to see more details
IHC analysis of REA/PHB2 using anti REA/PHB2 antibody (A03315-3).
REA/PHB2 was detected in paraffin-embedded section of rat intestine tissue. Heat mediated antigen retrieval was performed in EDTA buffer (pH8.0, epitope retrieval solution). The tissue section was blocked with 10% goat serum. The tissue section was then incubated with 2μg/ml rabbit anti-REA/PHB2 Antibody (A03315-3) overnight at 4°C. Biotinylated goat anti-rabbit IgG was used as secondary antibody and incubated for 30 minutes at 37°C. The tissue section was developed using Strepavidin-Biotin-Complex (SABC) (Catalog # SA1022) with DAB as the chromogen.
Click image to see more details
IF analysis of REA/PHB2 using anti-REA/PHB2 antibody (A03315-3).
REA/PHB2 was detected in immunocytochemical section of A431 cells. Enzyme antigen retrieval was performed using IHC enzyme antigen retrieval reagent (AR0022) for 15 mins. The cells were blocked with 10% goat serum. And then incubated with 5μg/mL rabbit anti-REA/PHB2 Antibody (A03315-3) overnight at 4°C. DyLight®488 Conjugated Goat Anti-Rabbit IgG (BA1127) was used as secondary antibody at 1:100 dilution and incubated for 30 minutes at 37°C. The section was counterstained with DAPI. Visualize using a fluorescence microscope and filter sets appropriate for the label used.
Click image to see more details
Flow Cytometry analysis of HL-60 cells using anti-REA/PHB2 antibody (A03315-3).
Overlay histogram showing HL-60 cells stained with A03315-3 (Blue line). To facilitate intracellular staining, cells were fixed with 4% paraformaldehyde and permeabilized with permeabilization buffer. The cells were blocked with 10% normal goat serum. And then incubated with rabbit anti-REA/PHB2 Antibody (A03315-3,1μg/1x106 cells) for 30 min at 20°C. DyLight®488 conjugated goat anti-rabbit IgG (BA1127, 5-10μg/1x106 cells) was used as secondary antibody for 30 minutes at 20°C. Isotype control antibody (Green line) was rabbit IgG (1μg/1x106) used under the same conditions. Unlabelled sample without incubation with primary antibody and secondary antibody (Red line) was used as a blank control.
Specific Publications For Anti-REA/PHB2 Antibody Picoband® (A03315-3)
Loading publications
Recommended Resources
Here are featured tools and databases that you might find useful.
- Boster's Pathways Library
- Protein Databases
- Bioscience Research Protocol Resources
- Data Processing & Analysis Software
- Photo Editing Software
- Scientific Literature Resources
- Research Paper Management Tools
- Molecular Biology Software
- Primer Design Tools
- Bioinformatics Tools
- Phylogenetic Tree Analysis
Customer Reviews
Have you used Anti-REA/PHB2 Antibody Picoband®?
Share your experimental results or join a short interview to earn up to $1,000 in product credits or other rewards.
0 Reviews For Anti-REA/PHB2 Antibody Picoband®
Customer Q&As
Have a question?
Find answers in Q&As, reviews.
Can't find your answer?
Submit your question


