Product Info Summary
| SKU: | A10125 |
|---|---|
| Size: | 100ul |
| Reactive Species: | Human, Mouse, Rat |
| Host: | Rabbit |
| Application: | ELISA, IF, IHC, ICC, WB |
Customers Who Bought This Also Bought
Product info
Product Name
Anti-RPL37A/Ribosomal Protein L37A Antibody
SKU/Catalog Number
A10125
Size
100ul
Form
Liquid
Description
Boster Bio Anti-RPL37A/Ribosomal Protein L37A Antibody (Catalog# A10125). Tested in IHC, ICC, IF, WB, ELISA applications. This antibody reacts with Human, Mouse, Rat.
Storage & Handling
Store at -20°C for one year. For short-term storage and frequent use, store at 4°C for up to one month. Avoid repeated freeze-thaw cycles.
Cite This Product
Anti-RPL37A/Ribosomal Protein L37A Antibody (Boster Biological Technology, Pleasanton CA, USA, Catalog # A10125)
Host
Rabbit
Contents
PBS containing 50% glycerol, 0.5% stabilizing protein and 0.02% sodium azide.
This antibody is supplied in a stabilized formulation.
Compatibility with conjugation reactions depends on the chemistry of the conjugation method used.
For conjugation methods that are not compatible with the stabilizing components present in this formulation, a carrier-free antibody format is required.
Clonality
Polyclonal
Isotype
Rabbit IgG
Immunogen
A peptide derived from human RPL37A. Immunogen sequence location: 21-70
Reactive Species
A10125 is reactive to RPL37A in Human, Mouse, Rat
Observed Molecular Weight
72 kDa
Calculated molecular weight
10.3 kDa
Antibody Validation
Boster validates all antibodies on WB, IHC, ICC, Immunofluorescence, and ELISA with known positive control and negative samples to ensure specificity and high affinity, including thorough antibody incubations.
Application & Images
Applications
A10125 is guaranteed for ELISA, IF, IHC, ICC, WB Boster Guarantee
Assay Dilutions Recommendation
The recommendations below provide a starting point for assay optimization. The actual working concentration varies and should be decided by the user.
WB 1:500-2000
IHC 1:100 - 1:300.
ELISA: 1:40000.
ICC/IF 1:50-200
Validation Images & Assay Conditions
Click image to see more details
Immunohistochemical analysis of paraffin-embedded Human lung cancer. Antibody was diluted at 1:100(4° overnight). High-pressure and temperature Tris-EDTA,pH8.0 was used for antigen retrieval. Negetive contrl (right) obtaned from antibody was pre-absorbed by immunogen peptide.
Click image to see more details
Western blot analysis of lysates from K562 cells, primary antibody was diluted at 1:1000, 4°over night
Click image to see more details
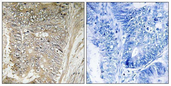
Immunohistochemistry analysis of paraffin-embedded human colon carcinoma tissue, using RPL37A Antibody. The picture on the right is blocked with the synthesized peptide.
Specific Publications For Anti-RPL37A/Ribosomal Protein L37A Antibody (A10125)
Loading publications
Recommended Resources
Here are featured tools and databases that you might find useful.
- Boster's Pathways Library
- Protein Databases
- Bioscience Research Protocol Resources
- Data Processing & Analysis Software
- Photo Editing Software
- Scientific Literature Resources
- Research Paper Management Tools
- Molecular Biology Software
- Primer Design Tools
- Bioinformatics Tools
- Phylogenetic Tree Analysis
Customer Reviews
Have you used Anti-RPL37A/Ribosomal Protein L37A Antibody?
Share your experimental results or join a short interview to earn up to $1,000 in product credits or other rewards.
0 Reviews For Anti-RPL37A/Ribosomal Protein L37A Antibody
Customer Q&As
Have a question?
Find answers in Q&As, reviews.
Can't find your answer?
Submit your question
5 Customer Q&As for Anti-RPL37A/Ribosomal Protein L37A Antibody
Question
Thank you for helping with my inquiry over the phone. Here are the WB image, lot number and protocol we used for skin testis using anti-RPL37A/Ribosomal Protein L37A antibody A10125. Let me know if you need anything else.
Verified Customer
Verified customer
Asked: 2020-03-04
Answer
Thanks for the data. You have provided everything we needed. Our lab team are working to resolve your inquiry as quickly as possible, and we appreciate your patience and understanding! Please let me know if there is anything you need in the meantime.
Boster Scientific Support
Answered: 2020-03-04
Question
Does anti-RPL37A/Ribosomal Protein L37A antibody A10125 work for IHC with skin testis?
Verified Customer
Verified customer
Asked: 2017-12-05
Answer
According to the expression profile of skin testis, RPL37A is highly expressed in skin testis. So, it is likely that anti-RPL37A/Ribosomal Protein L37A antibody A10125 will work for IHC with skin testis.
Boster Scientific Support
Answered: 2017-12-05
Question
Does anti-RPL37A/Ribosomal Protein L37A antibody A10125 work on dog IHC with brain?
Verified Customer
Verified customer
Asked: 2017-10-20
Answer
Our lab technicians have not validated anti-RPL37A/Ribosomal Protein L37A antibody A10125 on dog. You can run a BLAST between dog and the immunogen sequence of anti-RPL37A/Ribosomal Protein L37A antibody A10125 to see if they may cross-react. If the sequence homology is close, then you can perform a pilot test. Keep in mind that since we have not validated dog samples, this use of the antibody is not covered by our guarantee. However we have an innovator award program that if you test this antibody and show it works in dog brain in IHC, you can get your next antibody for free.
Boster Scientific Support
Answered: 2017-10-20
Question
We are currently using anti-RPL37A/Ribosomal Protein L37A antibody A10125 for human tissue, and we are happy with the IHC results. The species of reactivity given in the datasheet says human, mouse, rat. Is it possible that the antibody can work on canine tissues as well?
Verified Customer
Verified customer
Asked: 2017-09-01
Answer
The anti-RPL37A/Ribosomal Protein L37A antibody (A10125) has not been validated for cross reactivity specifically with canine tissues, but there is a good chance of cross reactivity. We have an innovator award program that if you test this antibody and show it works in canine you can get your next antibody for free. Please contact me if I can help you with anything.
Boster Scientific Support
Answered: 2017-09-01
Question
I see that the anti-RPL37A/Ribosomal Protein L37A antibody A10125 works with IHC, what is the protocol used to produce the result images on the product page?
G. Zhao
Verified customer
Asked: 2013-01-18
Answer
You can find protocols for IHC on the "support/technical resources" section of our navigation menu. If you have any further questions, please send an email to support@bosterbio.com
Boster Scientific Support
Answered: 2013-01-18

