Product Info Summary
| SKU: | A05870-1 |
|---|---|
| Size: | 100μl |
| Reactive Species: | Human, Mouse, Rat |
| Host: | Rabbit |
| Application: | ELISA, IF, IHC, WB |
Customers Who Bought This Also Bought
Product info
Product Name
Anti-USP19 Antibody
SKU/Catalog Number
A05870-1
Size
100μl
Form
Liquid
Description
Boster Bio Anti-USP19 Antibody catalog # A05870-1. Tested in WB, IHC, IF, ELISA applications. This antibody reacts with Human, Mouse, Rat.
Storage & Handling
Store at -20°C for one year. For short term storage and frequent use, store at 4°C for up to one month. Avoid repeated freeze-thaw cycles.
Cite This Product
Anti-USP19 Antibody (Boster Biological Technology, Pleasanton CA, USA, Catalog # A05870-1)
Host
Rabbit
Contents
Liquid in PBS containing 50% glycerol, 0.5% stabilizing protein and 0.02% sodium azide.
*This antibody is supplied in a stabilized formulation.
Compatibility with conjugation reactions depends on the chemistry of the conjugation method used.
For conjugation methods that are not compatible with the stabilizing components present in this formulation, a carrier-free antibody format is required.
Clonality
Polyclonal
Isotype
IgG
Immunogen
The antiserum was produced against synthesized peptide derived from human USP19. AA range:391-440
Reactive Species
A05870-1 is reactive to USP19 in Human, Mouse, Rat
Observed Molecular Weight
39 kDa
Calculated molecular weight
145.7 kDa
Antibody Validation
Boster validates all antibodies on WB, IHC, ICC, Immunofluorescence, and ELISA with known positive control and negative samples to ensure specificity and high affinity, including thorough antibody incubations.
Application & Images
Applications
A05870-1 is guaranteed for ELISA, IF, IHC, WB Boster Guarantee
Assay Dilutions Recommendation
The recommendations below provide a starting point for assay optimization. The actual working concentration varies and should be decided by the user.
WB 1:500-1:2000
IHC 1:100-1:300
ELISA 1:20000
IF 1:50-200
Validation Images & Assay Conditions
Click image to see more details
Western Blot analysis of NIH-3T3 cells using USP19 Polyclonal Antibody diluted at 1:2000. Secondary antibody was diluted at 1:20000
Click image to see more details
Western blot analysis of lysates from NIH/3T3 cells, using USP19 Antibody. The lane on the right is blocked with the synthesized peptide.
Click image to see more details
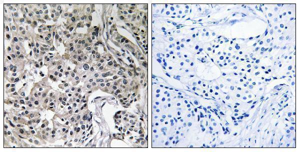
Immunohistochemistry analysis of paraffin-embedded human breast carcinoma tissue, using USP19 Antibody. The picture on the right is blocked with the synthesized peptide.
Specific Publications For Anti-USP19 Antibody (A05870-1)
Loading publications
Recommended Resources
Here are featured tools and databases that you might find useful.
- Boster's Pathways Library
- Protein Databases
- Bioscience Research Protocol Resources
- Data Processing & Analysis Software
- Photo Editing Software
- Scientific Literature Resources
- Research Paper Management Tools
- Molecular Biology Software
- Primer Design Tools
- Bioinformatics Tools
- Phylogenetic Tree Analysis
Customer Reviews
Have you used Anti-USP19 Antibody?
Share your experimental results or join a short interview to earn up to $1,000 in product credits or other rewards.
0 Reviews For Anti-USP19 Antibody
Customer Q&As
Have a question?
Find answers in Q&As, reviews.
Can't find your answer?
Submit your question
3 Customer Q&As for Anti-USP19 Antibody
Question
Would A05870-1 anti-USP19 antibody work on parafin embedded sections? If so, which fixation method do you recommend we use (PFA, paraformaldehyde, other)?
Verified Customer
Verified customer
Asked: 2020-03-24
Answer
You can see on the product datasheet, A05870-1 anti-USP19 antibody as been validated on WB. It is best to use PFA for fixation because it has better tissue penetration ability. PFA needs to be prepared fresh before use. Long term stored PFA turns into formalin, as the PFA molecules congregate and become formalin.
Boster Scientific Support
Answered: 2020-03-24
Question
We are currently using anti-USP19 antibody A05870-1 for mouse tissue, and we are well pleased with the WB results. The species of reactivity given in the datasheet says human, mouse, rat. Is it likely that the antibody can work on horse tissues as well?
Verified Customer
Verified customer
Asked: 2019-05-31
Answer
The anti-USP19 antibody (A05870-1) has not been validated for cross reactivity specifically with horse tissues, though there is a good chance of cross reactivity. We have an innovator award program that if you test this antibody and show it works in horse you can get your next antibody for free. Please contact me if I can help you with anything.
Boster Scientific Support
Answered: 2019-05-31
Question
Can you help my question with product A05870-1, anti-USP19 antibody. I was wondering if it would be possible to conjugate this antibody with biotin. I would need it to be without BSA or sodium azide. I am planning on using a buffer exchange of sodium azide with PBS only. Would there be problems for me to conjugate the antibody and store it in -20 degrees in small aliquots?
Verified Customer
Verified customer
Asked: 2018-10-30
Answer
We do not recommend storing this antibody with PBS buffer only in -20 degrees. If you want to store it in -20 degrees it is best to add some cryoprotectant like glycerol. If you want carrier free A05870-1 anti-USP19 antibody, we can provide it to you in a special formula with trehalose and/or glycerol. These molecules will not interfere with conjugation chemistry and provide a good level of protection for the antibody from degradation. Please be sure to specify this in your purchase order.
Boster Scientific Support
Answered: 2018-10-30

