This website uses cookies to ensure you get the best experience on our website.
- Table of Contents
3 Q&As
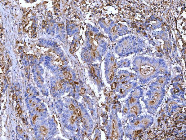
Facts about Complement decay-accelerating factor.
Inhibits complement activation by destabilizing and preventing the formation of C3 and C5 convertases, which prevents match damage (PubMed:28657829). .
| Human | |
|---|---|
| Gene Name: | CD55 |
| Uniprot: | P08174 |
| Entrez: | 1604 |

| Belongs to: |
|---|
| receptors of complement activation (RCA) family |

CD55 antigen; CD55 molecule, decay accelerating factor for complement (Cromer blood group); CD55; CR; CRdecay accelerating factor for complement (CD55, Cromer blood group system); CROMDAFcomplement decay-accelerating factor; DAF; decay accelerating factor for complement; TC
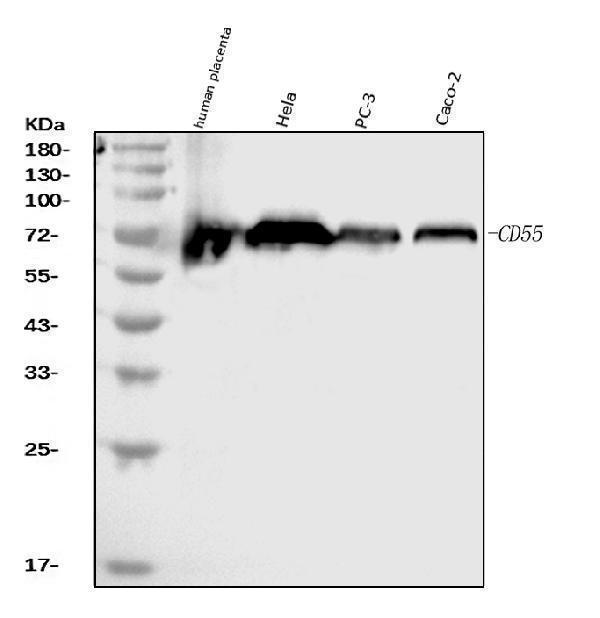
Mass (kDA):
41.4 kDA

| Human | |
|---|---|
| Location: | 1q32.2 |
| Sequence: | 1; NC_000001.11 (207321674..207360966) |
Expressed on the plasma membranes of all cell types that are in intimate contact with plasma complement proteins. It is also found on the surfaces of epithelial cells lining extracellular compartments, and variants of the molecule are present in body fluids and in extracellular matrix.
[Isoform 1]: Cell membrane; Single-pass type I membrane protein.; [Isoform 2]: Cell membrane; Lipid-anchor, GPI-anchor.; [Isoform 3]: Secreted.; [Isoform 4]: Secreted.; [Isoform 5]: Secreted.; [Isoform 6]: Cell membrane; Lipid-anchor, GPI-anchor.; [Isoform 7]: Cell membrane; Lipid-anchor, GPI-anchor.




PMID: 2433596 by Caras I.W., et al. Cloning of decay-accelerating factor suggests novel use of splicing to generate two proteins.
PMID: 16503113 by Osuka F., et al. Molecular cloning and characterization of novel splicing variants of human decay-accelerating factor.