This website uses cookies to ensure you get the best experience on our website.
- Table of Contents
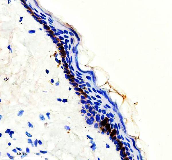
Facts about Keratin, type I cytoskeletal 9.
.
| Human | |
|---|---|
| Gene Name: | KRT9 |
| Uniprot: | P35527 |
| Entrez: | 3857 |

| Belongs to: |
|---|
| intermediate filament family |

cytokeratin-9; EPPK; keratin 9; keratin, type I cytoskeletal 9
Mass (kDA):
62.064 kDA

| Human | |
|---|---|
| Location: | 17q21.2 |
| Sequence: | 17; NC_000017.11 (41565836..41572059, complement) |
Expressed in the terminally differentiated epidermis of palms and soles.



PMID: 7507869 by Langbein L., et al. Molecular characterization of the body site-specific human epidermal cytokeratin 9: cDNA cloning, amino acid sequence, and tissue specificity of gene expression.
PMID: 7512862 by Reis A., et al. Keratin 9 gene mutations in epidermolytic palmoplantar keratoderma (EPPK).