This website uses cookies to ensure you get the best experience on our website.
- Table of Contents
1 Citations 3 Q&As
1 Citations
Facts about NADPH oxidase 5.
May play a role in cell growth and apoptosis. Isoform v2 and isoform v5 are involved in endothelial production of reactive oxygen species (ROS), proliferation and angiogenesis and contribute to endothelial response to thrombin.
| Human | |
|---|---|
| Gene Name: | NOX5 |
| Uniprot: | Q96PH1 |
| Entrez: | 79400 |

| Belongs to: |
|---|
| No superfamily |

EC 1.6.3.-; MGC149776; MGC149777; NADPH oxidase 5; NADPH oxidase, EF-hand calcium binding domain 5; NOX5A; NOX5B
Mass (kDA):
86.439 kDA

| Human | |
|---|---|
| Location: | 15q23 |
| Sequence: | 15; NC_000015.10 (68930525..69062762) |
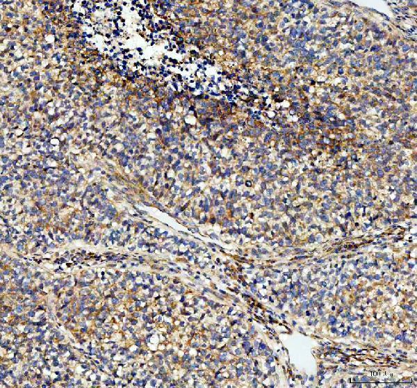
Mainly expressed in pachytene spermatocytes of testis and in lymphocyte-rich areas of spleen and lymph nodes. Isoform v1 is expressed in spleen. Isoform v2 is expressed in testis. Also detected in ovary, placenta, pancreas, cardiac fibroblasts. Expressed in B-cells and prostate malignant cells. Isoform v1 and isoform v3 are expressed in epithelial colorectal adenocarcinoma cells. Isoform v2 and isoform v4 are expressed in endothelial cells. Isoform v1, isoform v2, isoform v3 and isoform v4 are expressed in pulmonary artery smooth muscle cells. Isoform v2 and isoform v5 are expressed in microvascular endothelial cells (at protein level).
Membrane; Multi-pass membrane protein.; [Isoform v2]: Endoplasmic reticulum.; [Isoform v5]: Endoplasmic reticulum.




PMID: 11483596 by Banfi B., et al. A Ca(2+)-activated NADPH oxidase in testis, spleen, and lymph nodes.
PMID: 15994299 by Kawahara T., et al. Point mutations in the proline-rich region of p22phox are dominant inhibitors of Nox1- and Nox2-dependent reactive oxygen generation.
*More publications can be found for each product on its corresponding product page