This website uses cookies to ensure you get the best experience on our website.
- Table of Contents
1 Citations
1 Citations 7 Q&As
Facts about Protein/nucleic acid deglycase DJ-1.
Deglycates cysteine, arginine and lysine residues in proteins, and thus reactivates these proteins by reversing glycation by glyoxals. Acts on early glycation intermediates (hemithioacetals and aminocarbinols), preventing the formation of advanced glycation endproducts (AGE) that cause irreversible damage (PubMed:25416785, PubMed:28013050, PubMed:26995087).
| Human | |
|---|---|
| Gene Name: | PARK7 |
| Uniprot: | Q99497 |
| Entrez: | 11315 |

| Belongs to: |
|---|
| peptidase C56 family |

DJ1; DJ-1; DJ1FLJ34360; EC 3.4; FLJ27376; FLJ92274; Oncogene DJ1; Park7; Parkinson disease (autosomal recessive, early onset) 7; Parkinson disease protein 7; protein DJ-1
Mass (kDA):
19.891 kDA

| Human | |
|---|---|
| Location: | 1p36.23 |
| Sequence: | 1; NC_000001.11 (7961654..7985505) |
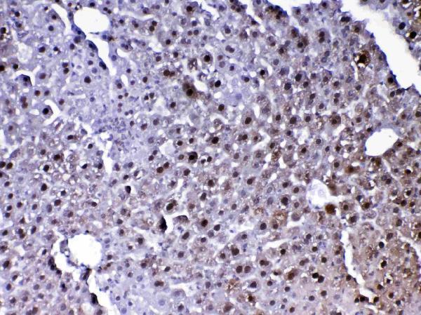
Highly expressed in pancreas, kidney, skeletal muscle, liver, testis and heart. Detected at slightly lower levels in placenta and brain (at protein level). Detected in astrocytes, Sertoli cells, spermatogonia, spermatids and spermatozoa. Expressed by pancreatic islets at higher levels than surrounding exocrine tissues (PubMed:22611253).
Cell membrane; Lipid-anchor. Cytoplasm. Nucleus. Membrane raft. Mitochondrion. Endoplasmic reticulum. Under normal conditions, located predominantly in the cytoplasm and, to a lesser extent, in the nucleus and mitochondrion. Translocates to the mitochondrion and subsequently to the nucleus in response to oxidative stress and exerts an increased cytoprotective effect against oxidative damage (PubMed:18711745). Detected in tau inclusions in brains from neurodegenerative disease patients (PubMed:14705119). Membrane raft localization in astrocytes and neuronal cells requires palmitoylation.






PMID: 9070310 by Nagakubo D., et al. DJ-1, a novel oncogene which transforms mouse NIH3T3 cells in cooperation with ras.
PMID: 11223268 by Taira T., et al. Molecular cloning of human and mouse DJ-1 genes and identification of Sp1-dependent activation of the human DJ-1 promoter.