This website uses cookies to ensure you get the best experience on our website.
- Table of Contents
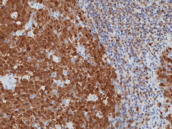
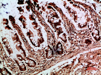
Facts about POU domain class 2-associating factor 1.
It has no intrinsic DNA-binding activity. It admits the POU domains of OCT1 and OCT2.
| Human | |
|---|---|
| Gene Name: | POU2AF1 |
| Uniprot: | Q16633 |
| Entrez: | 5450 |

| Belongs to: |
|---|
| POU2AF1 family |

B-cell-specific coactivator OBF-1; BOB-1; OBF-1; OBF1BOB1; OCAB; OCA-B; OCT-binding factor 1; POU class 2 associating factor 1; POU domain class 2, associating factor 1; POU domain class 2-associating factor 1; POU domain, class 2, associating factor 1
Mass (kDA):
27.436 kDA

| Human | |
|---|---|
| Location: | 11q23.1 |
| Sequence: | 11; NC_000011.10 (111352251..111379671, complement) |
B-cell specific.
Nucleus.





PMID: 7859290 by Strubin M., et al. OBF-1, a novel B cell-specific coactivator that stimulates immunoglobulin promoter activity through association with octamer- binding proteins.
PMID: 7779176 by Gstaiger M., et al. A B-cell coactivator of octamer-binding transcription factors.