This website uses cookies to ensure you get the best experience on our website.
- Table of Contents

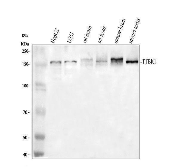
Facts about Tau-tubulin kinase 1.
.
| Human | |
|---|---|
| Gene Name: | TTBK1 |
| Uniprot: | Q5TCY1 |
| Entrez: | 84630 |

| Belongs to: |
|---|
| protein kinase superfamily |

BDTK; Brain-derived tau kinase; EC 2.7.11; EC 2.7.11.1; KIAA1855tau-tubulin kinase 1; RP3-330M21.4; tau tubulin kinase 1
Mass (kDA):
142.737 kDA

| Human | |
|---|---|
| Location: | 6p21.1 |
| Sequence: | 6; NC_000006.12 (43243481..43288259) |
Expressed in the brain, particularly in cortical and hippocampal neurons. Weakly expressed in spinal cord and testis. No expression in adipose tissue, bladder, cervix, colon, esophagus, heart, kidney, liver, lung, ovary, placenta, prostate, skeletal muscle, small intestine, spleen, testis, thymus, thyroid or trachea.
Cytoplasm.





PMID: 16923168 by Sato S., et al. Tau-tubulin kinase 1 (TTBK1), a neuron-specific tau kinase candidate, is involved in tau phosphorylation and aggregation.