Product Info Summary
| SKU: | A06153-1 |
|---|---|
| Size: | 100 μg/vial |
| Reactive Species: | Human, Monkey, Mouse, Rat |
| Host: | Rabbit |
| Application: | ELISA, Flow Cytometry, IF, IHC, ICC, WB |
Customers Who Bought This Also Bought
Product info
Product Name
Anti-ANAPC2 Antibody Picoband®
SKU/Catalog Number
A06153-1
Size
100 μg/vial
Form
Lyophilized
Description
Boster Bio Anti-ANAPC2 Antibody Picoband® catalog # A06153-1. Tested in ELISA, Flow Cytometry, IF, IHC, ICC, WB applications. This antibody reacts with Human, Monkey, Mouse, Rat. The brand Picoband indicates this is a premium antibody that guarantees superior quality, high affinity, and strong signals with minimal background in Western blot applications. Only our best-performing antibodies are designated as Picoband, ensuring unmatched performance.
Storage & Handling
Store at -20˚C for one year from date of receipt. After reconstitution, at 4˚C for one month. It can also be aliquotted and stored frozen at -20˚C for six months. Avoid repeated freeze-thaw cycles.
Cite This Product
Anti-ANAPC2 Antibody Picoband® (Boster Biological Technology, Pleasanton CA, USA, Catalog # A06153-1)
Host
Rabbit
Contents
Each vial contains 4mg Trehalose, 0.9mg NaCl and 0.2mg Na2HPO4.
Clonality
Polyclonal
Isotype
Rabbit IgG
Immunogen
E.coli-derived human ANAPC2 recombinant protein (Position: K51-R272).
Cross-reactivity
No cross-reactivity with other proteins.
Reactive Species
A06153-1 is reactive to ANAPC2 in Human, Monkey, Mouse, Rat
Observed Molecular Weight
110 kDa
Calculated molecular weight
93.8 kDa
Background of ANAPC2
Anaphase-promoting complex subunit 2 is an enzyme that in humans is encoded by the ANAPC2 gene. A large protein complex, termed the anaphase-promoting complex (APC), or the cyclosome, promotes metaphase-anaphase transition by ubiquitinating its specific substrates such as mitotic cyclins and anaphase inhibitor, which are subsequently degraded by the 26S proteasome. Biochemical studies have shown that the vertebrate APC contains eight subunits. The composition of the APC is highly conserved in organisms from yeast to humans. The product of this gene is a component of the complex and shares sequence similarity with a recently identified family of proteins called cullins, which may also be involved in ubiquitin-mediated degradation.
Antibody Validation
Boster validates all antibodies on WB, IHC, ICC, Immunofluorescence, and ELISA with known positive control and negative samples to ensure specificity and high affinity, including thorough antibody incubations.
Application & Images
Applications
A06153-1 is guaranteed for ELISA, Flow Cytometry, IF, IHC, ICC, WB Boster Guarantee
Assay Dilutions Recommendation
The recommendations below provide a starting point for assay optimization. The actual working concentration varies and should be decided by the user.
Western blot, 0.25-0.5μg/ml, Human, Mouse, Rat, Monkey
Immunohistochemistry (Paraffin-embedded Section), 2-5μg/ml, Human
Immunocytochemistry/Immunofluorescence, 5μg/ml, Human
Flow Cytometry (Fixed), 1-3μg/1x106 cells, Human
ELISA, 0.1-0.5μg/ml, -
Positive Control
WB: human HEK293 whole cell, human Jurkat whole cell, human HEPG2 whole cell, human HELA whole cell, monkey COS-7 whole cell, human A549 whole cell, human PC-3 whole cell, rat stomach tissue, rat testis tissue, rat lung tissue, rat PC-12 whole cell, mouse stomach tissue, mouse lung tissue, mouse RAW2647 whole cell
IHC: human rectal cancer tissue
ICC/IF: A431 cell
FCM: THP-1 cell
Validation Images & Assay Conditions
Click image to see more details
Western blot analysis of ANAPC2 using anti-ANAPC2 antibody (A06153-1).
Electrophoresis was performed on a 5-20% SDS-PAGE gel at 70V (Stacking gel) / 90V (Resolving gel) for 2-3 hours. The sample well of each lane was loaded with 50ug of sample under reducing conditions.
Lane 1: human HEK293 whole cell lysates,
Lane 2: human Jurkat whole cell lysates,
Lane 3: human HEPG2 whole cell lysates,
Lane 4: human HELA whole cell lysates,
Lane 5: monkey COS-7 whole cell lysates,
Lane 6: human A549 whole cell lysates,
Lane 7: human PC-3 whole cell lysates,
Lane 8: rat stomach tissue lysates,
Lane 9: rat testis tissue lysates,
Lane 10: rat lung tissue lysates,
Lane 11: rat PC-12 whole cell lysates,
Lane 12: mouse stomach tissue lysates,
Lane 13: mouse lung tissue lysates,
Lane 14: mouse RAW264.7 whole cell lysates.
After Electrophoresis, proteins were transferred to a Nitrocellulose membrane at 150mA for 50-90 minutes. Blocked the membrane with 5% Non-fat Milk/ TBS for 1.5 hour at RT. The membrane was incubated with rabbit anti-ANAPC2 antigen affinity purified polyclonal antibody (Catalog # A06153-1) at 0.5 μg/mL overnight at 4°C, then washed with TBS-0.1%Tween 3 times with 5 minutes each and probed with a goat anti-rabbit IgG-HRP secondary antibody at a dilution of 1:5000 for 1.5 hour at RT. The signal is developed using an Enhanced Chemiluminescent detection (ECL) kit (Catalog # EK1002) with Tanon 5200 system. A specific band was detected for ANAPC2 at approximately 110KD. The expected band size for ANAPC2 is at 94KD.
Click image to see more details
IF analysis of ANAPC2 using anti-ANAPC2 antibody (A06153-1).
ANAPC2 was detected in immunocytochemical section of A431 cells. Enzyme antigen retrieval was performed using IHC enzyme antigen retrieval reagent (AR0022) for 15 mins. The cells were blocked with 10% goat serum. And then incubated with 5μg/mL rabbit anti-ANAPC2 Antibody (A06153-1) overnight at 4°C. DyLight®488 Conjugated Goat Anti-Rabbit IgG (BA1127) was used as secondary antibody at 1:100 dilution and incubated for 30 minutes at 37°C. The section was counterstained with DAPI. Visualize using a fluorescence microscope and filter sets appropriate for the label used.
Click image to see more details
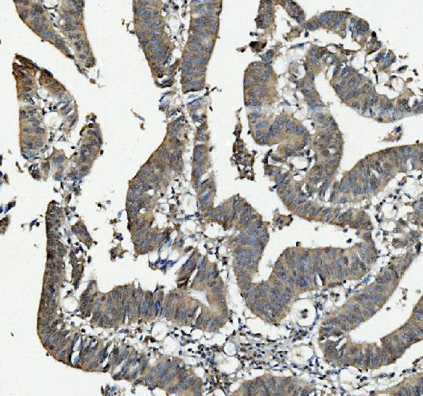
IHC analysis of ANAPC2 using anti-ANAPC2 antibody (A06153-1).
ANAPC2 was detected in paraffin-embedded section of human rectal cancer tissue. Heat mediated antigen retrieval was performed in EDTA buffer (pH8.0, epitope retrieval solution). The tissue section was blocked with 10% goat serum. The tissue section was then incubated with 2μg/ml rabbit anti-ANAPC2 Antibody (A06153-1) overnight at 4°C. Biotinylated goat anti-rabbit IgG was used as secondary antibody and incubated for 30 minutes at 37°C. The tissue section was developed using Strepavidin-Biotin-Complex (SABC) (Catalog # SA1022) with DAB as the chromogen.
Click image to see more details
Flow Cytometry analysis of THP-1 cells using anti-ANAPC2 antibody (A06153-1).
Overlay histogram showing THP-1 cells stained with A06153-1 (Blue line). To facilitate intracellular staining, cells were fixed with 4% paraformaldehyde and permeabilized with permeabilization buffer. The cells were blocked with 10% normal goat serum. And then incubated with rabbit anti-ANAPC2 Antibody (A06153-1, 1μg/1x106 cells) for 30 min at 20°C. DyLight®488 conjugated goat anti-rabbit IgG (BA1127, 5-10μg/1x106 cells) was used as secondary antibody for 30 minutes at 20°C. Isotype control antibody (Green line) was rabbit IgG (1μg/1x106) used under the same conditions. Unlabelled sample without incubation with primary antibody and secondary antibody (Red line) was used as a blank control.
Specific Publications For Anti-ANAPC2 Antibody Picoband® (A06153-1)
Loading publications
Recommended Resources
Here are featured tools and databases that you might find useful.
- Boster's Pathways Library
- Protein Databases
- Bioscience Research Protocol Resources
- Data Processing & Analysis Software
- Photo Editing Software
- Scientific Literature Resources
- Research Paper Management Tools
- Molecular Biology Software
- Primer Design Tools
- Bioinformatics Tools
- Phylogenetic Tree Analysis
Customer Reviews
Have you used Anti-ANAPC2 Antibody Picoband®?
Share your experimental results or join a short interview to earn up to $1,000 in product credits or other rewards.
0 Reviews For Anti-ANAPC2 Antibody Picoband®
Customer Q&As
Have a question?
Find answers in Q&As, reviews.
Can't find your answer?
Submit your question


