Product Info Summary
| SKU: | A03471-1 |
|---|---|
| Size: | 100ul |
| Reactive Species: | Human, Mouse, Rat |
| Host: | Rabbit |
| Application: | IF, IHC, WB |
Customers Who Bought This Also Bought
Product info
Product Name
Anti-APC1 (E684) ANAPC1 Antibody
SKU/Catalog Number
A03471-1
Size
100ul
Form
Liquid
Description
Boster Bio Anti-APC1 (E684) ANAPC1 Antibody catalog # A03471-1. Tested in WB,IHC,IF applications. This antibody reacts with Human,Mouse,Rat.
Storage & Handling
Store at -20°C for one year. For short term storage and frequent use, store at 4°C for up to one month. Avoid repeated freeze-thaw cycles.
Cite This Product
Anti-APC1 (E684) ANAPC1 Antibody (Boster Biological Technology, Pleasanton CA, USA, Catalog # A03471-1)
Host
Rabbit
Contents
Rabbit IgG, 1mg/ml in PBS with 0.02% sodium azide, 50% glycerol, pH7.2
Clonality
Polyclonal
Isotype
IgG
Immunogen
Synthetic peptide, corresponding to amino acids 650-698 of Human APC1.
Reactive Species
A03471-1 is reactive to ANAPC1 in Human, Mouse, Rat
Calculated molecular weight
216.5 kDa
Antibody Validation
Boster validates all antibodies on WB, IHC, ICC, Immunofluorescence, and ELISA with known positive control and negative samples to ensure specificity and high affinity, including thorough antibody incubations.
Application & Images
Applications
A03471-1 is guaranteed for IF, IHC, WB Boster Guarantee
Assay Dilutions Recommendation
The recommendations below provide a starting point for assay optimization. The actual working concentration varies and should be decided by the user.
WB: 1:500-1:1000
IHC: 1:50-1:200
IF: 1:50-1:200
Validation Images & Assay Conditions
Click image to see more details
Western blot (WB) analysis of APC1 (E684) polyclonal antibody at 1:500 dilution Lane1:A549 whole cell lysate(40ug) Lane2:SGC7901 whole cell lysate(40ug) Lane3:BV2 whole cell lysate(40ug) Lane4:HCT116 whole cell lysate(40ug) Lane5:PC12 whole cell lysate(40ug)
Click image to see more details
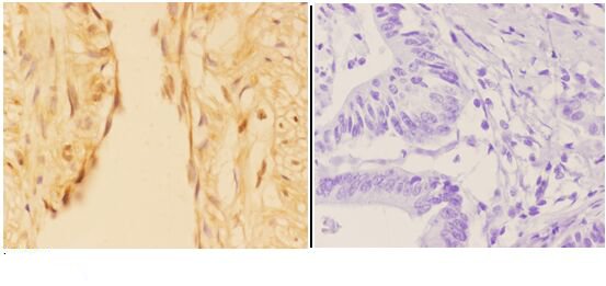
Immunohistochemistry (IHC) analyzes of APC1 (E684) pAb in paraffin-embedded human colon carcinoma tissue at 1:50,showing cytoplasm and nuclear staining.Negative control (the right)Using PBS instead of primary antibody, secondary antibody is Goat Anti-Rabbit IgG-biotin followed by avidin-peroxidase.
Specific Publications For Anti-APC1 (E684) ANAPC1 Antibody (A03471-1)
Loading publications
Recommended Resources
Here are featured tools and databases that you might find useful.
- Boster's Pathways Library
- Protein Databases
- Bioscience Research Protocol Resources
- Data Processing & Analysis Software
- Photo Editing Software
- Scientific Literature Resources
- Research Paper Management Tools
- Molecular Biology Software
- Primer Design Tools
- Bioinformatics Tools
- Phylogenetic Tree Analysis
Customer Reviews
Have you used Anti-APC1 (E684) ANAPC1 Antibody?
Share your experimental results or join a short interview to earn up to $1,000 in product credits or other rewards.
0 Reviews For Anti-APC1 (E684) ANAPC1 Antibody
Customer Q&As
Have a question?
Find answers in Q&As, reviews.
Can't find your answer?
Submit your question

