Product Info Summary
| SKU: | A13706 |
|---|---|
| Size: | 100μl |
| Reactive Species: | Human, Mouse |
| Host: | Rabbit |
| Application: | ELISA, IF, IHC, WB |
Customers Who Bought This Also Bought
Product info
Product Name
Anti-CEP78 Antibody
SKU/Catalog Number
A13706
Size
100μl
Form
Liquid
Description
Boster Bio Anti-CEP78 Antibody catalog # A13706. Tested in WB, IHC, IF, ELISA applications. This antibody reacts with Human, Mouse.
Storage & Handling
Store at -20°C for one year. For short term storage and frequent use, store at 4°C for up to one month. Avoid repeated freeze-thaw cycles.
Cite This Product
Anti-CEP78 Antibody (Boster Biological Technology, Pleasanton CA, USA, Catalog # A13706)
Host
Rabbit
Contents
Liquid in PBS containing 50% glycerol, 0.5% stabilizing protein and 0.02% sodium azide.
This antibody is supplied in a stabilized formulation.
Compatibility with conjugation reactions depends on the chemistry of the conjugation method used.
For conjugation methods that are not compatible with the stabilizing components present in this formulation, a carrier-free antibody format is required.
Clonality
Polyclonal
Isotype
IgG
Immunogen
The antiserum was produced against synthesized peptide derived from human CEP78. AA range:301-350
Reactive Species
A13706 is reactive to CEP78 in Human, Mouse
Calculated molecular weight
76.4 kDa
Antibody Validation
Boster validates all antibodies on WB, IHC, ICC, Immunofluorescence, and ELISA with known positive control and negative samples to ensure specificity and high affinity, including thorough antibody incubations.
Application & Images
Applications
A13706 is guaranteed for ELISA, IF, IHC, WB Boster Guarantee
Assay Dilutions Recommendation
The recommendations below provide a starting point for assay optimization. The actual working concentration varies and should be decided by the user.
WB 1:500-1:2000
IHC 1:100-1:300
ELISA 1:20000
IF 1:50-200
Validation Images & Assay Conditions
Click image to see more details
Western Blot analysis of various cells using CEP78 Polyclonal Antibody
Click image to see more details
Western blot analysis of lysates from HeLa cells, using CEP78 Antibody. The lane on the right is blocked with the synthesized peptide.
Click image to see more details
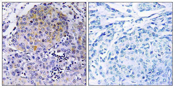
Immunohistochemistry analysis of paraffin-embedded human breast carcinoma tissue, using CEP78 Antibody. The picture on the right is blocked with the synthesized peptide.
Specific Publications For Anti-CEP78 Antibody (A13706)
Loading publications
Recommended Resources
Here are featured tools and databases that you might find useful.
- Boster's Pathways Library
- Protein Databases
- Bioscience Research Protocol Resources
- Data Processing & Analysis Software
- Photo Editing Software
- Scientific Literature Resources
- Research Paper Management Tools
- Molecular Biology Software
- Primer Design Tools
- Bioinformatics Tools
- Phylogenetic Tree Analysis
Customer Reviews
Have you used Anti-CEP78 Antibody?
Share your experimental results or join a short interview to earn up to $1,000 in product credits or other rewards.
0 Reviews For Anti-CEP78 Antibody
Customer Q&As
Have a question?
Find answers in Q&As, reviews.
Can't find your answer?
Submit your question
5 Customer Q&As for Anti-CEP78 Antibody
Question
I appreciate helping with my inquiry over the phone. Here are the WB image, lot number and protocol we used for cervix carcinoma erythroleukemia using anti-CEP78 antibody A13706. Let me know if you need anything else.
Verified Customer
Verified customer
Asked: 2020-03-20
Answer
I appreciate the data. You have provided everything we needed. Our lab team are working to resolve your inquiry as quickly as possible, and we appreciate your patience and understanding! Please let me know if there is anything you need in the meantime.
Boster Scientific Support
Answered: 2020-03-20
Question
We are currently using anti-CEP78 antibody A13706 for human tissue, and we are happy with the WB results. The species of reactivity given in the datasheet says human, mouse. Is it likely that the antibody can work on monkey tissues as well?
Verified Customer
Verified customer
Asked: 2019-08-08
Answer
The anti-CEP78 antibody (A13706) has not been tested for cross reactivity specifically with monkey tissues, though there is a good chance of cross reactivity. We have an innovator award program that if you test this antibody and show it works in monkey you can get your next antibody for free. Please contact me if I can help you with anything.
Boster Scientific Support
Answered: 2019-08-08
Question
Will A13706 anti-CEP78 antibody work on parafin embedded sections? If so, which fixation method do you recommend we use (PFA, paraformaldehyde, other)?
S. Li
Verified customer
Asked: 2019-07-03
Answer
You can see on the product datasheet, A13706 anti-CEP78 antibody as been tested on WB. It is best to use PFA for fixation because it has better tissue penetration ability. PFA needs to be prepared fresh before use. Long term stored PFA turns into formalin, as the PFA molecules congregate and become formalin.
Boster Scientific Support
Answered: 2019-07-03
Question
My question regarding product A13706, anti-CEP78 antibody. I was wondering if it would be possible to conjugate this antibody with biotin. I would need it to be without BSA or sodium azide. I am planning on using a buffer exchange of sodium azide with PBS only. Would there be problems for me to conjugate the antibody and store it in -20 degrees in small aliquots?
Verified Customer
Verified customer
Asked: 2018-12-20
Answer
We do not recommend storing this antibody with PBS buffer only in -20 degrees. If you want to store it in -20 degrees it is best to add some cryoprotectant like glycerol. If you want carrier free A13706 anti-CEP78 antibody, we can provide it to you in a special formula with trehalose and/or glycerol. These molecules will not interfere with conjugation chemistry and provide a good level of protection for the antibody from degradation. Please be sure to specify this in your purchase order.
Boster Scientific Support
Answered: 2018-12-20
Question
Is a blocking peptide available for product anti-CEP78 antibody (A13706)?
H. Taylor
Verified customer
Asked: 2017-02-09
Answer
We do provide the blocking peptide for product anti-CEP78 antibody (A13706). If you would like to place an order for it please contact support@bosterbio.com and make a special request.
Boster Scientific Support
Answered: 2017-02-09

