Product Info Summary
| SKU: | A00830-1 |
|---|---|
| Size: | 100 μg/vial |
| Reactive Species: | Human, Monkey, Mouse, Rat, Zebrafish |
| Host: | Rabbit |
| Application: | ELISA, IHC, WB |
Customers Who Bought This Also Bought
Product info
Product Name
Anti-EEF2 Antibody Picoband®
SKU/Catalog Number
A00830-1
Size
100 μg/vial
Form
Lyophilized
Description
Boster Bio Anti-EEF2 Antibody Picoband® catalog # A00830-1. Tested in ELISA, IHC, WB applications. This antibody reacts with Human, Monkey, Mouse, Rat, Zebrafish. The brand Picoband indicates this is a premium antibody that guarantees superior quality, high affinity, and strong signals with minimal background in Western blot applications. Only our best-performing antibodies are designated as Picoband, ensuring unmatched performance.
Storage & Handling
Store at -20˚C for one year from date of receipt. After reconstitution, at 4˚C for one month. It can also be aliquotted and stored frozen at -20˚C for six months. Avoid repeated freeze-thaw cycles.
Cite This Product
Anti-EEF2 Antibody Picoband® (Boster Biological Technology, Pleasanton CA, USA, Catalog # A00830-1)
Host
Rabbit
Contents
Each vial contains 4 mg Trehalose, 0.9 mg NaCl and 0.2 mg Na2HPO4.
Clonality
Polyclonal
Isotype
Rabbit IgG
Immunogen
E.coli-derived human EEF2 recombinant protein (Position: M1-L858).
Cross-reactivity
No cross-reactivity with other proteins
Reactive Species
A00830-1 is reactive to EEF2 in Human, Monkey, Mouse, Rat, Zebrafish
Observed Molecular Weight
95 kDa
Calculated molecular weight
95.3 kDa
Background of EEF2
Eukaryotic elongation factor 2 is a protein that in humans is encoded by the EEF2 gene. This gene encodes a member of the GTP-binding translation elongation factor family. This protein is an essential factor for protein synthesis. It promotes the GTP-dependent translocation of the nascent protein chain from the A-site to the P-site of the ribosome. This protein is completely inactivated by EF-2 kinase phosporylation.
Antibody Validation
Boster validates all antibodies on WB, IHC, ICC, Immunofluorescence, and ELISA with known positive control and negative samples to ensure specificity and high affinity, including thorough antibody incubations.
Application & Images
Applications
A00830-1 is guaranteed for ELISA, IHC, WB Boster Guarantee
Assay Dilutions Recommendation
The recommendations below provide a starting point for assay optimization. The actual working concentration varies and should be decided by the user.
Western blot, 0.1-0.25μg/ml, Human, Monkey, Mouse, Rat, Zebrafish
Immunohistochemistry (Paraffin-embedded Section), 2-5μg/ml, Human, Mouse, Rat
ELISA, 0.1-0.5μg/ml, -
Positive Control
WB: human Jurkat whole cell, monkey COS-7 whole cell, human Hela whole cell, human 293T whole cell, human HepG2 whole cell, human Daudi whole cell, human MCF-7 whole cell, zebrafish tissue, rat stomach tissue, rat pancrease tissue, rat C6 whole cell, mouse pancrease tissue, mouse 3T3L1 whole cell
IHC: human breast cancer tissue, human laryngeal squamous cell carcinoma tissue, human lymphoma tissue, human renal cancer tissue, mouse ovary tissue, rat ovary tissue
Validation Images & Assay Conditions
Click image to see more details
Western blot analysis of EEF2 using anti-EEF2 antibody (A00830-1).
Electrophoresis was performed on a 5-20% SDS-PAGE gel at 70V (Stacking gel) / 90V (Resolving gel) for 2-3 hours. The sample well of each lane was loaded with 30 ug of sample under reducing conditions.
Lane 1: human Jurkat whole cell lysates,
Lane 2: monkey COS-7 whole cell lysates,
Lane 3: human Hela whole cell lysates,
Lane 4: human 293T whole cell lysates,
Lane 5: human HepG2 whole cell lysates,
Lane 6: human Daudi whole cell lysates,
Lane 7: human MCF-7 whole cell lysates,
Lane 8: zebrafish tissue lysates,
Lane 9: rat stomach tissue lysates,
Lane 10: rat pancrease tissue lysates,
Lane 11: rat C6 whole cell lysates,
Lane 12: mouse pancrease tissue lysates,
Lane 13: mouse 3T3L1 whole cell lysates.
After electrophoresis, proteins were transferred to a nitrocellulose membrane at 150 mA for 50-90 minutes. Blocked the membrane with 5% non-fat milk/TBS for 1.5 hour at RT. The membrane was incubated with rabbit anti-EEF2 antigen affinity purified polyclonal antibody (Catalog # A00830-1) at 0.25 μg/mL overnight at 4°C, then washed with TBS-0.1%Tween 3 times with 5 minutes each and probed with a goat anti-rabbit IgG-HRP secondary antibody at a dilution of 1:5000 for 1.5 hour at RT. The signal is developed using an Enhanced Chemiluminescent detection (ECL) kit (Catalog # EK1002) with Tanon 5200 system. A specific band was detected for EEF2 at approximately 95 kDa. The expected band size for EEF2 is at 95 kDa.
Click image to see more details
IHC analysis of EEF2 using anti-EEF2 antibody (A00830-1).
EEF2 was detected in a paraffin-embedded section of human breast cancer tissue. Heat mediated antigen retrieval was performed in EDTA buffer (pH 8.0, epitope retrieval solution). The tissue section was blocked with 10% goat serum. The tissue section was then incubated with 2 μg/ml rabbit anti-EEF2 Antibody (A00830-1) overnight at 4°C. Peroxidase Conjugated Goat Anti-rabbit IgG was used as secondary antibody and incubated for 30 minutes at 37°C. The tissue section was developed using HRP Conjugated Rabbit IgG Super Vision Assay Kit (Catalog # SV0002) with DAB as the chromogen.
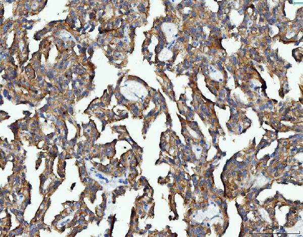
Click image to see more details
IHC analysis of EEF2 using anti-EEF2 antibody (A00830-1).
EEF2 was detected in a paraffin-embedded section of human laryngeal squamous cell carcinoma tissue. Heat mediated antigen retrieval was performed in EDTA buffer (pH 8.0, epitope retrieval solution). The tissue section was blocked with 10% goat serum. The tissue section was then incubated with 2 μg/ml rabbit anti-EEF2 Antibody (A00830-1) overnight at 4°C. Peroxidase Conjugated Goat Anti-rabbit IgG was used as secondary antibody and incubated for 30 minutes at 37°C. The tissue section was developed using HRP Conjugated Rabbit IgG Super Vision Assay Kit (Catalog # SV0002) with DAB as the chromogen.
Click image to see more details
IHC analysis of EEF2 using anti-EEF2 antibody (A00830-1).
EEF2 was detected in a paraffin-embedded section of human lymphoma tissue. Heat mediated antigen retrieval was performed in EDTA buffer (pH 8.0, epitope retrieval solution). The tissue section was blocked with 10% goat serum. The tissue section was then incubated with 2 μg/ml rabbit anti-EEF2 Antibody (A00830-1) overnight at 4°C. Peroxidase Conjugated Goat Anti-rabbit IgG was used as secondary antibody and incubated for 30 minutes at 37°C. The tissue section was developed using HRP Conjugated Rabbit IgG Super Vision Assay Kit (Catalog # SV0002) with DAB as the chromogen.
Click image to see more details
IHC analysis of EEF2 using anti-EEF2 antibody (A00830-1).
EEF2 was detected in a paraffin-embedded section of human renal cancer tissue. Heat mediated antigen retrieval was performed in EDTA buffer (pH 8.0, epitope retrieval solution). The tissue section was blocked with 10% goat serum. The tissue section was then incubated with 2 μg/ml rabbit anti-EEF2 Antibody (A00830-1) overnight at 4°C. Peroxidase Conjugated Goat Anti-rabbit IgG was used as secondary antibody and incubated for 30 minutes at 37°C. The tissue section was developed using HRP Conjugated Rabbit IgG Super Vision Assay Kit (Catalog # SV0002) with DAB as the chromogen.
Click image to see more details
IHC analysis of EEF2 using anti-EEF2 antibody (A00830-1).
EEF2 was detected in a paraffin-embedded section of mouse ovary tissue. Heat mediated antigen retrieval was performed in EDTA buffer (pH 8.0, epitope retrieval solution). The tissue section was blocked with 10% goat serum. The tissue section was then incubated with 2 μg/ml rabbit anti-EEF2 Antibody (A00830-1) overnight at 4°C. Peroxidase Conjugated Goat Anti-rabbit IgG was used as secondary antibody and incubated for 30 minutes at 37°C. The tissue section was developed using HRP Conjugated Rabbit IgG Super Vision Assay Kit (Catalog # SV0002) with DAB as the chromogen.
Click image to see more details
IHC analysis of EEF2 using anti-EEF2 antibody (A00830-1).
EEF2 was detected in a paraffin-embedded section of rat ovary tissue. Heat mediated antigen retrieval was performed in EDTA buffer (pH 8.0, epitope retrieval solution). The tissue section was blocked with 10% goat serum. The tissue section was then incubated with 2 μg/ml rabbit anti-EEF2 Antibody (A00830-1) overnight at 4°C. Peroxidase Conjugated Goat Anti-rabbit IgG was used as secondary antibody and incubated for 30 minutes at 37°C. The tissue section was developed using HRP Conjugated Rabbit IgG Super Vision Assay Kit (Catalog # SV0002) with DAB as the chromogen.
Specific Publications For Anti-EEF2 Antibody Picoband® (A00830-1)
Loading publications
Recommended Resources
Here are featured tools and databases that you might find useful.
- Boster's Pathways Library
- Protein Databases
- Bioscience Research Protocol Resources
- Data Processing & Analysis Software
- Photo Editing Software
- Scientific Literature Resources
- Research Paper Management Tools
- Molecular Biology Software
- Primer Design Tools
- Bioinformatics Tools
- Phylogenetic Tree Analysis
Customer Reviews
Have you used Anti-EEF2 Antibody Picoband®?
Share your experimental results or join a short interview to earn up to $1,000 in product credits or other rewards.
0 Reviews For Anti-EEF2 Antibody Picoband®
Customer Q&As
Have a question?
Find answers in Q&As, reviews.
Can't find your answer?
Submit your question


