Product Info Summary
| SKU: | A30683 |
|---|---|
| Size: | 100ul |
| Reactive Species: | Human, Mouse |
| Host: | Rabbit |
| Application: | ELISA, IF, IHC, ICC, WB |
Customers Who Bought This Also Bought
Product info
Product Name
Anti-EIF3D Antibody
SKU/Catalog Number
A30683
Size
100ul
Form
Liquid
Description
Boster Bio Anti-EIF3D Antibody (Catalog# A30683). Tested in WB, IHC, ICC, IF, ELISA applications. This antibody reacts with Human, Mouse.
Storage & Handling
Store at -20°C for one year. For short-term storage and frequent use, store at 4°C for up to one month. Avoid repeated freeze-thaw cycles.
Cite This Product
Anti-EIF3D Antibody (Boster Biological Technology, Pleasanton CA, USA, Catalog # A30683)
Host
Rabbit
Contents
PBS containing 50% glycerol, 0.5% stabilizing protein and 0.02% sodium azide.
This antibody is supplied in a stabilized formulation.
Compatibility with conjugation reactions depends on the chemistry of the conjugation method used.
For conjugation methods that are not compatible with the stabilizing components present in this formulation, a carrier-free antibody format is required.
Clonality
Polyclonal
Isotype
Rabbit IgG
Immunogen
A peptide derived from human EIF3D. Immunogen sequence location: 101-150
Reactive Species
A30683 is reactive to EIF3D in Human, Mouse
Observed Molecular Weight
72 kDa
Calculated molecular weight
64.0 kDa
Antibody Validation
Boster validates all antibodies on WB, IHC, ICC, Immunofluorescence, and ELISA with known positive control and negative samples to ensure specificity and high affinity, including thorough antibody incubations.
Application & Images
Applications
A30683 is guaranteed for ELISA, IF, IHC, ICC, WB Boster Guarantee
Assay Dilutions Recommendation
The recommendations below provide a starting point for assay optimization. The actual working concentration varies and should be decided by the user.
WB 1:500 - 1:2000.
IHC 1:100 - 1:300.
ELISA: 1:40000.
ICC/IF 1:50-200
Validation Images & Assay Conditions
Click image to see more details
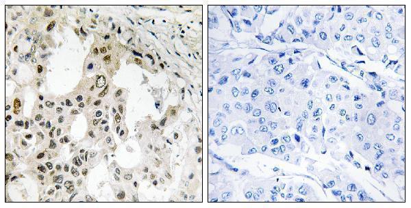
Immunohistochemistry analysis of paraffin-embedded human breast carcinoma tissue, using EIF3D Antibody. The picture on the right is blocked with the synthesized peptide.
Click image to see more details
Western blot analysis of lysates from NIH/3T3 cells, using EIF3D Antibody. The lane on the right is blocked with the synthesized peptide.
Specific Publications For Anti-EIF3D Antibody (A30683)
Loading publications
Recommended Resources
Here are featured tools and databases that you might find useful.
- Boster's Pathways Library
- Protein Databases
- Bioscience Research Protocol Resources
- Data Processing & Analysis Software
- Photo Editing Software
- Scientific Literature Resources
- Research Paper Management Tools
- Molecular Biology Software
- Primer Design Tools
- Bioinformatics Tools
- Phylogenetic Tree Analysis
Customer Reviews
Have you used Anti-EIF3D Antibody?
Share your experimental results or join a short interview to earn up to $1,000 in product credits or other rewards.
0 Reviews For Anti-EIF3D Antibody
Customer Q&As
Have a question?
Find answers in Q&As, reviews.
Can't find your answer?
Submit your question
1 Customer Q&As for Anti-EIF3D Antibody
Question
We are currently using anti-EIF3D antibody A30683 for mouse tissue, and we are well pleased with the WB results. The species of reactivity given in the datasheet says human, mouse. Is it likely that the antibody can work on dog tissues as well?
D. Johnson
Verified customer
Asked: 2016-07-21
Answer
The anti-EIF3D antibody (A30683) has not been validated for cross reactivity specifically with dog tissues, though there is a good chance of cross reactivity. We have an innovator award program that if you test this antibody and show it works in dog you can get your next antibody for free. Please contact me if I can help you with anything.
Boster Scientific Support
Answered: 2016-07-21

