Product Info Summary
| SKU: | M01692 |
|---|---|
| Size: | 100 μl |
| Reactive Species: | Human, Mouse, Rat |
| Host: | Rabbit |
| Application: | IF, IHC, ICC, WB |
Customers Who Bought This Also Bought
Product info
Product Name
Anti-Hsp90 beta HSP90AB1 Rabbit Monoclonal Antibody
SKU/Catalog Number
M01692
BM4191 is an alternative SKU for this antibody, used in previous lots.
Size
100 μl
Form
Liquid
Description
Boster Bio Anti-Hsp90 beta HSP90AB1 Rabbit Monoclonal Antibody catalog # M01692. Tested in WB, IHC, ICC/IF applications. This antibody reacts with Human, Mouse, Rat.
Storage & Handling
Store at -20°C for one year. For short term storage and frequent use, store at 4°C for up to one month. Avoid repeated freeze-thaw cycles.
Cite This Product
Anti-Hsp90 beta HSP90AB1 Rabbit Monoclonal Antibody (Boster Biological Technology, Pleasanton CA, USA, Catalog # M01692)
Host
Rabbit
Contents
Rabbit IgG in stabilizing components, phosphate buffered saline, pH 7.4, 150mM NaCl, 0.02% sodium azide and 50% glycerol.
*This antibody is supplied in a stabilized formulation.
Compatibility with conjugation reactions depends on the chemistry of the conjugation method used.
For conjugation methods that are not compatible with the stabilizing components present in this formulation, a carrier-free antibody format is required.
Clonality
Monoclonal
Clone Number
CCC-8
Isotype
Rabbit IgG
Immunogen
A synthesized peptide derived from human Hsp90 beta
Reactive Species
M01692 is reactive to HSP90AB1 in Human, Mouse, Rat
Observed Molecular Weight
90 kDa
Calculated molecular weight
83.3 kDa
Antibody Validation
Boster validates all antibodies on WB, IHC, ICC, Immunofluorescence, and ELISA with known positive control and negative samples to ensure specificity and high affinity, including thorough antibody incubations.
Application & Images
Applications
M01692 is guaranteed for IF, IHC, ICC, WB Boster Guarantee
Assay Dilutions Recommendation
The recommendations below provide a starting point for assay optimization. The actual working concentration varies and should be decided by the user.
WB 1:500-2000
IHC 1:50-200
ICC/IF 1:50-200
Positive Control
WB: human Hela whole cell, human Raji whole cell, human Jurkat whole cell, human HepG2 whole cell, rat brain tissue, rat heart tissue, mouse brain tissue, mouse heart tissue
IHC: human kidney tissue
Validation Images & Assay Conditions
Click image to see more details
Western blot analysis of HSP90AB1 using anti-HSP90AB1 antibody (M01692).
Electrophoresis was performed on a 5-20% SDS-PAGE gel at 70V (Stacking gel) / 90V (Resolving gel) for 2-3 hours. The sample well of each lane was loaded with 30 ug of sample under reducing conditions.
Lane 1: human Hela whole cell lysates,
Lane 2: human Raji whole cell lysates,
Lane 3: human Jurkat whole cell lysates,
Lane 4: human HepG2 whole cell lysates,
Lane 5: rat brain tissue lysates,
Lane 6: rat heart tissue lysates,
Lane 7: mouse brain tissue lysates,
Lane 8: mouse heart tissue lysates.
After electrophoresis, proteins were transferred to a nitrocellulose membrane at 150 mA for 50-90 minutes. Blocked the membrane with 5% non-fat milk/TBS for 1.5 hour at RT. The membrane was incubated with rabbit anti-HSP90AB1 antigen affinity purified monoclonal antibody (Catalog # M01692) at 1:500 overnight at 4°C, then washed with TBS-0.1%Tween 3 times with 5 minutes each and probed with a goat anti-rabbit IgG-HRP secondary antibody at a dilution of 1:500 for 1.5 hour at RT. The signal is developed using an Enhanced Chemiluminescent detection (ECL) kit (Catalog # EK1002) with Tanon 5200 system. A specific band was detected for HSP90AB1 at approximately 90 kDa. The expected band size for HSP90AB1 is at 83 kDa.
Click image to see more details
The differential abundance of HSP90AB1, HSPD1 and HSPA13 in villi tissues was verified by Western blot. A The representative of Western blot analysis to verify selected differentially expressed proteins HSP90AB1, HSPD1 and HSPA13 in the villi tissue of embryo from EMA ( n = 6) and control( n = 6). B The scatter plot of HSP90AB1 abundance in the villi tissue of embryo from EMA ( n = 22) vs control ( n = 22) ( P < 0.01). C The scatter plot of HSPD1 abundance in the villi tissue of embryo from EMA ( n = 22) vs control ( n = 22) ( P < 0.01). D The scatter plot of HSPA13 abundance in the villi tissue of embryo from EMA ( n = 22) vs control ( n = 22) ( P < 0.01)
Index in PubMed under a CC BY license. PMID: 37587463
Click image to see more details
A , B , C Immunohistochemical staining for HSP90AB1, HSPD1, and HSPA13 observed in the cytoplasm of syncytiotrophoblast and cytotrophoblast cells (× 200, × 400). Villus from 22 patients with EMA showed lower; D - F Quantitative scoring results of IHC analyses w shown as box plots
Index in PubMed under a CC BY license. PMID: 37587463
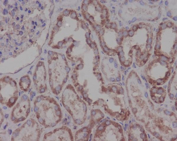
Click image to see more details
Immunohistochemical analysis of paraffin-embedded human kidney, using Hsp90 beta antibody .
Specific Publications For Anti-Hsp90 beta HSP90AB1 Rabbit Monoclonal Antibody (M01692)
Loading publications
Recommended Resources
Here are featured tools and databases that you might find useful.
- Boster's Pathways Library
- Protein Databases
- Bioscience Research Protocol Resources
- Data Processing & Analysis Software
- Photo Editing Software
- Scientific Literature Resources
- Research Paper Management Tools
- Molecular Biology Software
- Primer Design Tools
- Bioinformatics Tools
- Phylogenetic Tree Analysis
Customer Reviews
Have you used Anti-Hsp90 beta HSP90AB1 Rabbit Monoclonal Antibody?
Share your experimental results or join a short interview to earn up to $1,000 in product credits or other rewards.
0 Reviews For Anti-Hsp90 beta HSP90AB1 Rabbit Monoclonal Antibody
Customer Q&As
Have a question?
Find answers in Q&As, reviews.
Can't find your answer?
Submit your question


