Product Info Summary
| SKU: | A05402-2 |
|---|---|
| Size: | 80 µl |
| Reactive Species: | Human |
| Host: | Rabbit |
| Application: | Flow Cytometry, IHC-P, WB |
Customers Who Bought This Also Bought
Product info
Product Name
Anti-HSPA6 Antibody (C-term)
SKU/Catalog Number
A05402-2
Size
80 µl
Description
Boster Bio Anti-HSPA6 Antibody (C-term) (Catalog # A05402-2). Tested in WB, Flow Cytometry, IHC-P application(s). This antibody reacts with Human.
Storage & Handling
Maintain refrigerated at 2-8°C for up to 2 weeks. For long-term storage, store at -20°C in small aliquots to prevent freeze-thaw cycles.
Cite This Product
Anti-HSPA6 Antibody (C-term) (Boster Biological Technology, Pleasanton CA, USA, Catalog # A05402-2)
Host
Rabbit
Contents
Purified polyclonal antibody supplied in PBS with 0.09% (W/V) sodium azide.
Clonality
Polyclonal
Isotype
Rabbit IgG
Immunogen
This HSPA6 antibody is generated from rabbits immunized with a KLH conjugated synthetic peptide between 544-571 amino acids from the C-terminal region of human HSPA6.
Reactive Species
A05402-2 is reactive to HSPA6 in Human
Calculated molecular weight
71.0 kDa
Background of HSPA6
In cooperation with other chaperones, Hsp70s stabilize preexistent proteins against aggregation and mediate the folding of newly translated polypeptides in the cytosol as well as within organelles. These chaperones participate in all these processes through their ability to recognize nonnative conformations of other proteins. They bind extended peptide segments with a net hydrophobic character exposed by polypeptides during translation and membrane translocation, or following stress-induced damage.
Antibody Validation
Boster validates all antibodies on WB, IHC, ICC, Immunofluorescence, and ELISA with known positive control and negative samples to ensure specificity and high affinity, including thorough antibody incubations.
Application & Images
Applications
A05402-2 is guaranteed for Flow Cytometry, IHC-P, WB Boster Guarantee
Assay Dilutions Recommendation
The recommendations below provide a starting point for assay optimization. The actual working concentration varies and should be decided by the user.
WB: 1:1000
IHC-P: 1:50-1:100
FC: 1:10-1:50
Validation Images & Assay Conditions
Click image to see more details
Western blot analysis of lysate from Jurkat cell line,using HSPA6 Antibody (C-term).A05402-2 was diluted at 1:1000 at each lane. A goat anti-rabbit IgG H&L (HRP) at 1:5000 dilution was used as the secondary antibody.Lysate at 35ug per lane.
Click image to see more details
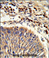
Formalin-fixed and paraffin-embedded human lung carcinoma reacted with HSPA6 Antibody (C-term), which was peroxidase-conjugated to the secondary antibody, followed by DAB staining. This data demonstrates the use of this antibody for immunohistochemistry; clinical relevance has not been evaluated.
Click image to see more details
HSPA6 Antibody (C-term) flow cytometry analysis of CEM cells (bottom histogram) compared to a negative control cell (top histogram).FITC-conjugated goat-anti-rabbit secondary antibodies were used for the analysis.
Specific Publications For Anti-HSPA6 Antibody (C-term) (A05402-2)
Loading publications
Recommended Resources
Here are featured tools and databases that you might find useful.
- Boster's Pathways Library
- Protein Databases
- Bioscience Research Protocol Resources
- Data Processing & Analysis Software
- Photo Editing Software
- Scientific Literature Resources
- Research Paper Management Tools
- Molecular Biology Software
- Primer Design Tools
- Bioinformatics Tools
- Phylogenetic Tree Analysis
Customer Reviews
Have you used Anti-HSPA6 Antibody (C-term)?
Share your experimental results or join a short interview to earn up to $1,000 in product credits or other rewards.
0 Reviews For Anti-HSPA6 Antibody (C-term)
Customer Q&As
Have a question?
Find answers in Q&As, reviews.
Can't find your answer?
Submit your question

