Product Info Summary
| SKU: | A30451 |
|---|---|
| Size: | 100ul |
| Reactive Species: | Human, Mouse, Rat |
| Host: | Rabbit |
| Application: | ELISA, IF, IHC, ICC, WB |
Customers Who Bought This Also Bought
Product info
Product Name
Anti-MKP-1/2 DUSP1 Antibody
SKU/Catalog Number
A30451
Size
100ul
Form
Liquid
Description
Boster Bio Anti-MKP-1/2 DUSP1 Antibody (Catalog# A30451). Tested in WB, IHC, ICC, IF, ELISA applications. This antibody reacts with Human, Mouse, Rat.
Storage & Handling
Store at -20°C for one year. For short-term storage and frequent use, store at 4°C for up to one month. Avoid repeated freeze-thaw cycles.
Cite This Product
Anti-MKP-1/2 DUSP1 Antibody (Boster Biological Technology, Pleasanton CA, USA, Catalog # A30451)
Host
Rabbit
Contents
PBS containing 50% glycerol, 0.5% stabilizing protein and 0.02% sodium azide.
This antibody is supplied in a stabilized formulation.
Compatibility with conjugation reactions depends on the chemistry of the conjugation method used.
For conjugation methods that are not compatible with the stabilizing components present in this formulation, a carrier-free antibody format is required.
Clonality
Polyclonal
Isotype
Rabbit IgG
Immunogen
A peptide derived from human MKP-1/2. Immunogen sequence location: 261-310
Reactive Species
A30451 is reactive to DUSP1 in Human, Mouse, Rat
Observed Molecular Weight
72 kDa
Calculated molecular weight
39.3 kDa
Antibody Validation
Boster validates all antibodies on WB, IHC, ICC, Immunofluorescence, and ELISA with known positive control and negative samples to ensure specificity and high affinity, including thorough antibody incubations.
Application & Images
Applications
A30451 is guaranteed for ELISA, IF, IHC, ICC, WB Boster Guarantee
Assay Dilutions Recommendation
The recommendations below provide a starting point for assay optimization. The actual working concentration varies and should be decided by the user.
WB 1:500 - 1:2000.
IHC 1:100 - 1:300.
ELISA: 1:20000.
ICC/IF 1:50-200
Validation Images & Assay Conditions
Click image to see more details
Western Blot analysis of Jurkat cells using MKP-1/2 Polyclonal Antibody diluted at 1:1000.
Click image to see more details
Western Blot analysis of various cells using MKP-1/2 Polyclonal Antibody diluted at 1:1000.
Click image to see more details
Western blot analysis of 293T lysis using MKP-1/2 antibody. Antibody was diluted at 1:1000.
Click image to see more details
Western blot analysis of Hela KB 293T SH-SY5Y lysis using MKP-1/2 antibody. Antibody was diluted at 1:1000.
Click image to see more details
Western blot analysis of the lysates from HepG2 cells using MKP-1/2 antibody.
Click image to see more details
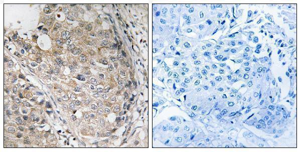
Immunohistochemistry analysis of paraffin-embedded human breast carcinoma tissue, using MKP-1/2 Antibody. The picture on the right is blocked with the synthesized peptide.
Click image to see more details
Western blot analysis of lysates from Jurkat cells, using MKP-1/2 Antibody. The lane on the right is blocked with the synthesized peptide.
Specific Publications For Anti-MKP-1/2 DUSP1 Antibody (A30451)
Loading publications
Recommended Resources
Here are featured tools and databases that you might find useful.
- Boster's Pathways Library
- Protein Databases
- Bioscience Research Protocol Resources
- Data Processing & Analysis Software
- Photo Editing Software
- Scientific Literature Resources
- Research Paper Management Tools
- Molecular Biology Software
- Primer Design Tools
- Bioinformatics Tools
- Phylogenetic Tree Analysis
Customer Reviews
Have you used Anti-MKP-1/2 DUSP1 Antibody?
Share your experimental results or join a short interview to earn up to $1,000 in product credits or other rewards.
0 Reviews For Anti-MKP-1/2 DUSP1 Antibody
Customer Q&As
Have a question?
Find answers in Q&As, reviews.
Can't find your answer?
Submit your question

