Product Info Summary
| SKU: | A30460 |
|---|---|
| Size: | 100ul |
| Reactive Species: | Human, Mouse, Rat |
| Host: | Rabbit |
| Application: | ELISA, IF, IHC, ICC, WB |
Customers Who Bought This Also Bought
Product info
Product Name
Anti-NKX3.1 Antibody
SKU/Catalog Number
A30460
Size
100ul
Form
Liquid
Description
Boster Bio Anti-NKX3.1 Antibody (Catalog# A30460). Tested in WB, IHC, ICC, IF, ELISA applications. This antibody reacts with Human, Mouse, Rat.
Storage & Handling
Store at -20°C for one year. For short-term storage and frequent use, store at 4°C for up to one month. Avoid repeated freeze-thaw cycles.
Cite This Product
Anti-NKX3.1 Antibody (Boster Biological Technology, Pleasanton CA, USA, Catalog # A30460)
Host
Rabbit
Contents
PBS containing 50% glycerol, 0.5% stabilizing protein and 0.02% sodium azide.
This antibody is supplied in a stabilized formulation.
Compatibility with conjugation reactions depends on the chemistry of the conjugation method used.
For conjugation methods that are not compatible with the stabilizing components present in this formulation, a carrier-free antibody format is required.
Clonality
Polyclonal
Isotype
Rabbit IgG
Immunogen
A peptide derived from human NKX3-1. Immunogen sequence location: 1-50
Reactive Species
A30460 is reactive to NKX3-1 in Human, Mouse, Rat
Observed Molecular Weight
72 kDa
Calculated molecular weight
26.4 kDa
Antibody Validation
Boster validates all antibodies on WB, IHC, ICC, Immunofluorescence, and ELISA with known positive control and negative samples to ensure specificity and high affinity, including thorough antibody incubations.
Application & Images
Applications
A30460 is guaranteed for ELISA, IF, IHC, ICC, WB Boster Guarantee
Assay Dilutions Recommendation
The recommendations below provide a starting point for assay optimization. The actual working concentration varies and should be decided by the user.
WB 1:500 - 1:2000.
IHC 1:100 - 1:300.
ELISA: 1:20000.
ICC/IF 1:50-200
Validation Images & Assay Conditions
Click image to see more details
Western Blot analysis of various cells using Nkx-3.1 Polyclonal Antibody.
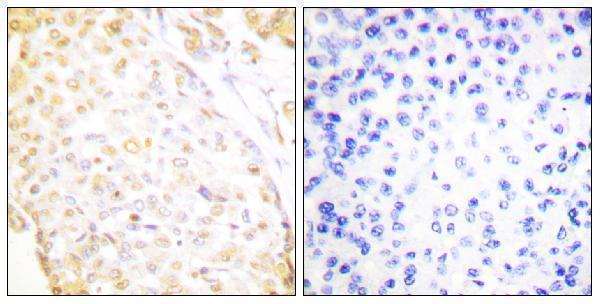
Click image to see more details
Immunohistochemistry analysis of paraffin-embedded human breast carcinoma, using NKX3.1 Antibody. The picture on the right is blocked with the synthesized peptide.
Specific Publications For Anti-NKX3.1 Antibody (A30460)
Loading publications
Recommended Resources
Here are featured tools and databases that you might find useful.
- Boster's Pathways Library
- Protein Databases
- Bioscience Research Protocol Resources
- Data Processing & Analysis Software
- Photo Editing Software
- Scientific Literature Resources
- Research Paper Management Tools
- Molecular Biology Software
- Primer Design Tools
- Bioinformatics Tools
- Phylogenetic Tree Analysis
Customer Reviews
Have you used Anti-NKX3.1 Antibody?
Share your experimental results or join a short interview to earn up to $1,000 in product credits or other rewards.
0 Reviews For Anti-NKX3.1 Antibody
Customer Q&As
Have a question?
Find answers in Q&As, reviews.
Can't find your answer?
Submit your question
5 Customer Q&As for Anti-NKX3.1 Antibody
Question
We are currently using anti-NKX3.1 antibody A30460 for human tissue, and we are happy with the IHC results. The species of reactivity given in the datasheet says human. Is it true that the antibody can work on goat tissues as well?
Verified Customer
Verified customer
Asked: 2019-10-30
Answer
The anti-NKX3.1 antibody (A30460) has not been tested for cross reactivity specifically with goat tissues, but there is a good chance of cross reactivity. We have an innovator award program that if you test this antibody and show it works in goat you can get your next antibody for free. Please contact me if I can help you with anything.
Boster Scientific Support
Answered: 2019-10-30
Question
I was wanting to use your anti-NKX3.1 antibody for IHC for human lung on frozen tissues, but I want to know if it has been validated for this particular application. Has this antibody been validated and is this antibody a good choice for human lung identification?
Verified Customer
Verified customer
Asked: 2019-04-17
Answer
You can see on the product datasheet, A30460 anti-NKX3.1 antibody has been tested for IHC on human tissues. We have an innovator award program that if you test this antibody and show it works in human lung in IHC-frozen, you can get your next antibody for free.
Boster Scientific Support
Answered: 2019-04-17
Question
Can you help my question with product A30460, anti-NKX3.1 antibody. I was wondering if it would be possible to conjugate this antibody with biotin. I would need it to be without BSA or sodium azide. I am planning on using a buffer exchange of sodium azide with PBS only. Would there be problems for me to conjugate the antibody and store it in -20 degrees in small aliquots?
C. Wu
Verified customer
Asked: 2018-12-13
Answer
We do not recommend storing this antibody with PBS buffer only in -20 degrees. If you want to store it in -20 degrees it is best to add some cryoprotectant like glycerol. If you want carrier free A30460 anti-NKX3.1 antibody, we can provide it to you in a special formula with trehalose and/or glycerol. These molecules will not interfere with conjugation chemistry and provide a good level of protection for the antibody from degradation. Please be sure to specify this in your purchase order.
Boster Scientific Support
Answered: 2018-12-13
Question
We appreciate helping with my inquiry over the phone. Here are the WB image, lot number and protocol we used for lung using anti-NKX3.1 antibody A30460. Let me know if you need anything else.
K. Wu
Verified customer
Asked: 2018-10-31
Answer
Thank you for the data. You have provided everything we needed. Our lab team are working to resolve your inquiry as quickly as possible, and we appreciate your patience and understanding! Please let me know if there is anything you need in the meantime.
Boster Scientific Support
Answered: 2018-10-31
Question
Is there a BSA free version of anti-NKX3.1 antibody A30460 available?
Verified Customer
Verified customer
Asked: 2017-12-07
Answer
We appreciate your recent telephone inquiry. I can confirm that some lots of this anti-NKX3.1 antibody A30460 are BSA free. For now, these lots are available and we can make a BSA free formula for you free of charge. It will take 3 extra days to prepare. If you require this antibody BSA free again in future, please do not hesitate to contact me and I will be pleased to check which lots we have in stock that are BSA free.
Boster Scientific Support
Answered: 2017-12-07

