Product Info Summary
| SKU: | PA2162 |
|---|---|
| Size: | 100 μg/vial |
| Reactive Species: | Human, Mouse, Rat |
| Host: | Rabbit |
| Application: | Flow Cytometry, IF, IHC, ICC, WB |
Customers Who Bought This Also Bought
Product info
Product Name
Anti-Profilin 2/PFN2 Antibody Picoband®
SKU/Catalog Number
PA2162
BA3205 is an alternative SKU for this antibody, used in previous lots.
Size
100 μg/vial
Form
Lyophilized
Description
Boster Bio Anti-Profilin 2/PFN2 Antibody catalog # PA2162. Tested in Flow Cytometry, IF, IHC, ICC, WB applications. This antibody reacts with Human, Mouse, Rat. The brand Picoband indicates this is a premium antibody that guarantees superior quality, high affinity, and strong signals with minimal background in Western blot applications. Only our best-performing antibodies are designated as Picoband, ensuring unmatched performance.
Storage & Handling
Store at -20˚C for one year from date of receipt. After reconstitution, at 4˚C for one month. It can also be aliquotted and stored frozen at -20˚C for six months. Avoid repeated freeze-thaw cycles.
Cite This Product
Anti-Profilin 2/PFN2 Antibody Picoband® (Boster Biological Technology, Pleasanton CA, USA, Catalog # PA2162)
Host
Rabbit
Contents
Each vial contains 4 mg Trehalose, 0.9 mg NaCl and 0.2 mg Na2HPO4.
Clonality
Polyclonal
Isotype
Rabbit IgG
Immunogen
A synthetic peptide corresponding to a sequence at the C-terminus of human Profilin 2, identical to the related mouse and rat sequences.
Cross-reactivity
No cross-reactivity with other proteins
Reactive Species
PA2162 is reactive to PFN2 in Human, Mouse, Rat
Observed Molecular Weight
15 kDa
Calculated molecular weight
15.0 kDa
Background of PFN2
Profilin-2, also called PFN2, is a protein that in humans is encoded by the PFN2 gene. The protein encoded by this gene is a ubiquitous actin monomer-binding protein belonging to the profilin family. This gene is mapped to 3q25.1. It is though to regulate actin polymerization in response to extracellular signals. There are two alternatively spliced transcript variants encoding different isoforms described for this gene. It binds to actin and affects the structure of the cytoskeleton. At high concentrations, profilin prevents the polymerization of actin, whereas it enhances it at low concentrations. By binding to PIP2, it inhibits the formation of IP3 and DG.
Antibody Validation
Boster validates all antibodies on WB, IHC, ICC, Immunofluorescence, and ELISA with known positive control and negative samples to ensure specificity and high affinity, including thorough antibody incubations.
Application & Images
Applications
PA2162 is guaranteed for Flow Cytometry, IF, IHC, ICC, WB Boster Guarantee
Assay Dilutions Recommendation
The recommendations below provide a starting point for assay optimization. The actual working concentration varies and should be decided by the user.
Western blot, 0.1-0.5μg/ml, Human, Mouse, Rat
Immunohistochemistry (Paraffin-embedded Section), 0.5-1μg/ml, Human, Rat, Mouse
Immunocytochemistry/Immunofluorescence, 5μg/ml, Human
Flow Cytometry (Fixed), 1-3μg/1x106 cells, Human
Positive Control
WB: human U251 whole cell, human RT4 whole cell, human SH-SY5Y whole cell, rat brain tissue, rat skeletal muscle tissue, mouse brain tissue, mouse skeletal muscle tissue
IHC: human thyroid cancer tissue
IF: human thyroid cancer tissue
Validation Images & Assay Conditions
Click image to see more details
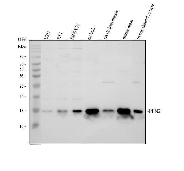
Western blot analysis of PFN2 using anti-PFN2 antibody (PA2162).
Electrophoresis was performed on a 12% SDS-PAGE gel at 80V (Stacking gel) / 120V (Resolving gel) for 2 hours. The sample well of each lane was loaded with 30 ug of sample under reducing conditions.
Lane 1: human U251 whole cell lysates,
Lane 2: human RT4 whole cell lysates,
Lane 3: human SH-SY5Y whole cell lysates,
Lane 4: rat brain tissue lysates,
Lane 5: rat skeletal muscle tissue lysates,
Lane 6: mouse brain tissue lysates,
Lane 7: mouse skeletal muscle tissue lysates.
After electrophoresis, proteins were transferred to a nitrocellulose membrane at 150 mA for 50-90 minutes. Blocked the membrane with 5% non-fat milk/TBS for 1.5 hour at RT. The membrane was incubated with rabbit anti-PFN2 antigen affinity purified polyclonal antibody (PA2162) at 0.5 μg/mL overnight at 4°C, then washed with TBS-0.1%Tween 3 times with 5 minutes each and probed with a goat anti-rabbit IgG-HRP secondary antibody (Catalog # BA1054) at a dilution of 1:5000 for 1.5 hour at RT. The signal is developed using an ECL Plus Western Blotting Substrate (Catalog # AR1196-200) with Tanon 5200 system. A specific band was detected for PFN2 at approximately 15 kDa. The expected band size for PFN2 is at 15 kDa.
Click image to see more details
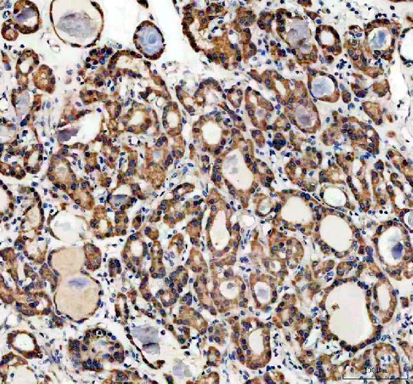
IHC analysis of PFN2 using anti-PFN2 antibody (PA2162).
PFN2 was detected in a paraffin-embedded section of human thyroid cancer tissue. Heat mediated antigen retrieval was performed in EDTA buffer (pH 8.0, epitope retrieval solution). The tissue section was blocked with 10% goat serum. The tissue section was then incubated with 2 μg/ml rabbit anti-PFN2 Antibody (PA2162) overnight at 4°C. Peroxidase Conjugated Goat Anti-rabbit IgG was used as secondary antibody and incubated for 30 minutes at 37°C. The tissue section was developed using HRP Conjugated Rabbit IgG Super Vision Assay Kit (Catalog # SV0002) with DAB as the chromogen.
Click image to see more details
IF analysis of PFN2 using anti-PFN2 antibody (PA2162).
PFN2 was detected in a paraffin-embedded section of human thyroid cancer tissue. Heat mediated antigen retrieval was performed in EDTA buffer (pH 8.0, epitope retrieval solution). The tissue section was blocked with 10% goat serum. The tissue section was then incubated with 5 μg/mL rabbit anti-PFN2 Antibody (PA2162) overnight at 4°C. Cy3 Conjugated Goat Anti-Rabbit IgG (BA1032) was used as secondary antibody at 1:500 dilution and incubated for 30 minutes at 37°C. The section was counterstained with DAPI. Visualize using a fluorescence microscope and filter sets appropriate for the label used.
Specific Publications For Anti-Profilin 2/PFN2 Antibody Picoband® (PA2162)
Loading publications
Recommended Resources
Here are featured tools and databases that you might find useful.
- Boster's Pathways Library
- Protein Databases
- Bioscience Research Protocol Resources
- Data Processing & Analysis Software
- Photo Editing Software
- Scientific Literature Resources
- Research Paper Management Tools
- Molecular Biology Software
- Primer Design Tools
- Bioinformatics Tools
- Phylogenetic Tree Analysis
Customer Reviews
Have you used Anti-Profilin 2/PFN2 Antibody Picoband®?
Share your experimental results or join a short interview to earn up to $1,000 in product credits or other rewards.
0 Reviews For Anti-Profilin 2/PFN2 Antibody Picoband®
Customer Q&As
Have a question?
Find answers in Q&As, reviews.
Can't find your answer?
Submit your question
4 Customer Q&As for Anti-Profilin 2/PFN2 Antibody Picoband®
Question
Do you have a BSA free version of anti-Profilin 2/PFN2 antibody PA2162 available?
Verified Customer
Verified customer
Asked: 2019-11-29
Answer
We appreciate your recent telephone inquiry. I can confirm that some lots of this anti-Profilin 2/PFN2 antibody PA2162 are BSA free. For now, these lots are available and we can make a BSA free formula for you free of charge. It will take 3 extra days to prepare. If you require this antibody BSA free again in future, please do not hesitate to contact me and I will be pleased to check which lots we have in stock that are BSA free.
Boster Scientific Support
Answered: 2019-11-29
Question
We are currently using anti-Profilin 2/PFN2 antibody PA2162 for rat tissue, and we are well pleased with the ICC results. The species of reactivity given in the datasheet says human, mouse, rat. Is it likely that the antibody can work on horse tissues as well?
W. Walker
Verified customer
Asked: 2019-08-28
Answer
The anti-Profilin 2/PFN2 antibody (PA2162) has not been tested for cross reactivity specifically with horse tissues, but there is a good chance of cross reactivity. We have an innovator award program that if you test this antibody and show it works in horse you can get your next antibody for free. Please contact me if I can help you with anything.
Boster Scientific Support
Answered: 2019-08-28
Question
Is a blocking peptide available for product anti-Profilin 2/PFN2 antibody (PA2162)?
Verified Customer
Verified customer
Asked: 2019-02-25
Answer
We do provide the blocking peptide for product anti-Profilin 2/PFN2 antibody (PA2162). If you would like to place an order for it please contact support@bosterbio.com and make a special request.
Boster Scientific Support
Answered: 2019-02-25
Question
I have a question about product PA2162, anti-Profilin 2/PFN2 antibody. I was wondering if it would be possible to conjugate this antibody with biotin. I would need it to be without BSA or sodium azide. I am planning on using a buffer exchange of sodium azide with PBS only. Would there be problems for me to conjugate the antibody and store it in -20 degrees in small aliquots?
J. Carter
Verified customer
Asked: 2017-08-03
Answer
It is not recommended storing this antibody with PBS buffer only in -20 degrees. If you want to store it in -20 degrees it is best to add some cryoprotectant like glycerol. If you want carrier free PA2162 anti-Profilin 2/PFN2 antibody, we can provide it to you in a special formula with trehalose and/or glycerol. These molecules will not interfere with conjugation chemistry and provide a good level of protection for the antibody from degradation. Please be sure to specify this in your purchase order.
Boster Scientific Support
Answered: 2017-08-03


