Product Info Summary
| SKU: | M06317 |
|---|---|
| Size: | 50 µl |
| Reactive Species: | Human, Mouse |
| Host: | Rabbit |
| Application: | IHC-P, WB |
Customers Who Bought This Also Bought
Product info
Product Name
Anti-PYGL Antibody (C-Term)
SKU/Catalog Number
M06317
Size
50 µl
Description
Boster Bio Anti-PYGL Antibody (C-Term) (Catalog # M06317). Tested in WB, IHC-P application(s). This antibody reacts with Human, Mouse.
Storage & Handling
Maintain refrigerated at 2-8°C for up to 2 weeks. For long-term storage, store at -20°C in small aliquots to prevent freeze-thaw cycles.
Cite This Product
Anti-PYGL Antibody (C-Term) (Boster Biological Technology, Pleasanton CA, USA, Catalog # M06317)
Host
Rabbit
Contents
Purified polyclonal antibody supplied in PBS with 0.09% (W/V) sodium azide.
Clonality
Polyclonal
Isotype
Rabbit IgG
Immunogen
This PYGL antibody is generated from a rabbit immunized with a KLH conjugated synthetic peptide between 809-843 amino acids from human PYGL.
Reactive Species
M06317 is reactive to PYGL in Human, Mouse
Calculated molecular weight
97.1 kDa
Background of PYGL
Phosphorylase is an important allosteric enzyme in carbohydrate metabolism. Enzymes from different sources differ in their regulatory mechanisms and in their natural substrates. However, all known phosphorylases share catalytic and structural properties.
Antibody Validation
Boster validates all antibodies on WB, IHC, ICC, Immunofluorescence, and ELISA with known positive control and negative samples to ensure specificity and high affinity, including thorough antibody incubations.
Application & Images
Applications
M06317 is guaranteed for IHC-P, WB Boster Guarantee
Assay Dilutions Recommendation
The recommendations below provide a starting point for assay optimization. The actual working concentration varies and should be decided by the user.
WB: 1:2000
IHC-P: 1:25
Validation Images & Assay Conditions
Click image to see more details
All lanes : Anti-PYGL Antibody (C-Term) at 1:2000 dilution
Lane 1: human liver lysate
Lane 2: Hela whole cell lysate
Lane 3: HepG2 whole cell lysate
Lane 4: NIH/3T3 whole cell lysate
Lane 5: PC-3 whole cell lysate
Lysates/proteins at 20 µg per lane.
Secondary
Goat Anti-Rabbit IgG, (H+L), Peroxidase conjugated at 1/10000 dilution.
Predicted band size : 97 kDa
Blocking/Dilution buffer: 5% NFDM/TBST.
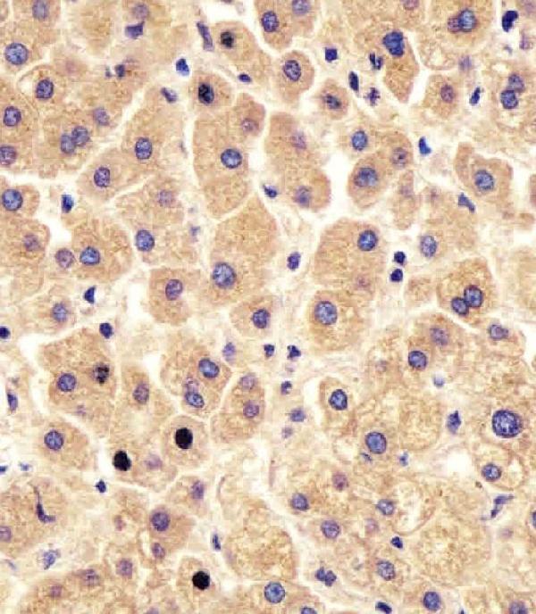
Click image to see more details
M06317 staining PYGL in human liver tissue sections by Immunohistochemistry (IHC-P -paraformaldehyde-fixed, paraffin-embedded sections). Tissue was fixed with formaldehyde and blocked with 3% BSA for 0. 5 hour at room temperature; antigen retrieval was by heat mediation with a citrate buffer (pH6). Samples were incubated with primary antibody (1/25) for 1 hours at 37°C. A undiluted biotinylated goat polyvalent antibody was used as the secondary antibody.
Specific Publications For Anti-PYGL Antibody (C-Term) (M06317)
Loading publications
Recommended Resources
Here are featured tools and databases that you might find useful.
- Boster's Pathways Library
- Protein Databases
- Bioscience Research Protocol Resources
- Data Processing & Analysis Software
- Photo Editing Software
- Scientific Literature Resources
- Research Paper Management Tools
- Molecular Biology Software
- Primer Design Tools
- Bioinformatics Tools
- Phylogenetic Tree Analysis
Customer Reviews
Have you used Anti-PYGL Antibody (C-Term)?
Share your experimental results or join a short interview to earn up to $1,000 in product credits or other rewards.
0 Reviews For Anti-PYGL Antibody (C-Term)
Customer Q&As
Have a question?
Find answers in Q&As, reviews.
Can't find your answer?
Submit your question

