Product Info Summary
| SKU: | A01738-2 |
|---|---|
| Size: | 100 μg/vial |
| Reactive Species: | Mouse, Rat |
| Host: | Rabbit |
| Application: | ELISA, IHC, WB |
Customers Who Bought This Also Bought
Product info
Product Name
Anti-TFF3 Antibody Picoband®
SKU/Catalog Number
A01738-2
Size
100 μg/vial
Form
Lyophilized
Description
Boster Bio Anti-TFF3 Antibody Picoband® catalog # A01738-2. Tested in ELISA, IHC, WB applications. This antibody reacts with Mouse, Rat. The brand Picoband indicates this is a premium antibody that guarantees superior quality, high affinity, and strong signals with minimal background in Western blot applications. Only our best-performing antibodies are designated as Picoband, ensuring unmatched performance.
Storage & Handling
Store at -20˚C for one year from date of receipt. After reconstitution, at 4˚C for one month. It can also be aliquotted and stored frozen at -20˚C for six months. Avoid repeated freeze-thaw cycles.
Cite This Product
Anti-TFF3 Antibody Picoband® (Boster Biological Technology, Pleasanton CA, USA, Catalog # A01738-2)
Host
Rabbit
Contents
Each vial contains antibody formulated with stabilizing components, 0.9 mg NaCl, 0.2 mg Na2HPO4, and 0.05 mg NaN3.
*This antibody is supplied in a stabilized formulation.
Compatibility with conjugation reactions depends on the chemistry of the conjugation method used.
For conjugation methods that are not compatible with the stabilizing components present in this formulation, a carrier-free antibody format is required.
Clonality
Polyclonal
Isotype
Rabbit IgG
Immunogen
E. coli-derived rat TFF3 recombinant protein (Position: Q23-F81).
Cross-reactivity
No cross-reactivity with other proteins.
Reactive Species
A01738-2 is reactive to Tff3 in Mouse, Rat
Observed Molecular Weight
12 kDa
Calculated molecular weight
8.9 kDa
Background of Tff3
Trefoil factor 3 is a protein that in humans is encoded by the TFF3 gene. It is mapped to 21q22.3. Members of the trefoil family can interact with mucins and have an influence on mucus viscosity. They also promote migration of epithelial cells, are linked to antiapoptosis, induce cell scattering, trigger chemotaxis, and participate in immune responses. This gene is a marker of columnar epithelium and is expressed in a variety of tissues including goblet cells of the intestines and colon. It has been found that TFF3 is the most highly upregulated gene in 19 poorly differentiated endometrioid endometrial carcinomas (G3-EECs) compared with normal endometrium biopsies.
Antibody Validation
Boster validates all antibodies on WB, IHC, ICC, Immunofluorescence, and ELISA with known positive control and negative samples to ensure specificity and high affinity, including thorough antibody incubations.
Application & Images
Applications
A01738-2 is guaranteed for ELISA, IHC, WB Boster Guarantee
Assay Dilutions Recommendation
The recommendations below provide a starting point for assay optimization. The actual working concentration varies and should be decided by the user.
Western blot, 0.1-0.5μg/ml
Immunohistochemistry (Paraffin-embedded Section), 0.5-1μg/ml
ELISA, 0.1-0.5μg/ml
Positive Control
WB: rat gaster tissue, rat small intestine tissue, mouse small intestine tissue
IHC: mouse gaster tissue, mouse small intestine tissue, rat gaster tissue, rat small intestine tissue
Validation Images & Assay Conditions
Click image to see more details
Western blot analysis of TFF3 using anti-TFF3 antibody (A01738-2).
Electrophoresis was performed on a 5-20% SDS-PAGE gel at 70V (Stacking gel) / 90V (Resolving gel) for 2-3 hours. The sample well of each lane was loaded with 50ug of sample under reducing conditions.
Lane 1: rat gaster tissue lysates,
Lane 2: rat small intestine tissue lysates,
Lane 3: mouse small intestine tissue lysates.
After Electrophoresis, proteins were transferred to a Nitrocellulose membrane at 150mA for 50-90 minutes. Blocked the membrane with 5% Non-fat Milk/ TBS for 1.5 hour at RT. The membrane was incubated with rabbit anti-TFF3 antigen affinity purified polyclonal antibody (Catalog # A01738-2) at 0.5 ug/mL overnight at 4℃, then washed with TBS-0.1%Tween 3 times with 5 minutes each and probed with a goat anti-rabbit IgG-HRP secondary antibody at a dilution of 1:10000 for 1.5 hour at RT. The signal is developed using an Enhanced Chemiluminescent detection (ECL) kit (Catalog # EK1002) with Tanon 5200 system. A specific band was detected for TFF3 at approximately 12KD. The expected band size for TFF3 is at 9KD.
Click image to see more details
IHC analysis of TFF3 using anti-TFF3 antibody (A01738-2).
TFF3 was detected in paraffin-embedded section of mouse gaster tissue . Heat mediated antigen retrieval was performed in citrate buffer (pH6, epitope retrieval solution) for 20 mins. The tissue section was blocked with 10% goat serum. The tissue section was then incubated with 1ug/ml rabbit anti-TFF3 Antibody (A01738-2) overnight at 4℃. Biotinylated goat anti-rabbit IgG was used as secondary antibody and incubated for 30 minutes at 37℃. The tissue section was developed using Strepavidin-Biotin-Complex (SABC)(Catalog # SA1022) with DAB as the chromogen.
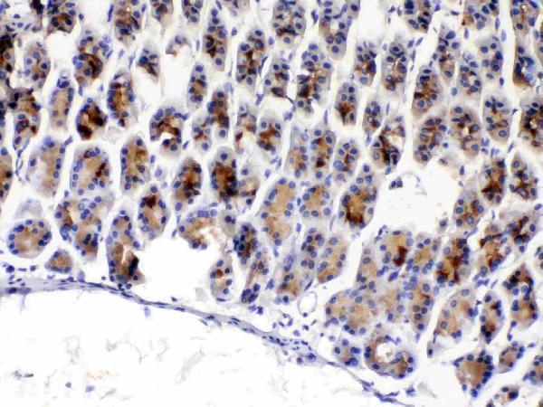
Click image to see more details
IHC analysis of TFF3 using anti-TFF3 antibody (A01738-2).
TFF3 was detected in paraffin-embedded section of mouse small intestine tissue. Heat mediated antigen retrieval was performed in citrate buffer (pH6, epitope retrieval solution) for 20 mins. The tissue section was blocked with 10% goat serum. The tissue section was then incubated with 1ug/ml rabbit anti-TFF3 Antibody (A01738-2) overnight at 4℃. Biotinylated goat anti-rabbit IgG was used as secondary antibody and incubated for 30 minutes at 37℃. The tissue section was developed using Strepavidin-Biotin-Complex (SABC)(Catalog # SA1022) with DAB as the chromogen.
Click image to see more details
IHC analysis of TFF3 using anti-TFF3 antibody (A01738-2).
TFF3 was detected in paraffin-embedded section of rat gaster tissue . Heat mediated antigen retrieval was performed in citrate buffer (pH6, epitope retrieval solution) for 20 mins. The tissue section was blocked with 10% goat serum. The tissue section was then incubated with 1ug/ml rabbit anti-TFF3 Antibody (A01738-2) overnight at 4℃. Biotinylated goat anti-rabbit IgG was used as secondary antibody and incubated for 30 minutes at 37℃. The tissue section was developed using Strepavidin-Biotin-Complex (SABC)(Catalog # SA1022) with DAB as the chromogen.
Click image to see more details
IHC analysis of TFF3 using anti-TFF3 antibody (A01738-2).
TFF3 was detected in paraffin-embedded section of rat small intestine tissue. Heat mediated antigen retrieval was performed in citrate buffer (pH6, epitope retrieval solution) for 20 mins. The tissue section was blocked with 10% goat serum. The tissue section was then incubated with 1ug/ml rabbit anti-TFF3 Antibody (A01738-2) overnight at 4℃. Biotinylated goat anti-rabbit IgG was used as secondary antibody and incubated for 30 minutes at 37℃. The tissue section was developed using Strepavidin-Biotin-Complex (SABC)(Catalog # SA1022) with DAB as the chromogen.
Specific Publications For Anti-TFF3 Antibody Picoband® (A01738-2)
Loading publications
Recommended Resources
Here are featured tools and databases that you might find useful.
- Boster's Pathways Library
- Protein Databases
- Bioscience Research Protocol Resources
- Data Processing & Analysis Software
- Photo Editing Software
- Scientific Literature Resources
- Research Paper Management Tools
- Molecular Biology Software
- Primer Design Tools
- Bioinformatics Tools
- Phylogenetic Tree Analysis
Customer Reviews
Have you used Anti-TFF3 Antibody Picoband®?
Share your experimental results or join a short interview to earn up to $1,000 in product credits or other rewards.
0 Reviews For Anti-TFF3 Antibody Picoband®
Customer Q&As
Have a question?
Find answers in Q&As, reviews.
Can't find your answer?
Submit your question


