Product Info Summary
| SKU: | A06892 |
|---|---|
| Size: | 100μl |
| Reactive Species: | Human, Mouse, Rat |
| Host: | Rabbit |
| Application: | ELISA, IF, IHC, WB |
Customers Who Bought This Also Bought
Product info
Product Name
Anti-TMC8/Ever2 Antibody
SKU/Catalog Number
A06892
Size
100μl
Form
Liquid
Description
Boster Bio Anti-TMC8/Ever2 Antibody catalog # A06892. Tested in WB, IHC, IF, ELISA applications. This antibody reacts with Human, Mouse, Rat.
Storage & Handling
Store at -20°C for one year. For short term storage and frequent use, store at 4°C for up to one month. Avoid repeated freeze-thaw cycles.
Cite This Product
Anti-TMC8/Ever2 Antibody (Boster Biological Technology, Pleasanton CA, USA, Catalog # A06892)
Host
Rabbit
Contents
Liquid in PBS containing 50% glycerol, 0.5% stabilizing protein and 0.02% sodium azide.
This antibody is supplied in a stabilized formulation.
Compatibility with conjugation reactions depends on the chemistry of the conjugation method used.
For conjugation methods that are not compatible with the stabilizing components present in this formulation, a carrier-free antibody format is required.
Clonality
Polyclonal
Isotype
IgG
Immunogen
The antiserum was produced against synthesized peptide derived from human TMC8. AA range:601-650
Reactive Species
A06892 is reactive to TMC8 in Human, Mouse, Rat
Observed Molecular Weight
39 kDa
Calculated molecular weight
81.6 kDa
Antibody Validation
Boster validates all antibodies on WB, IHC, ICC, Immunofluorescence, and ELISA with known positive control and negative samples to ensure specificity and high affinity, including thorough antibody incubations.
Application & Images
Applications
A06892 is guaranteed for ELISA, IF, IHC, WB Boster Guarantee
Assay Dilutions Recommendation
The recommendations below provide a starting point for assay optimization. The actual working concentration varies and should be decided by the user.
WB 1:500-1:2000
IHC 1:100-1:300
ELISA 1:5000
IF 1:50-200
Validation Images & Assay Conditions
Click image to see more details
Western Blot analysis of HeLa cells using TMC8 Polyclonal Antibody. Secondary antibody was diluted at 1:20000
Click image to see more details
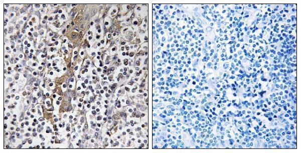
Immunohistochemistry analysis of paraffin-embedded human tonsil, using TMC8 Antibody. The picture on the right is blocked with the synthesized peptide.
Specific Publications For Anti-TMC8/Ever2 Antibody (A06892)
Loading publications
Recommended Resources
Here are featured tools and databases that you might find useful.
- Boster's Pathways Library
- Protein Databases
- Bioscience Research Protocol Resources
- Data Processing & Analysis Software
- Photo Editing Software
- Scientific Literature Resources
- Research Paper Management Tools
- Molecular Biology Software
- Primer Design Tools
- Bioinformatics Tools
- Phylogenetic Tree Analysis
Customer Reviews
Have you used Anti-TMC8/Ever2 Antibody?
Share your experimental results or join a short interview to earn up to $1,000 in product credits or other rewards.
0 Reviews For Anti-TMC8/Ever2 Antibody
Customer Q&As
Have a question?
Find answers in Q&As, reviews.
Can't find your answer?
Submit your question
3 Customer Q&As for Anti-TMC8/Ever2 Antibody
Question
We are currently using anti-TMC8/Ever2 antibody A06892 for human tissue, and we are happy with the WB results. The species of reactivity given in the datasheet says human, mouse, rat. Is it possible that the antibody can work on monkey tissues as well?
Verified Customer
Verified customer
Asked: 2020-04-16
Answer
The anti-TMC8/Ever2 antibody (A06892) has not been tested for cross reactivity specifically with monkey tissues, but there is a good chance of cross reactivity. We have an innovator award program that if you test this antibody and show it works in monkey you can get your next antibody for free. Please contact me if I can help you with anything.
Boster Scientific Support
Answered: 2020-04-16
Question
Does anti-TMC8/Ever2 antibody A06892 work on dog WB with spleen?
Verified Customer
Verified customer
Asked: 2020-01-15
Answer
Our lab technicians have not tested anti-TMC8/Ever2 antibody A06892 on dog. You can run a BLAST between dog and the immunogen sequence of anti-TMC8/Ever2 antibody A06892 to see if they may cross-react. If the sequence homology is close, then you can perform a pilot test. Keep in mind that since we have not validated dog samples, this use of the antibody is not covered by our guarantee. However we have an innovator award program that if you test this antibody and show it works in dog spleen in WB, you can get your next antibody for free.
Boster Scientific Support
Answered: 2020-01-15
Question
Is this A06892 anti-TMC8/Ever2 antibody reactive to the isotypes of TMC8?
Verified Customer
Verified customer
Asked: 2018-01-23
Answer
The immunogen of A06892 anti-TMC8/Ever2 antibody is Synthesized peptide derived from the C-terminal region of human TMC8. at AA rangle: 570-650. Could you tell me which isotype you are interested in so I can help see if the immunogen is part of this isotype?
Boster Scientific Support
Answered: 2018-01-23

