This website uses cookies to ensure you get the best experience on our website.
- Table of Contents
1 Citations 4 Q&As
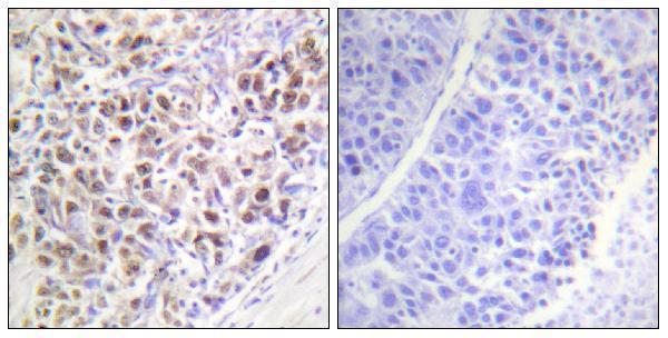
Facts about Aurora kinase B.
Involved in the bipolar attachment of spindle microtubules to kinetochores and is a key regulator for the onset of cytokinesis during mitosis. Required for central/midzone spindle assembly and cleavage furrow formation.
| Human | |
|---|---|
| Gene Name: | AURKB |
| Uniprot: | Q96GD4 |
| Entrez: | 9212 |

| Belongs to: |
|---|
| protein kinase superfamily |

Aik2; AIK2EC 2.7.11.1; AIM1; AIM-1; AIM1Aik2; AIM-1STK-1; ARK2; ARK2ARK-2; AurB; AURKB; aurkb-sv2; Aurora- and IPL1-like midbody-associated protein 1; Aurora B; aurora kinase BSerine/threonine-protein kinase aurora-B; aurora kinase B-Sv1; aurora kinase B-Sv2; Aurora/IPL1-related kinase 2; aurora-1; aurora-B; Aurora-related kinase 2; EC 2.7.11; IPL1; serine/threonine kinase 12; serine/threonine-protein kinase 12; STK12; STK12aurkb-sv1; STK5
Mass (kDA):
39.311 kDA

| Human | |
|---|---|
| Location: | 17p13.1 |
| Sequence: | 17; NC_000017.11 (8204731..8210767, complement) |
High level expression seen in the thymus. It is also expressed in the spleen, lung, testis, colon, placenta and fetal liver. Expressed during S and G2/M phase and expression is up-regulated in cancer cells during M phase.
Nucleus. Chromosome. Chromosome, centromere. Cytoplasm, cytoskeleton, spindle. Midbody. Localizes on chromosome arms and inner centromeres from prophase through metaphase and then transferring to the spindle midzone and midbody from anaphase through cytokinesis. Colocalized with gamma tubulin in the midbody. Proper localization of the active, Thr-232-phosphorylated form during metaphase may be dependent upon interaction with SPDYC. Colocalized with SIRT2 during cytokinesis with the midbody. Localization (and probably targeting of the CPC) to the inner centromere occurs predominantly in regions






PMID: 9514916 by Shindo M., et al. cDNA cloning, expression, subcellular localization, and chromosomal assignment of mammalian aurora homologues, aurora-related kinase (ARK) 1 and 2.
PMID: 9809983 by Tatsuka M., et al. Multinuclearity and increased ploidy caused by overexpression of the aurora- and Ipl1-like midbody-associated protein mitotic kinase in human cancer cells.