This website uses cookies to ensure you get the best experience on our website.
- Table of Contents
6 Citations
Facts about Broad substrate specificity ATP-binding cassette transporter ABCG2.
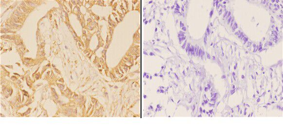
Xenobiotic transporter that may play an important role in the exclusion of xenobiotics from the brain. Appears to play a significant role in the multidrug resistance phenotype of many cancer cell lines.
| Human | |
|---|---|
| Gene Name: | ABCG2 |
| Uniprot: | Q9UNQ0 |
| Entrez: | 9429 |

| Belongs to: |
|---|
| ABC transporter superfamily |

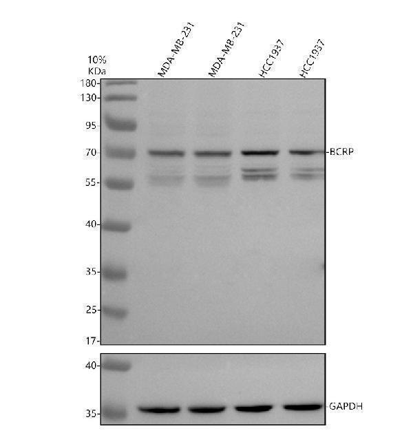
ABC transporter; ABC15; ABCG2; ABCP; ABCPMGC102821; ATP-binding cassette sub-family G member 2; ATP-binding cassette transporter G2; ATP-binding cassette, sub-family G (WHITE), member 2; BCRP; BCRP1; BCRPMRX; BMDP; Breast cancer resistance protein; CD338 antigen; CD338; CDw338; EST157481; mitoxantrone resistance protein; Mitoxantrone resistance-associated protein; MXR; MXRMXR1; placenta specific MDR protein; Placenta-specific ATP-binding cassette transporter
Mass (kDA):
72.314 kDA

| Human | |
|---|---|
| Location: | 4q22.1 |
| Sequence: | 4; NC_000004.12 (88090264..88231626, complement) |
Highly expressed in placenta. Low expression in small intestine, liver and colon.
Cell membrane; Multi-pass membrane protein. Apical cell membrane; Multi-pass membrane protein. Mitochondrion membrane; Multi-pass membrane protein. Enriched in membrane lipid rafts.






PMID: 9850061 by Allikmets R., et al. A human placenta-specific ATP-binding cassette gene (ABCP) on chromosome 4q22 that is involved in multidrug resistance.
PMID: 9861027 by Doyle L.A., et al. A multidrug resistance transporter from human MCF-7 breast cancer cells.
*More publications can be found for each product on its corresponding product page