This website uses cookies to ensure you get the best experience on our website.
- Table of Contents
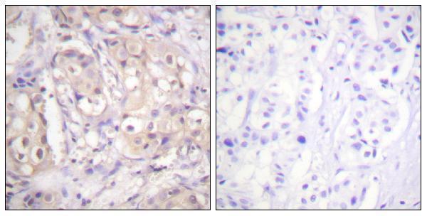
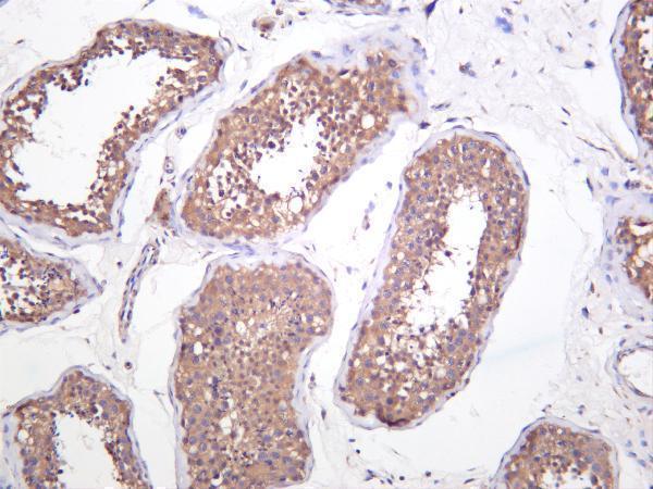
Facts about Serine/threonine-protein kinase B-raf.
Phosphorylates MAP2K1, and thus contributes to the MAP kinase signal transduction pathway. .
| Human | |
|---|---|
| Gene Name: | BRAF |
| Uniprot: | P15056 |
| Entrez: | 673 |

| Belongs to: |
|---|
| protein kinase superfamily |

94 kDa B-raf protein; B-Raf proto-oncogene serine/threonine-protein kinase (p94); BRaf; B-Raf; BRAF1; B-RAF1; BRAF1MGC126806; EC 2.7.11.1; MGC138284; murine sarcoma viral (v-raf) oncogene homolog B1; NS7; p94; Proto-oncogene B-Raf; RAFB1; serine/threonine-protein kinase B-raf; v-raf murine sarcoma viral oncogene homolog B1FLJ95109
Mass (kDA):
84.437 kDA

| Human | |
|---|---|
| Location: | 7q34 |
| Sequence: | 7; NC_000007.14 (140713328..140924929, complement) |
Brain and testis.
Nucleus. Cytoplasm. Cell membrane. Colocalizes with RGS14 and RAF1 in both the cytoplasm and membranes.






PMID: 1508179 by Stephens R.M., et al. 95-kilodalton B-Raf serine/threonine kinase: identification of the protein and its major autophosphorylation site.
PMID: 1630826 by Eychene A., et al. Chromosomal assignment of two human B-raf(Rmil) proto-oncogene loci: B-raf-1 encoding the p94Braf/Rmil and B-raf-2, a processed pseudogene.
*More publications can be found for each product on its corresponding product page