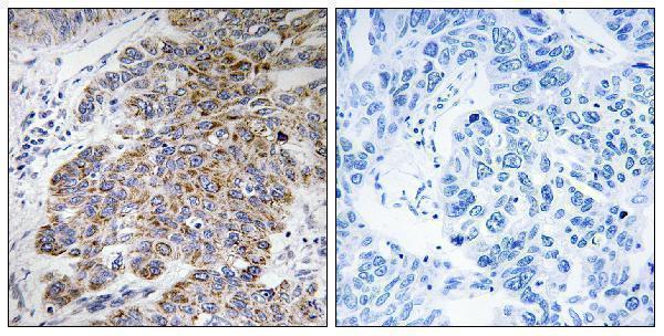
Carbohydrate sulfotransferase 10 (CHST10)

Catalyzes the transfer of sulfate to position 3 of terminal glucuronic acid of both protein- and lipid-linked oligosaccharides. Participates in biosynthesis of HNK-1 carbohydrate structure, a sulfated glucuronyl-lactosaminyl residue taken by many neural recognition molecules, which is involved in cell interactions during ontogenetic development and in synaptic plasticity in the adult.

May be indirectly involved in synapse plasticity of the hippocampus, via its role in HNK-1 biosynthesis. .