This website uses cookies to ensure you get the best experience on our website.
- Table of Contents
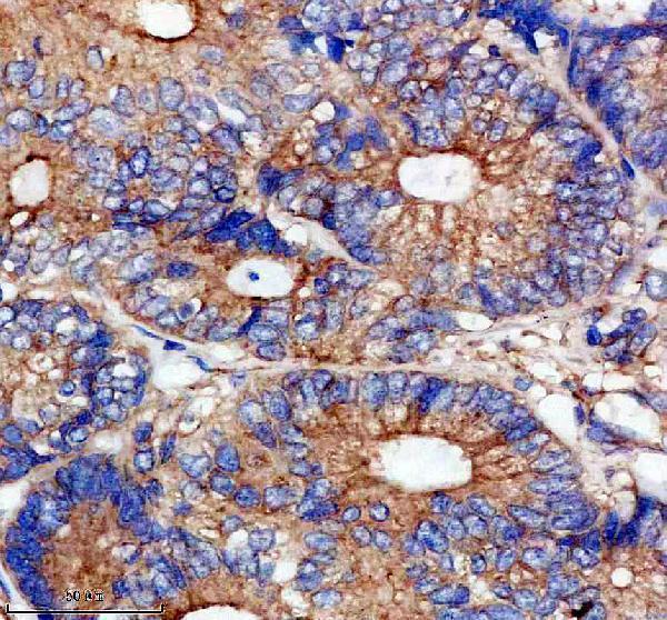
13 Citations 15 Q&As
2 Citations 11 Q&As
1 Citations
Facts about Vascular endothelial growth factor receptor 1.
Can promote endothelial cell proliferation, survival and angiogenesis in adulthood. Its function in promoting cell proliferation seems to be cell-type specific.
| Human | |
|---|---|
| Gene Name: | FLT1 |
| Uniprot: | P17948 |
| Entrez: | 2321 |

| Belongs to: |
|---|
| protein kinase superfamily |

EC 2.7.10; EC 2.7.10.1; FLT; FLT1; Flt-1; Fms-like tyrosine kinase 1; fms-related tyrosine kinase 1 (vascular endothelial growth factor/vascularpermeability factor receptor); FRT; Tyrosine-protein kinase FRT; Tyrosine-protein kinase receptor FLT; vascular endothelial growth factor receptor 1; Vascular permeability factor receptor; VEGF R1; VEGFR1; VEGFR-1
Mass (kDA):
150.769 kDA

| Human | |
|---|---|
| Location: | 13q12.3 |
| Sequence: | 13; NC_000013.11 (28300346..28495128, complement) |
Detected in normal lung, but also in placenta, liver, kidney, heart and brain tissues. Specifically expressed in most of the vascular endothelial cells, and also expressed in peripheral blood monocytes. Isoform 2 is strongly expressed in placenta. Isoform 3 is expressed in corneal epithelial cells (at protein level). Isoform 3 is expressed in vascular smooth muscle cells (VSMC).
[Isoform 1]: Cell membrane; Single-pass type I membrane protein. Endosome. Autophosphorylation promotes ubiquitination and endocytosis.; [Isoform 2]: Secreted.; [Isoform 3]: Secreted.; [Isoform 4]: Secreted.; [Isoform 5]: Cytoplasm.; [Isoform 6]: Cytoplasm.; [Isoform 7]: Cytoplasm.





PMID: 2158038 by Shibuya M., et al. Nucleotide sequence and expression of a novel human receptor-type tyrosine kinase gene (flt) closely related to the fms family.
PMID: 8248162 by Kendall R.L., et al. Inhibition of vascular endothelial cell growth factor activity by an endogenously encoded soluble receptor.
*More publications can be found for each product on its corresponding product page