This website uses cookies to ensure you get the best experience on our website.
- Table of Contents
1 Citations 17 Q&As
5 Q&As
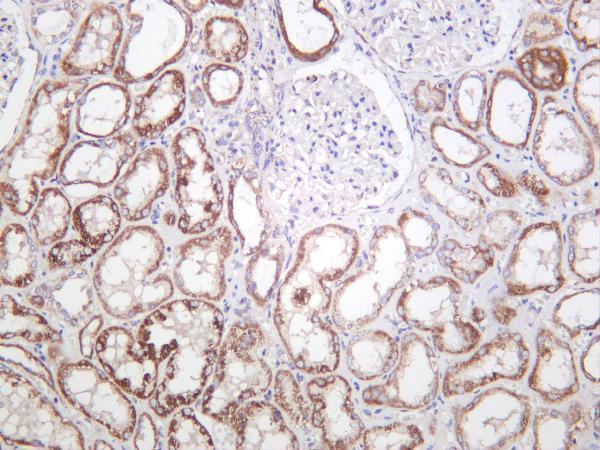
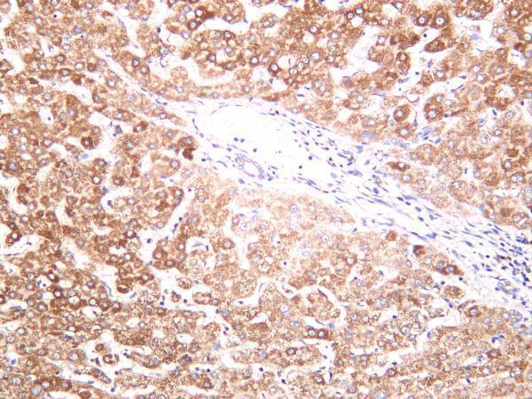
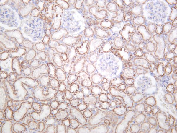
Facts about Succinate dehydrogenase [ubiquinone] iron-sulfur subunit, mitochondrial.
| Human | |
|---|---|
| Gene Name: | SDHB |
| Uniprot: | P21912 |
| Entrez: | 6390 |

| Belongs to: |
|---|
| succinate dehydrogenase/fumarate reductase iron-sulfur protein family |

EC 1.3.5.1; FLJ92337; IP; Iron-sulfur subunit of complex II; PGL4; SDH; SDH1; SDH2; SDHIP; succinate dehydrogenase [ubiquinone] iron-sulfur subunit, mitochondrial; succinate dehydrogenase complex, subunit B, iron sulfur (Ip)
Mass (kDA):
31.63 kDA

| Human | |
|---|---|
| Location: | 1p36.13 |
| Sequence: | 1; NC_000001.11 (17018722..17054032, complement) |
Mitochondrion inner membrane; Peripheral membrane protein; Matrix side.






PMID: 7622059 by Au H.C., et al. Structural organization of the gene encoding the human iron-sulfur subunit of succinate dehydrogenase.
PMID: 16751257 by Kullberg M., et al. Housekeeping genes for phylogenetic analysis of eutherian relationships.