This website uses cookies to ensure you get the best experience on our website.
- Table of Contents
1 Citations 16 Q&As
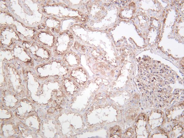
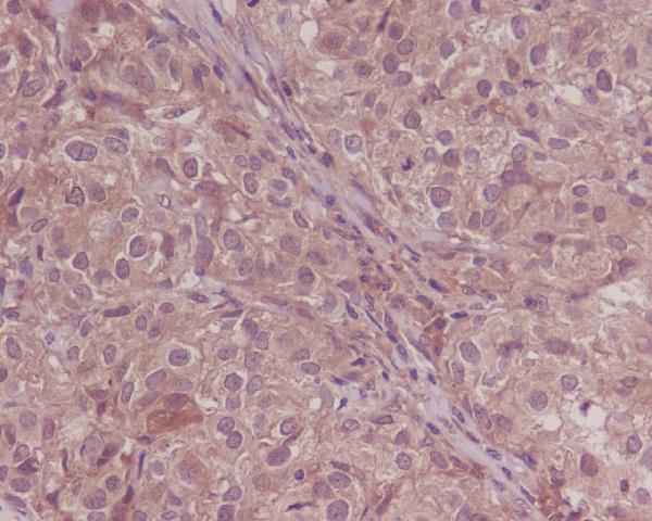
Facts about Mothers against decapentaplegic homolog 4.
Acts synergistically with SMAD1 and YY1 in bone morphogenetic protein (BMP)-mediated cardiac-specific gene expression. Binds to SMAD binding elements (SBEs) (5'-GTCT/AGAC-3') within BMP response element (BMPRE) of cardiac activating regions (By similarity).
| Human | |
|---|---|
| Gene Name: | SMAD4 |
| Uniprot: | Q13485 |
| Entrez: | 4089 |

| Belongs to: |
|---|
| dwarfin/SMAD family |

DPC4; DPC4SMAD, mothers against DPP homolog 4 (Drosophila); hSMAD4; JIP; MAD homolog 4; MADH4; MADH4mothers against decapentaplegic homolog 4; mothers against decapentaplegic homolog 4; mothers against decapentaplegic, Drosophila, homolog of, 4; SMAD 4; SMAD family member 4MAD, mothers against decapentaplegic homolog 4 (Drosophila); SMAD, mothers against DPP homolog 4; Smad4
Mass (kDA):
60.439 kDA

| Human | |
|---|---|
| Location: | 18q21.2 |
| Sequence: | 18; NC_000018.10 (51030213..51085042) |
Cytoplasm. Nucleus. Cytoplasmic in the absence of ligand. Migrates to the nucleus when complexed with R-SMAD (PubMed:15799969). PDPK1 prevents its nuclear translocation in response to TGF-beta (PubMed:17327236).






PMID: 8553070 by Hahn S.A., et al. DPC4, a candidate tumor suppressor gene at human chromosome 18q21.1.
PMID: 8774881 by Zhang Y., et al. Receptor-associated Mad homologues synergize as effectors of the TGF- beta response.
*More publications can be found for each product on its corresponding product page