This website uses cookies to ensure you get the best experience on our website.
- Table of Contents
1 Citations 6 Q&As
Facts about Extracellular superoxide dismutase [Cu-Zn].
| Human | |
|---|---|
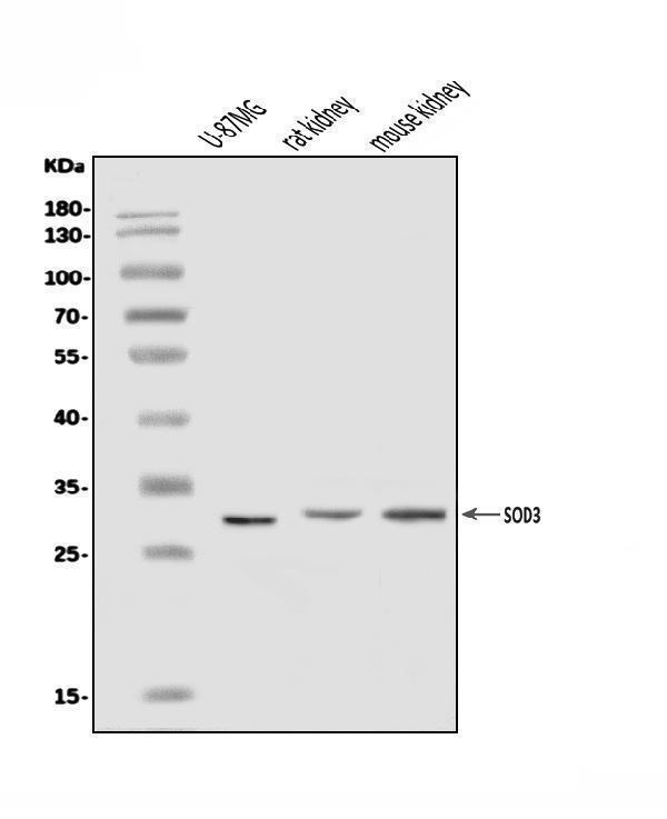
| Gene Name: | SOD3 |
| Uniprot: | P08294 |
| Entrez: | 6649 |

| Belongs to: |
|---|
| Cu-Zn superoxide dismutase family |

ECSOD; EC-SOD; EC-SODEC 1.15.1.1; extracellular superoxide dismutase [Cu-Zn]; MGC20077; SOD3; superoxide dismutase 3, extracellular
Mass (kDA):
25.851 kDA

| Human | |
|---|---|
| Location: | 4p15.2 |
| Sequence: | 4; NC_000004.12 (24795478..24800845) |
Expressed in blood vessels, heart, lung, kidney and placenta. Major SOD isoenzyme in extracellular fluids such as plasma, lymph and synovial fluid.
Secreted, extracellular space. 99% of EC-SOD is anchored to heparan sulfate proteoglycans in the tissue interstitium, and 1% is located in the vasculature in equilibrium between the plasma and the endothelium.





PMID: 3476950 by Hjalmarsson K., et al. Isolation and sequence of complementary DNA encoding human extracellular superoxide dismutase.
PMID: 7959763 by Folz R.J., et al. Extracellular superoxide dismutase (SOD3): tissue-specific expression, genomic characterization, and computer-assisted sequence analysis of the human EC SOD gene.
*More publications can be found for each product on its corresponding product page