Product Info Summary
| SKU: | A00555 |
|---|---|
| Size: | 100μl |
| Reactive Species: | Human, Mouse, Rat |
| Host: | Rabbit |
| Application: | ELISA, IF, IHC, WB |
Customers Who Bought This Also Bought
Product info
Product Name
Anti-CD45 PTPRC Antibody
SKU/Catalog Number
A00555
Size
100μl
Form
Liquid
Description
Boster Bio Anti-CD45 PTPRC Antibody catalog # A00555. Tested in WB, IHC, IF, ELISA applications. This antibody reacts with Human, Mouse, Rat.
Storage & Handling
Store at -20°C for one year. For short term storage and frequent use, store at 4°C for up to one month. Avoid repeated freeze-thaw cycles.
Cite This Product
Anti-CD45 PTPRC Antibody (Boster Biological Technology, Pleasanton CA, USA, Catalog # A00555)
Host
Rabbit
Contents
Liquid in PBS containing 50% glycerol, 0.5% stabilizing protein and 0.02% sodium azide.
*This antibody is supplied in a stabilized formulation.
Compatibility with conjugation reactions depends on the chemistry of the conjugation method used.
For conjugation methods that are not compatible with the stabilizing components present in this formulation, a carrier-free antibody format is required.
Clonality
Polyclonal
Isotype
IgG
Immunogen
The antiserum was produced against synthesized peptide derived from human CD45. AA range:981-1030
Cross-reactivity
No cross reactivity with other proteins.
Reactive Species
A00555 is reactive to PTPRC in Human, Mouse, Rat
Observed Molecular Weight
39 kDa
Calculated molecular weight
147.5 kDa
Antibody Validation
Boster validates all antibodies on WB, IHC, ICC, Immunofluorescence, and ELISA with known positive control and negative samples to ensure specificity and high affinity, including thorough antibody incubations.
Application & Images
Applications
A00555 is guaranteed for ELISA, IF, IHC, WB Boster Guarantee
Assay Dilutions Recommendation
The recommendations below provide a starting point for assay optimization. The actual working concentration varies and should be decided by the user.
WB 1:500-1:2000
IHC: 1:100-300
ELISA 1:20000
IF 1:100-300
Validation Images & Assay Conditions
Click image to see more details
Western Blot analysis of Jurkat cells using CD45 Polyclonal Antibody
Click image to see more details
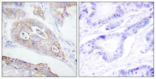
Immunohistochemistry analysis of paraffin-embedded human colon carcinoma tissue, using CD45 Antibody. The picture on the right is blocked with the synthesized peptide.
Click image to see more details
Immunofluorescence analysis of A549. 1, primary Antibody (red) was diluted at 1:200 (4°C overnight). 2, Goat Anti Rabbit IgG (H&L) - Alexa Fluor 594 Secondary antibody was diluted at 1:1000 (room temperature, 50min).3, Picture B: DAPI (blue) 10min.
Specific Publications For Anti-CD45 PTPRC Antibody (A00555)
Loading publications
Recommended Resources
Here are featured tools and databases that you might find useful.
- Boster's Pathways Library
- Protein Databases
- Bioscience Research Protocol Resources
- Data Processing & Analysis Software
- Photo Editing Software
- Scientific Literature Resources
- Research Paper Management Tools
- Molecular Biology Software
- Primer Design Tools
- Bioinformatics Tools
- Phylogenetic Tree Analysis
Customer Reviews
Have you used Anti-CD45 PTPRC Antibody?
Share your experimental results or join a short interview to earn up to $1,000 in product credits or other rewards.
0 Reviews For Anti-CD45 PTPRC Antibody
Customer Q&As
Have a question?
Find answers in Q&As, reviews.
Can't find your answer?
Submit your question
15 Customer Q&As for Anti-CD45 PTPRC Antibody
Question
My boss were content with the WB result of your anti-CD45 antibody. However we have been able to see positive staining in leukemic t-cell cell membrane using this antibody. Is that expected? Could you tell me where is PTPRC supposed to be expressed?
P. Parker
Verified customer
Asked: 2020-04-06
Answer
From what I have seen in literature, leukemic t-cell does express PTPRC. Generally PTPRC expresses in cell membrane. Regarding which tissues have PTPRC expression, here are a few articles citing expression in various tissues:
Erythroleukemia, Pubmed ID: 23186163
Leukemic T-cell, Pubmed ID: 19349973, 19690332
Liver, Pubmed ID: 19159218
Lymphocyte, Pubmed ID: 2824653
Placenta, Pubmed ID: 2971730, 2845400
Synovium, Pubmed ID: 14702039
T-cell, Pubmed ID: 19367720
Boster Scientific Support
Answered: 2020-04-06
Question
Can you help my question with product A00555, anti-CD45 antibody. I was wondering if it would be possible to conjugate this antibody with biotin. I would need it to be without BSA or sodium azide. I am planning on using a buffer exchange of sodium azide with PBS only. Would there be problems for me to conjugate the antibody and store it in -20 degrees in small aliquots?
Verified Customer
Verified customer
Asked: 2020-03-03
Answer
It is not recommended storing this antibody with PBS buffer only in -20 degrees. If you want to store it in -20 degrees it is best to add some cryoprotectant like glycerol. If you want carrier free A00555 anti-CD45 antibody, we can provide it to you in a special formula with trehalose and/or glycerol. These molecules will not interfere with conjugation chemistry and provide a good level of protection for the antibody from degradation. Please be sure to specify this in your purchase order.
Boster Scientific Support
Answered: 2020-03-03
Question
Is this A00555 anti-CD45 antibody reactive to the isotypes of PTPRC?
Verified Customer
Verified customer
Asked: 2019-09-16
Answer
The immunogen of A00555 anti-CD45 antibody is Synthesized peptide derived from human CD45 around the non-phosphorylation site of S1007. Could you tell me which isotype you are interested in so I can help see if the immunogen is part of this isotype?
Boster Scientific Support
Answered: 2019-09-16
Question
Will anti-CD45 antibody A00555 work for WB with liver?
Verified Customer
Verified customer
Asked: 2019-08-22
Answer
According to the expression profile of liver, PTPRC is highly expressed in liver. So, it is likely that anti-CD45 antibody A00555 will work for WB with liver.
Boster Scientific Support
Answered: 2019-08-22
Question
I am interested in using your anti-CD45 antibody for regulation of phagocytosis studies. Has this antibody been tested with western blotting on jurkat cells? We would like to see some validation images before ordering.
Verified Customer
Verified customer
Asked: 2019-07-12
Answer
Thank you for your inquiry. This A00555 anti-CD45 antibody is tested on jurkat cells. It is guaranteed to work for WB in human, mouse, rat. Our Boster guarantee will cover your intended experiment even if the sample type has not been be directly tested.
Boster Scientific Support
Answered: 2019-07-12
Question
We are interested in to test anti-CD45 antibody A00555 on human liver for research purposes, then I may be interested in using anti-CD45 antibody A00555 for diagnostic purposes as well. Is the antibody suitable for diagnostic purposes?
K. Parker
Verified customer
Asked: 2019-05-28
Answer
The products we sell, including anti-CD45 antibody A00555, are only intended for research use. They would not be suitable for use in diagnostic work. If you have the means to develop a product into diagnostic use, and are interested in collaborating with us and develop our product into an IVD product, please contact us for more discussions.
Boster Scientific Support
Answered: 2019-05-28
Question
I have attached the WB image, lot number and protocol we used for liver using anti-CD45 antibody A00555. Please let me know if you require anything else.
Verified Customer
Verified customer
Asked: 2019-02-28
Answer
Thank you very much for the data. Our lab team are working to resolve this as quickly as possible, and we appreciate your patience and understanding! You have provided everything we needed. Please let me know if there is anything you need in the meantime.
Boster Scientific Support
Answered: 2019-02-28
Question
We are currently using anti-CD45 antibody A00555 for mouse tissue, and we are well pleased with the WB results. The species of reactivity given in the datasheet says human, mouse, rat. Is it possible that the antibody can work on goat tissues as well?
J. Gonzalez
Verified customer
Asked: 2018-10-19
Answer
The anti-CD45 antibody (A00555) has not been tested for cross reactivity specifically with goat tissues, but there is a good chance of cross reactivity. We have an innovator award program that if you test this antibody and show it works in goat you can get your next antibody for free. Please contact me if I can help you with anything.
Boster Scientific Support
Answered: 2018-10-19
Question
Is there a BSA free version of anti-CD45 antibody A00555 available?
Verified Customer
Verified customer
Asked: 2018-10-03
Answer
We appreciate your recent telephone inquiry. I can confirm that some lots of this anti-CD45 antibody A00555 are BSA free. For now, these lots are available and we can make a BSA free formula for you free of charge. It will take 3 extra days to prepare. If you require this antibody BSA free again in future, please do not hesitate to contact me and I will be pleased to check which lots we have in stock that are BSA free.
Boster Scientific Support
Answered: 2018-10-03
Question
I see that the anti-CD45 antibody A00555 works with WB, what is the protocol used to produce the result images on the product page?
Verified Customer
Verified customer
Asked: 2018-02-06
Answer
You can find protocols for WB on the "support/technical resources" section of our navigation menu. If you have any further questions, please send an email to support@bosterbio.com
Boster Scientific Support
Answered: 2018-02-06
Question
I was wanting to use your anti-CD45 antibody for WB for human liver on frozen tissues, but I want to know if it has been validated for this particular application. Has this antibody been validated and is this antibody a good choice for human liver identification?
Verified Customer
Verified customer
Asked: 2017-07-11
Answer
You can see on the product datasheet, A00555 anti-CD45 antibody has been tested for WB on human, mouse, rat tissues. We have an innovator award program that if you test this antibody and show it works in human liver in IHC-frozen, you can get your next antibody for free.
Boster Scientific Support
Answered: 2017-07-11
Question
Would A00555 anti-CD45 antibody work on parafin embedded sections? If so, which fixation method do you recommend we use (PFA, paraformaldehyde, other)?
M. Kulkarni
Verified customer
Asked: 2016-01-01
Answer
It shows on the product datasheet, A00555 anti-CD45 antibody as been validated on WB. It is best to use PFA for fixation because it has better tissue penetration ability. PFA needs to be prepared fresh before use. Long term stored PFA turns into formalin, as the PFA molecules congregate and become formalin.
Boster Scientific Support
Answered: 2016-01-01
Question
I appreciate helping with my inquiry over the phone. Here are the WB image, lot number and protocol we used for liver using anti-CD45 antibody A00555. Let me know if you need anything else.
P. Li
Verified customer
Asked: 2015-01-20
Answer
We appreciate the data. You have provided everything we needed. Our lab team are working to resolve your inquiry as quickly as possible, and we appreciate your patience and understanding! Please let me know if there is anything you need in the meantime.
Boster Scientific Support
Answered: 2015-01-20
Question
Is a blocking peptide available for product anti-CD45 antibody (A00555)?
N. Jones
Verified customer
Asked: 2014-12-08
Answer
We do provide the blocking peptide for product anti-CD45 antibody (A00555). If you would like to place an order for it please contact support@bosterbio.com and make a special request.
Boster Scientific Support
Answered: 2014-12-08
Question
We have seen staining in mouse placenta. Any tips? Is anti-CD45 antibody supposed to stain placenta positively?
P. Evans
Verified customer
Asked: 2014-12-04
Answer
From what I have seen in literature placenta does express PTPRC. From what I have seen in Uniprot.org, PTPRC is expressed in blood, lymphocyte, synovium, placenta, t-cell, liver, leukemic t-cell, erythroleukemia, among other tissues. Regarding which tissues have PTPRC expression, here are a few articles citing expression in various tissues:
Erythroleukemia, Pubmed ID: 23186163
Leukemic T-cell, Pubmed ID: 19349973, 19690332
Liver, Pubmed ID: 19159218
Lymphocyte, Pubmed ID: 2824653
Placenta, Pubmed ID: 2971730, 2845400
Synovium, Pubmed ID: 14702039
T-cell, Pubmed ID: 19367720
Boster Scientific Support
Answered: 2014-12-04

