Product Info Summary
| SKU: | A02076 |
|---|---|
| Size: | 100ul |
| Reactive Species: | Human, Mouse |
| Host: | Rabbit |
| Application: | ELISA, IF, IHC, ICC, WB |
Customers Who Bought This Also Bought
Product info
Product Name
Anti-CTIP RBBP8 Antibody
SKU/Catalog Number
A02076
Size
100ul
Form
Liquid
Description
Boster Bio Anti-CTIP RBBP8 Antibody (Catalog# A02076). Tested in IHC, ICC, IF, WB, ELISA applications. This antibody reacts with Human, Mouse.
Storage & Handling
Store at -20°C for one year. For short-term storage and frequent use, store at 4°C for up to one month. Avoid repeated freeze-thaw cycles.
Cite This Product
Anti-CTIP RBBP8 Antibody (Boster Biological Technology, Pleasanton CA, USA, Catalog # A02076)
Host
Rabbit
Contents
PBS containing 50% glycerol, 0.5% stabilizing protein and 0.02% sodium azide.
*This antibody is supplied in a stabilized formulation.
Compatibility with conjugation reactions depends on the chemistry of the conjugation method used.
For conjugation methods that are not compatible with the stabilizing components present in this formulation, a carrier-free antibody format is required.
Clonality
Polyclonal
Isotype
Rabbit IgG
Immunogen
A peptide derived from human CTIP. Immunogen sequence location: 293-342
Cross-reactivity
No cross reactivity with other proteins.
Reactive Species
A02076 is reactive to RBBP8 in Human, Mouse
Observed Molecular Weight
72 kDa
Calculated molecular weight
101.9 kDa
Antibody Validation
Boster validates all antibodies on WB, IHC, ICC, Immunofluorescence, and ELISA with known positive control and negative samples to ensure specificity and high affinity, including thorough antibody incubations.
Application & Images
Applications
A02076 is guaranteed for ELISA, IF, IHC, ICC, WB Boster Guarantee
Assay Dilutions Recommendation
The recommendations below provide a starting point for assay optimization. The actual working concentration varies and should be decided by the user.
WB 1:500-2000
IHC 1:100 - 1:300.
ELISA: 1:40000.
ICC/IF 1:50-200
Validation Images & Assay Conditions
Click image to see more details
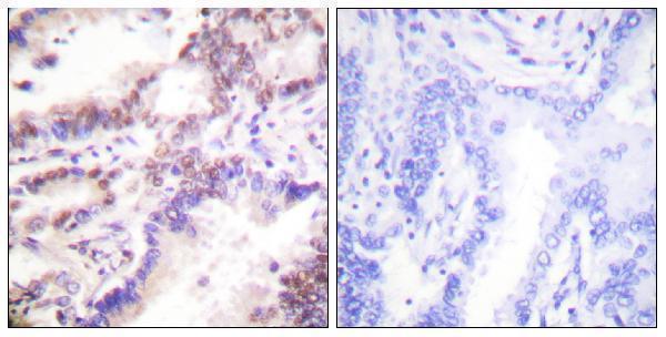
Immunohistochemistry analysis of paraffin-embedded human lung carcinoma tissue, using CTIP Antibody. The picture on the right is blocked with the synthesized peptide.
Specific Publications For Anti-CTIP RBBP8 Antibody (A02076)
Loading publications
Recommended Resources
Here are featured tools and databases that you might find useful.
- Boster's Pathways Library
- Protein Databases
- Bioscience Research Protocol Resources
- Data Processing & Analysis Software
- Photo Editing Software
- Scientific Literature Resources
- Research Paper Management Tools
- Molecular Biology Software
- Primer Design Tools
- Bioinformatics Tools
- Phylogenetic Tree Analysis
Customer Reviews
Have you used Anti-CTIP RBBP8 Antibody?
Share your experimental results or join a short interview to earn up to $1,000 in product credits or other rewards.
0 Reviews For Anti-CTIP RBBP8 Antibody
Customer Q&As
Have a question?
Find answers in Q&As, reviews.
Can't find your answer?
Submit your question
5 Customer Q&As for Anti-CTIP RBBP8 Antibody
Question
See below the WB image, lot number and protocol we used for testis using anti-CTIP antibody A02076. Please let me know if you require anything else.
Verified Customer
Verified customer
Asked: 2020-02-25
Answer
Thank you very much for the data. Our lab team are working to resolve this as quickly as possible, and we appreciate your patience and understanding! You have provided everything we needed. Please let me know if there is anything you need in the meantime.
Boster Scientific Support
Answered: 2020-02-25
Question
you antibody to test anti-CTIP antibody A02076 on mouse testis for research purposes, then I may be interested in using anti-CTIP antibody A02076 for diagnostic purposes as well. Is the antibody suitable for diagnostic purposes?
Verified Customer
Verified customer
Asked: 2019-10-14
Answer
The products we sell, including anti-CTIP antibody A02076, are only intended for research use. They would not be suitable for use in diagnostic work. If you have the means to develop a product into diagnostic use, and are interested in collaborating with us and develop our product into an IVD product, please contact us for more discussions.
Boster Scientific Support
Answered: 2019-10-14
Question
We are currently using anti-CTIP antibody A02076 for mouse tissue, and we are content with the IHC results. The species of reactivity given in the datasheet says human, mouse. Is it true that the antibody can work on bovine tissues as well?
J. Moore
Verified customer
Asked: 2019-01-03
Answer
The anti-CTIP antibody (A02076) has not been tested for cross reactivity specifically with bovine tissues, though there is a good chance of cross reactivity. We have an innovator award program that if you test this antibody and show it works in bovine you can get your next antibody for free. Please contact me if I can help you with anything.
Boster Scientific Support
Answered: 2019-01-03
Question
I appreciate helping with my inquiry over the phone. Here are the WB image, lot number and protocol we used for testis using anti-CTIP antibody A02076. Let me know if you need anything else.
Verified Customer
Verified customer
Asked: 2018-07-16
Answer
We appreciate the data. You have provided everything we needed. Our lab team are working to resolve your inquiry as quickly as possible, and we appreciate your patience and understanding! Please let me know if there is anything you need in the meantime.
Boster Scientific Support
Answered: 2018-07-16
Question
I see that the anti-CTIP antibody A02076 works with IHC, what is the protocol used to produce the result images on the product page?
D. Jackson
Verified customer
Asked: 2013-09-25
Answer
You can find protocols for IHC on the "support/technical resources" section of our navigation menu. If you have any further questions, please send an email to support@bosterbio.com
Boster Scientific Support
Answered: 2013-09-25

