This website uses cookies to ensure you get the best experience on our website.
- Table of Contents
10 Citations 5 Q&As
Facts about Bile salt export pump.
| Human | |
|---|---|
| Gene Name: | ABCB11 |
| Uniprot: | O95342 |
| Entrez: | 8647 |

| Belongs to: |
|---|
| ABC transporter superfamily |

ABC member 16, MDR/TAP subfamily; ABC16; ATP-binding cassette sub-family B member 11; ATP-binding cassette, sub-family B (MDR/TAP), member 11; bile salt export pump; BSEP; BSEPPFIC2; EC 3.6.3; EC 3.6.3.44; PFIC-2; PGY4; progressive familial intrahepatic cholestasis 2; sister p-glycoprotein; SPGPBRIC2
Mass (kDA):
146.407 kDA

| Human | |
|---|---|
| Location: | 2q31.1 |
| Sequence: | 2; NC_000002.12 (168915468..169031396, complement) |
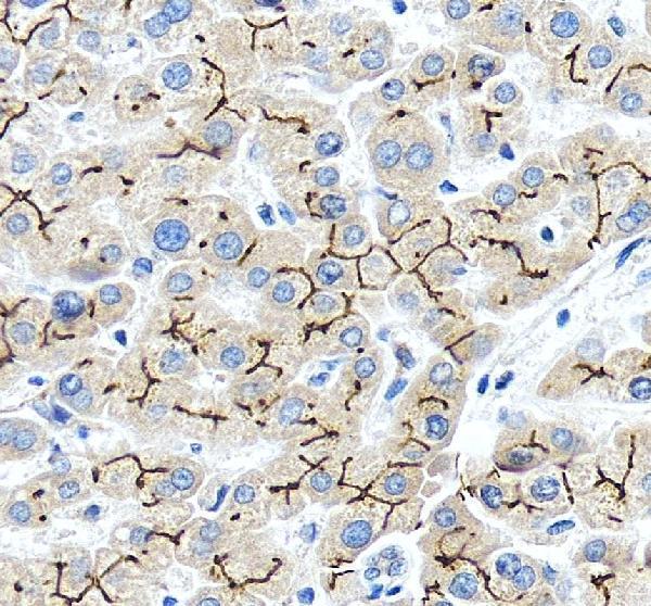
Expressed predominantly, if not exclusively in the liver, where it was further localized to the canalicular microvilli and to subcanalicular vesicles of the hepatocytes by in situ.
Membrane; Multi-pass membrane protein.




PMID: 9806540 by Strautnieks S.S., et al. A gene encoding a liver-specific ABC transporter is mutated in progressive familial intrahepatic cholestasis.
PMID: 16332456 by Hayashi H., et al. Transport by vesicles of glycine- and taurine-conjugated bile salts and taurolithocholate 3-sulfate: a comparison of human BSEP with rat Bsep.
*More publications can be found for each product on its corresponding product page