This website uses cookies to ensure you get the best experience on our website.
- Table of Contents
12 Citations
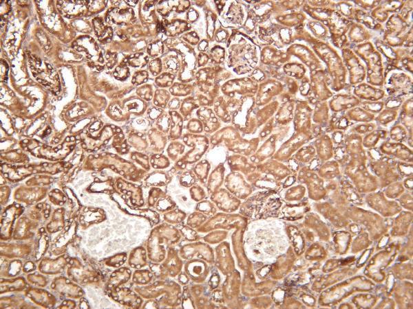
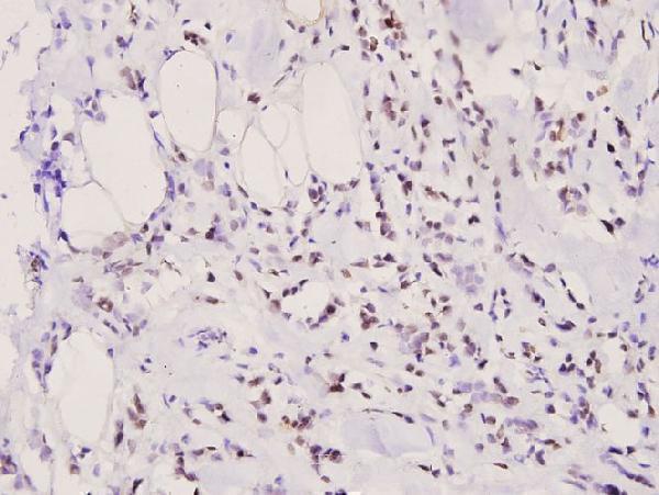
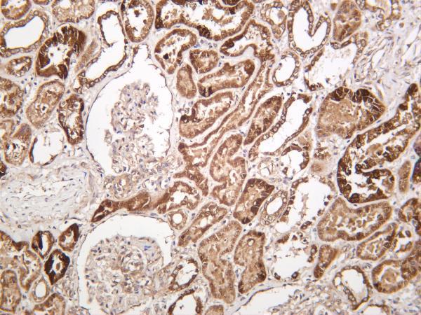
Facts about Bcl2-associated agonist of cell death.
Can reverse the death repressor activity of Bcl-X(L), but not that of Bcl-2 (By similarity). Appears to act as a link between growth factor receptor signaling and the apoptotic pathways.
| Human | |
|---|---|
| Gene Name: | BAD |
| Uniprot: | Q92934 |
| Entrez: | 572 |

| Belongs to: |
|---|
| Bcl-2 family |

Bad; BBC2; BBC6; bcl2 antagonist of cell death; BCL2-antagonist of cell death protein; BCL2-associated agonist of cell death; Bcl-2-binding component 6; BCL2-binding component 6; BCL2-binding protein; BCL2L8; Bcl2-L-8; BCL2L8bcl2-L-8; Bcl-2-like protein 8; BCL-X/BCL-2 binding protein; Bcl-XL/Bcl-2-associated death promoter
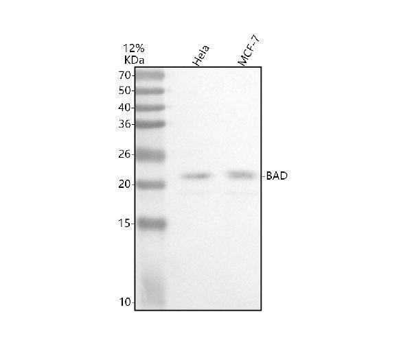
Mass (kDA):
18.392 kDA

| Human | |
|---|---|
| Location: | 11q13.1 |
| Sequence: | 11; NC_000011.10 (64269828..64284704, complement) |
Expressed in a wide variety of tissues.
Mitochondrion outer membrane. Cytoplasm. Colocalizes with HIF3A in the cytoplasm (By similarity). Upon phosphorylation, locates to the cytoplasm.






PMID: 8929532 by Wang H.-G., et al. Bcl-2 targets the protein kinase Raf-1 to mitochondria.
PMID: 9388232 by Ottilie S., et al. Dimerization properties of human BAD. Identification of a BH-3 domain and analysis of its binding to mutant BCL-2 and BCL-XL proteins.
*More publications can be found for each product on its corresponding product page