This website uses cookies to ensure you get the best experience on our website.
- Table of Contents
1 Citations
4 Citations
7 Citations
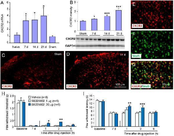
Facts about C-X-C chemokine receptor type 2.
This response is mediated via a G-protein that activates a phosphatidylinositol-calcium second messenger system. Binds to IL-8 with high affinity.
| Human | |
|---|---|
| Gene Name: | CXCR2 |
| Uniprot: | P25025 |
| Entrez: | 3579 |

| Belongs to: |
|---|
| G-protein coupled receptor 1 family |

CD182 antigen; CD182; CDw128b; chemokine (C-X-C motif) receptor 2; chemokine (CXC) receptor 2; CMKAR2; C-X-C chemokine receptor type 2; CXCR2 gene for IL8 receptor type B; CXCR2; CXC-R2; CXCR-2; GRO/MGSA receptor; High affinity interleukin-8 receptor B; IL-8 RB; IL-8 receptor type 2; IL-8R B; IL8R2; IL8RA; IL8RB; interleukin 8 receptor B; interleukin 8 receptor type 2; interleukin-8 receptor type B
Mass (kDA):
40.759 kDA

| Human | |
|---|---|
| Location: | 2q35 |
| Sequence: | 2; NC_000002.12 (218125294..218137253) |
Cell membrane; Multi-pass membrane protein.





PMID: 1891716 by Murphy P.M., et al. Cloning of complementary DNA encoding a functional human interleukin- 8 receptor.
PMID: 8384312 by Cerretti D.P., et al. Molecular characterization of receptors for human interleukin-8, GRO/melanoma growth-stimulatory activity and neutrophil activating peptide-2.
*More publications can be found for each product on its corresponding product page