This website uses cookies to ensure you get the best experience on our website.
- Table of Contents
4 Citations 16 Q&As
1 Citations 4 Q&As
1 Citations
1 Citations
2 Citations
2 Citations
Facts about Interferon regulatory factor 3.
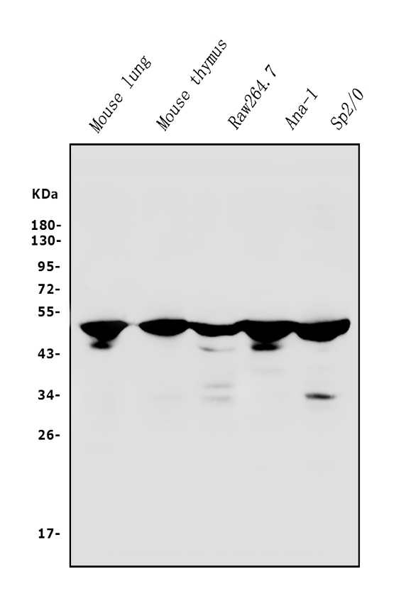
Acts as a more potent activator of the IFN-beta (IFNB) gene than the IFN-alpha (IFNA) gene and plays a critical role in both the early and late stages of the IFNA/B gene induction. Located in an inactive form in the cytoplasm of uninfected cells and after viral infection, double-stranded RNA (dsRNA), or toll-like receptor (TLR) signaling, is phosphorylated by IKBKE and TBK1 kinases.
| Human | |
|---|---|
| Gene Name: | IRF3 |
| Uniprot: | Q14653 |
| Entrez: | 3661 |

| Belongs to: |
|---|
| IRF family |

interferon regulatory factor 3; IRF3; IRF-3
Mass (kDA):
47.219 kDA

| Human | |
|---|---|
| Location: | 19q13.33 |
| Sequence: | 19; NC_000019.10 (49659569..49665875, complement) |
Expressed constitutively in a variety of tissues.
Cytoplasm. Nucleus. Shuttles between cytoplasmic and nuclear compartments, with export being the prevailing effect (PubMed:10805757). When activated, IRF3 interaction with CREBBP prevents its export to the cytoplasm (PubMed:10805757).






PMID: 8524823 by Au W.W.-C., et al. Identification of a member of the interferon regulatory factor family that binds to the interferon-stimulated response element and activates expression of interferon-induced genes.
PMID: 9803267 by Bellingham J., et al. Mapping of human interferon regulatory factor 3 (IRF3) to chromosome 19q13.3-13.4 by an intragenic polymorphic marker.
*More publications can be found for each product on its corresponding product page