This website uses cookies to ensure you get the best experience on our website.
- Table of Contents
1 Citations 6 Q&As
Facts about Cell surface glycoprotein MUC18.
Could be an adhesion molecule active in neural crest cells during embryonic development. Acts as surface receptor that activates tyrosine phosphorylation of FYN and PTK2/FAK1, and a transient increase in the intracellular calcium concentration.
| Human | |
|---|---|
| Gene Name: | MCAM |
| Uniprot: | P43121 |
| Entrez: | 4162 |

| Belongs to: |
|---|
| No superfamily |

CD146 antigen; CD146; cell surface glycoprotein MUC18; Cell surface glycoprotein P1H12; L-Gicerin; MCAM; melanoma adhesion molecule; melanoma cell adhesion moleculeS-endo 1 endothelial-associated antigen; Melanoma-associated antigen A32; Melanoma-associated antigen MUC18; MUC18; MUC18Gicerin
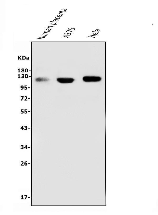
Mass (kDA):
71.607 kDA

| Human | |
|---|---|
| Location: | 11q23.3 |
| Sequence: | 11; NC_000011.10 (119305759..119317130, complement) |
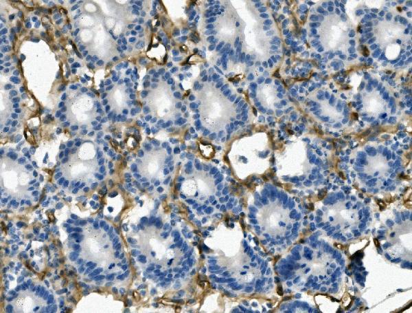
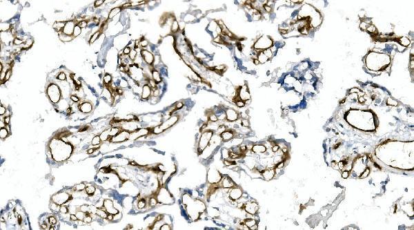
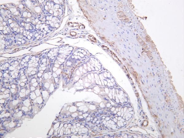
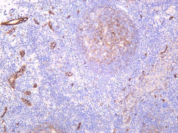
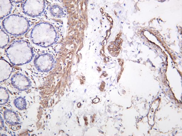
Detected in endothelial cells in vascular tissue throughout the body. May appear at the surface of neural crest cells during their embryonic migration. Appears to be limited to vascular smooth muscle in normal adult tissues. Associated with tumor progression and the development of metastasis in human malignant melanoma. Expressed most strongly on metastatic lesions and advanced primary tumors and is only rarely detected in benign melanocytic nevi and thin primary melanomas with a low probability of metastasis.
Membrane; Single-pass type I membrane protein.




PMID: 2602381 by Lehmann J.M., et al. MUC18, a marker of tumor progression in human melanoma, shows sequence similarity to the neural cell adhesion molecules of the immunoglobulin superfamily.
PMID: 8378324 by Sers C., et al. Genomic organization of the melanoma-associated glycoprotein MUC18: implications for the evolution of the immunoglobulin domains.