This website uses cookies to ensure you get the best experience on our website.
- Table of Contents
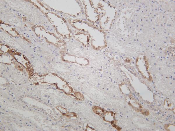
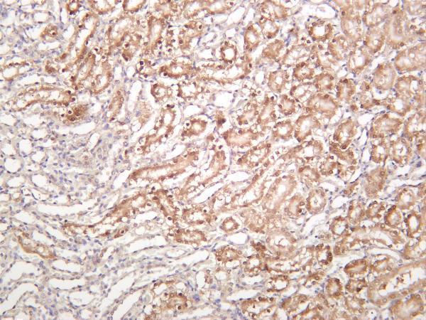
Facts about NAD(P)H dehydrogenase [quinone] 1.
| Human | |
|---|---|
| Gene Name: | NQO1 |
| Uniprot: | P15559 |
| Entrez: | 1728 |

| Belongs to: |
|---|
| NAD(P)H dehydrogenase (quinone) family |

Azoreductase; DHQU; DIA4; DIA4azoreductase; diaphorase (NADH/NADPH) (cytochrome b-5 reductase); Diaphorase-4; Dioxin-inducible 1; DTD; DTDEC 1.6.5.2; DT-diaphorase; Menadione Reductase; NAD(P)H dehydrogenase [quinone] 1; NAD(P)H dehydrogenase, quinone 1; NAD(P)H:menadione oxidoreductase 1; NAD(P)H:Quinone acceptor oxidoreductase type 1; NAD(P)H:quinone oxidoreductase 1; NAD(P)H:quinone oxireductase; NMOR1; NMOR1diaphorase-4; NQO1; NQO-1; Phylloquinone reductase; QR1; QR1NMORI; Quinone Reductase 1
Mass (kDA):
30.868 kDA

| Human | |
|---|---|
| Location: | 16q22.1 |
| Sequence: | 16; NC_000016.10 (69709401..69726560, complement) |
Cytoplasm.






PMID: 2843525 by Jaiswal A.K., et al. Human dioxin-inducible cytosolic NAD(P)H:menadione oxidoreductase. cDNA sequence and localization of gene to chromosome 16.
PMID: 1657151 by Jaiswal A.K.; Human NAD(P)H:quinone oxidoreductase (NQO1) gene structure and induction by dioxin.