This website uses cookies to ensure you get the best experience on our website.
- Table of Contents

2 Citations
Facts about Transient receptor potential cation channel subfamily V member 5.
The station is triggered by low internal calcium level and the present exhibits an inward rectification (PubMed:11549322, PubMed:18768590). A Ca(2+)-dependent feedback law includes fast channel inactivation and slow current decay (By similarity).
| Human | |
|---|---|
| Gene Name: | TRPV5 |
| Uniprot: | Q9NQA5 |
| Entrez: | 56302 |

| Belongs to: |
|---|
| transient receptor (TC 1.A.4) family |

Calcium transport protein 2; calcium transporter 2; CAT2; ECaC; ECAC1; ECAC1CaT2; Epithelial calcium channel 1CAT2; Osm-9-like TRP channel 3; OTRPC3; transient receptor potential cation channel subfamily V member 5; transient receptor potential cation channel, subfamily V, member 5; TRPV5
Mass (kDA):
82.551 kDA

| Human | |
|---|---|
| Location: | 7q34 |
| Sequence: | 7; NC_000007.14 (142908101..142933746, complement) |
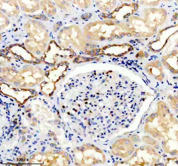
Expressed at high levels in kidney, small intestine and pancreas, and at lower levels in testis, prostate, placenta, brain, colon and rectum.
Apical cell membrane; Multi-pass membrane protein. Colocalized with S100A10 and ANAX2 along the apical domain of kidney distal tubular cells (By similarity). The expression of the glycosylated form in the cell membrane is increased in the presence of WNK3 (PubMed:18768590).





PMID: 10945469 by Mueller D., et al. Molecular cloning, tissue distribution, and chromosomal mapping of the human epithelial calcium channel (ECAC1).
PMID: 11549322 by Peng J.-B., et al. Structural conservation of the genes encoding CaT1, CaT2, and related cation channels.