This website uses cookies to ensure you get the best experience on our website.
- Table of Contents
Facts about Interleukin-18-binding protein.
.
| Human | |
|---|---|
| Gene Name: | IL18BP |
| Uniprot: | O95998 |
| Entrez: | 10068 |

| Belongs to: |
|---|
| No superfamily |

IL18 BPa; IL-18 BPa; IL18BP; IL-18BP; IL18BPa; interleukin 18 binding protein; interleukin-18-binding protein; MC51L-53L-54L homolog gene product; tadekinig-alfa
Mass (kDA):
21.099 kDA

| Human | |
|---|---|
| Location: | 11q13.4 |
| Sequence: | 11; NC_000011.10 (71997944..72002919) |
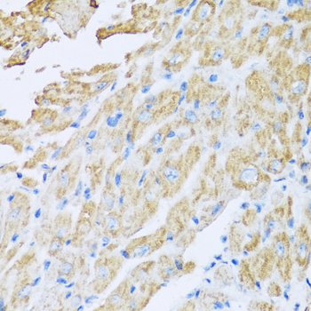
Strongly expressed in heart, lung, placenta and spleen.
Secreted.





PMID: 10023777 by Novick D., et al. Interleukin-18 binding protein: a novel modulator of the Th1 cytokine response.
PMID: 10094485 by Aizawa Y., et al. Cloning and expression of interleukin-18 binding protein.