This website uses cookies to ensure you get the best experience on our website.
- Table of Contents
2 Citations
2 Citations 16 Q&As
10 Citations 16 Q&As
32 Citations 6 Q&As
2 Citations 15 Q&As
Facts about Mitogen-activated protein kinase 3.
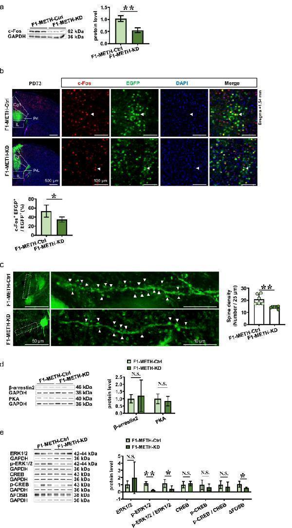
They participate also in a signaling cascade initiated by activated KIT and KITLG/SCF. Depending on the cellular context, the MAPK/ERK cascade mediates diverse biological functions such as cell growth, adhesion, survival and differentiation through the regulation of transcription, translation, cytoskeletal rearrangements.
| Human | |
|---|---|
| Gene Name: | MAPK3 |
| Uniprot: | P27361 |
| Entrez: | 5595 |

| Belongs to: |
|---|
| protein kinase superfamily |

EC 2.7.11; ERK1; ERK-1; ERK1p44-MAPK; ERT2; Extracellular signal-regulated kinase 1; extracellular signal-related kinase 1; HS44KDAP; HUMKER1A; Insulin-stimulated MAP2 kinase; MAP kinase 1; MAP kinase 3; MAP kinase isoform p44; MAPK 1; MAPK 3; MAPK3; MGC20180; Microtubule-associated protein 2 kinase; Mitogen-activated protein kinase 1; mitogen-activated protein kinase 3; P44ERK1; p44-ERK1; p44mapk; PRKM3; PRKM3EC 2.7.11.24
Mass (kDA):
43.136 kDA

| Human | |
|---|---|
| Location: | 16p11.2 |
| Sequence: | 16; NC_000016.10 (30114105..30123309, complement) |
Cytoplasm. Nucleus. Membrane, caveola. Autophosphorylation at Thr-207 promotes nuclear localization.






PMID: 7687743 by Charest D.L., et al. Molecular cloning, expression, and characterization of the human mitogen-activated protein kinase p44erk1.
PMID: 1540184 by Owaki H., et al. Extracellular signal-regulated kinases in T cells: characterization of human ERK1 and ERK2 cDNAs.
*Showing only the more recent 20. More publications can be found for each product on its corresponding product page