This website uses cookies to ensure you get the best experience on our website.
- Table of Contents
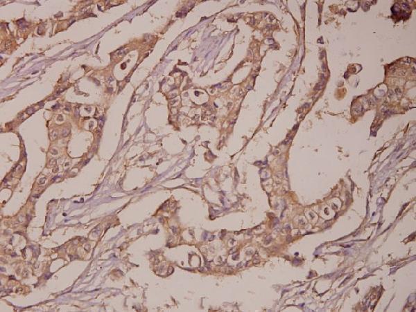
1 Citations 8 Q&As
9 Citations 1 Q&As
1 Citations
Facts about Prostate-specific antigen.
| Human | |
|---|---|
| Gene Name: | KLK3 |
| Uniprot: | P07288 |
| Entrez: | 354 |

| Belongs to: |
|---|
| peptidase S1 family |

APS seminin; EC 3.4.21; EC 3.4.21.77; Gamma-seminoprotein; hK3; Kallikrein 3; kallikrein 3, (prostate specific antigen); Kallikrein-3; kallikrein-related peptidase 3; KLK2A1; KLK3; P-30 antigen; prostate specific antigen; prostate-specific antigen; PSA semenogelase; PSA; Semenogelase; Seminin
Mass (kDA):
28.741 kDA

| Human | |
|---|---|
| Location: | 19q13.33 |
| Sequence: | 19; NC_000019.10 (50854915..50860764) |
Secreted.






PMID: 2436946 by Lundwall A., et al. Molecular cloning of human prostate specific antigen cDNA.
PMID: 2467258 by Digby M.R., et al. Human prostate specific antigen (PSA) gene: structure and linkage to the kallikrein-like gene, hGK-1.
*More publications can be found for each product on its corresponding product page